Suppr超能文献

TP4-LYC1的重组生产,一种对HeLa细胞具有靶向细胞毒性的新型嵌合肽。

Recombinant Production of TP4-LYC1, A New Chimeric Peptide with Targeted Cytotoxicity to HeLa Cells.

作者信息

Mohammad Pour Hanieh, Jahanian-Najafabadi Ali, Shafiee Fatemeh

机构信息

Department of Pharmaceutical Biotechnology, School of Pharmacy and Pharmaceutical Sciences, Isfahan University of Medical Sciences, Isfahan, Iran.

出版信息

Avicenna J Med Biotechnol. 2024 Jan-Mar;16(1):9-15. doi: 10.18502/ajmb.v16i1.14166.

Abstract

BACKGROUND

Tilapia Piscidin 4 (TP4) showed potential anti-tumor effects against various cancer cells. Lycosine-1 (LYC1), is another Antimicrobial Peptides (AMP) from spider venom with targeted penetration to cancer cells without any adverse effects on normal cells. The aim of this study was to produce a soluble recombinant fusion peptide in order to diminish the cytotoxicity of TP4 against normal cells.

METHODS

In order to express of TP4-LYC-1, TP4, and LYC1 in fusion to the inteins1/2 of pTWIN-1 vector, induction condition was optimized to earn soluble peptides. Auto-cleavage induction of inteins1/2 was performed based on IMPACT manual and their effect on cell viability of HeLa and HUVEC cells was surveyed by MTT assay.

RESULTS

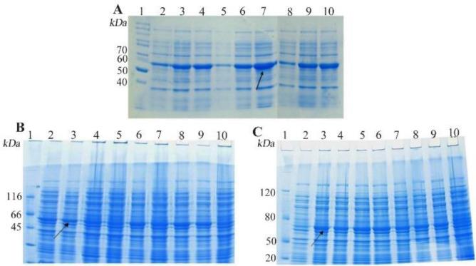
The best condition for accessing the most soluble peptide in fusion to the inteins was approximately similar for all three peptides (0.1 of IPTG, at 22). After the induction of self-cleavage of inteins, a band in 3, 3, and 6 was observed on tricine-SDS-PAGE. The IC50 values of TP4-LYC1 and TP4 against HeLa cells were calculated as 0.83, and 2.75 , respectively.

CONCLUSION

In the present study, a novel chimeric peptide, TP4-LYC1, was successfully produced. This fusion protein can act as a safe bio-molecule with potent cytotoxic effects against cancer cells, but the penetration ability and determination of cell death mechanism must be performed in order to have more precise view on the apoptosis induction of this recombinant peptide.

摘要

背景

罗非鱼杀鱼毒素4(TP4)对多种癌细胞显示出潜在的抗肿瘤作用。狼蛛溶素-1(LYC1)是另一种来自蜘蛛毒液的抗菌肽,可靶向穿透癌细胞,对正常细胞无任何不良影响。本研究的目的是生产一种可溶性重组融合肽,以降低TP4对正常细胞的细胞毒性。

方法

为了在pTWIN-1载体的内含肽1/2融合表达TP4-LYC-1、TP4和LYC1,优化诱导条件以获得可溶性肽。根据IMPACT手册进行内含肽1/2的自切割诱导,并通过MTT法检测其对HeLa和HUVEC细胞活力的影响。

结果

对于所有三种肽,获得与内含肽融合的最可溶性肽的最佳条件大致相似(IPTG浓度为0.1,温度为22℃)。内含肽自切割诱导后,在tricine-SDS-PAGE上观察到3、3和6 kDa处的条带。TP4-LYC1和TP4对HeLa细胞的IC50值分别计算为0.83和2.75 μM。

结论

在本研究中,成功制备了一种新型嵌合肽TP4-LYC1。这种融合蛋白可以作为一种安全的生物分子,对癌细胞具有强大的细胞毒性作用,但必须进行穿透能力和细胞死亡机制的测定,以便更精确地了解这种重组肽的凋亡诱导作用。

https://cdn.ncbi.nlm.nih.gov/pmc/blobs/c769/11005396/7ce69a26a55a/AJMB-16-9-g001.jpg

文献AI研究员

20分钟写一篇综述,助力文献阅读效率提升50倍。

立即体验

用中文搜PubMed

大模型驱动的PubMed中文搜索引擎

马上搜索

文档翻译

学术文献翻译模型,支持多种主流文档格式。

立即体验