Suppr超能文献

虚拟单能量成像和碘映射在子宫内膜癌初始分期中的初步经验

Preliminary Experience with Virtual Monoenergetic Imaging and Iodine Mapping in the Primary Staging of Endometrial Cancer.

作者信息

Sauer Stephanie Tina, Huflage Henner, Christner Sara Aniki, Patzer Theresa Sophie, Kiesel Matthias, Quenzer Anne, Kunz Andreas Steven, Bley Thorsten Alexander, Grunz Jan-Peter

机构信息

Department of Diagnostic and Interventional Radiology, University Hospital Würzburg, Oberdürrbacher Straße 6, 97080 Würzburg, Germany.

Department of Obstetrics and Gynecology, University Hospital Würzburg, Josef-Schneider-Str. 4, 97080 Würzburg, Germany.

出版信息

Cancers (Basel). 2024 Mar 20;16(6):1229. doi: 10.3390/cancers16061229.

Abstract

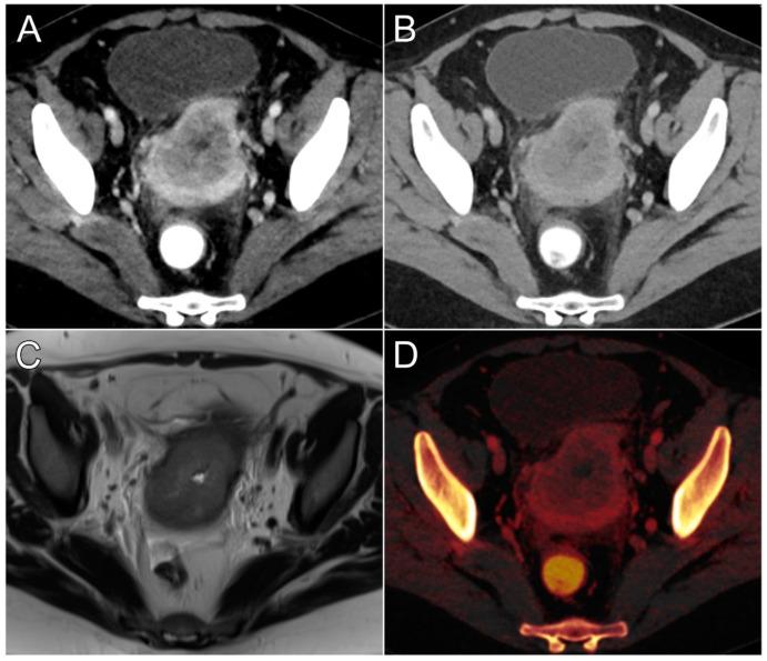
This study investigated whether virtual monoenergetic images (VMIs) and iodine mapping based on dual-energy CT (DECT) provide advantages in the assessment of endometrial cancer. A dual-source DECT was performed for primary staging of histologically proven endometrioid adenocarcinoma in 21 women (66.8 ± 12.0 years). In addition to iodine maps, VMIs at 40, 50, 60, 70, and 80 keV were reconstructed from polyenergetic images (PEIs). Objective analysis comprised the measurement of tumor contrast, contrast-to-noise ratio, and normalized iodine concentration (NIC). In addition, three radiologists independently rated tumor conspicuity. The highest tumor contrast (106.6 ± 45.0 HU) and contrast-to-noise ratio (4.4 ± 2.0) was established for VMIs at 40 keV. Tumor contrast in all VMIs ≤ 60 keV was higher than in PEIs ( < 0.001). The NIC of malignant tissue measured in iodine maps was substantially lower compared with a healthy myometrium (0.3 ± 0.1 versus 0.6 ± 0.1 mg/mL; < 0.001). Tumor conspicuity was highest in 40 keV datasets, whereas no difference was found among PEIs and VMIs at 60 and 70 keV ( ≥ 0.334). Interobserver agreement was good, indicated by an intraclass correlation coefficient of 0.824 (0.772-0.876; < 0.001). In conclusion, computation of VMIs at 40 keV and color-coded iodine maps aids the assessment of endometroid adenocarcinoma in primary staging.

摘要

本研究调查了基于双能CT(DECT)的虚拟单能量图像(VMI)和碘图在子宫内膜癌评估中是否具有优势。对21名组织学证实为子宫内膜样腺癌的女性(66.8±12.0岁)进行了双源DECT检查以进行初步分期。除碘图外,还从多能图像(PEI)重建了40、50、60、70和80 keV的VMI。客观分析包括测量肿瘤对比度、对比噪声比和归一化碘浓度(NIC)。此外,三名放射科医生独立对肿瘤的可辨识度进行评分。40 keV的VMI具有最高的肿瘤对比度(106.6±45.0 HU)和对比噪声比(4.4±2.0)。所有≤60 keV的VMI中的肿瘤对比度均高于PEI(<0.001)。碘图中测量的恶性组织的NIC与健康子宫肌层相比显著更低(0.3±0.1对0.6±0.1 mg/mL;<0.001)。40 keV数据集中肿瘤的可辨识度最高,而在60和70 keV时PEI和VMI之间未发现差异(≥0.334)。组内相关系数为0.824(0.772 - 0.876;<0.001),表明观察者间一致性良好。总之,40 keV的VMI计算和彩色编码碘图有助于子宫内膜样腺癌的初步分期评估。

https://cdn.ncbi.nlm.nih.gov/pmc/blobs/92a8/10968725/445bc8d138a5/cancers-16-01229-g001.jpg

文献AI研究员

20分钟写一篇综述,助力文献阅读效率提升50倍。

立即体验

用中文搜PubMed

大模型驱动的PubMed中文搜索引擎

马上搜索

文档翻译

学术文献翻译模型,支持多种主流文档格式。

立即体验