Sugenoya Shinsuke, Mita Atsuyoshi, Shimizu Akira, Ohno Yasunari, Kubota Koji, Masuda Yuichi, Notake Tsuyoshi, Soejima Yuji
Division of Gastroenterological, Hepato-Biliary-Pancreatic, Transplantation and Pediatric Surgery, Department of Surgery, Shinshu University School of Medicine, 3-1-1 Asahi, Matsumoto, 390-8621, Japan.
Surg Case Rep. 2024 Apr 2;10(1):77. doi: 10.1186/s40792-024-01863-4.
In liver transplant patients with hypoplastic portal vein (PV), when the narrowed segment is extended too deep into the dorsal side of the pancreas, it is difficult and dangerous to reconstruct the interposition graft from the upper part of the pancreas. Herein, we present a case of PV reconstruction with the autologous mesosystemic shunt vessel from the caudal side of the pancreas in a situation where the narrowed PV was deep, and we discuss the technical details.
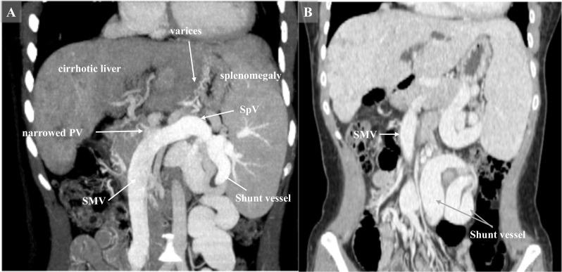
A 25-year-old woman presented with cholestatic liver cirrhosis due to biliary atresia after Kasai procedure. Since her jaundice progressed, she was referred to our hospital for liver transplantation. Laboratory tests showed that her total bilirubin was elevated to 7.6 mg/dL. The Model for End-Stage Liver Disease score was 18, and the Child-Pugh score was 9 (Grade B). She underwent living donor liver transplantation (LDLT) using a right hemi-liver graft procured from her 54-year-old mother. The conventional approach from the cephalad side to the superior mesenteric vein (SMV) and splenic vein (SpV) confluence behind the pancreas was extremely difficult in this case because the confluence of SMV and SpV was close to the lower edge of the pancreas. Therefore, we decided to perform PV reconstruction from the caudal side. The main trunk of PV was documented as narrow (5 mm in diameter), for which retro-pancreatic pull-through PV reconstruction was successfully performed using her own mesosystemic shunt vessel. A contrast computed tomography (CT) scan was performed on postoperative day 5 because of an elevation of D-dimer and found a partial thrombus in the left pulmonary artery, as well as in the PV and left renal vein. Thereafter, thrombolytic therapy with low-molecular-weight heparin was started immediately and switched to a direct oral anticoagulant. The follow-up CT taken 3 months after liver transplantation revealed a patent PV without thrombus; therefore, anticoagulant therapy was discontinued. Currently, the patient has been well and active with a patent PV without anticoagulant therapy for 3 years after LDLT.
Retro-pancreatic pull-through reconstruction of the hypoplastic PV is a feasible and effective method when conventional reconstruction is not indicated.
在门静脉发育不全的肝移植患者中,当狭窄段延伸至胰腺背侧过深时,从胰腺上部重建间置移植物既困难又危险。在此,我们报告一例在门静脉狭窄较深的情况下,利用来自胰腺尾侧的自体肠系膜-体循环分流血管进行门静脉重建的病例,并讨论技术细节。
一名25岁女性,因Kasai手术后胆道闭锁导致胆汁淤积性肝硬化。由于黄疸进展,她被转诊至我院进行肝移植。实验室检查显示其总胆红素升高至7.6mg/dL。终末期肝病模型评分18分,Child-Pugh评分9分(B级)。她接受了活体供肝肝移植(LDLT),使用的是从其54岁母亲获取的右半肝移植物。在该病例中,从胰腺后方头侧至肠系膜上静脉(SMV)和脾静脉(SpV)汇合处的传统方法极其困难,因为SMV和SpV的汇合处靠近胰腺下缘。因此,我们决定从尾侧进行门静脉重建。门静脉主干记录为狭窄(直径5mm),利用其自身的肠系膜-体循环分流血管成功进行了胰后牵出式门静脉重建。术后第5天,因D-二聚体升高进行了对比计算机断层扫描(CT),发现左肺动脉以及门静脉和左肾静脉有部分血栓形成。此后,立即开始使用低分子量肝素进行溶栓治疗,并转换为直接口服抗凝剂。肝移植后3个月的随访CT显示门静脉通畅无血栓形成;因此,抗凝治疗停止。目前,该患者在LDLT术后3年,门静脉通畅,无需抗凝治疗,身体状况良好且活动自如。
当常规重建不适用时,胰后牵出式重建发育不全的门静脉是一种可行且有效的方法。