Suppr超能文献

Structural changes in laser-induced retinopathy examined by adaptive optics optical coherence tomography.

作者信息

Kogo Takahiro, Muraoka Yuki, Ishikura Masaharu, Nishigori Naomi, Akiyama Yuki, Hata Masayuki, Tsujikawa Akitaka

机构信息

Department of Ophthalmology and Visual Sciences, Kyoto University Graduate School of Medicine, Kyoto, Japan.

出版信息

Am J Ophthalmol Case Rep. 2024 Apr 10;34:102052. doi: 10.1016/j.ajoc.2024.102052. eCollection 2024 Jun.

Abstract

PURPOSE

We report a case of laser-induced retinopathy that posed diagnostic challenges with conventional spectral domain optical coherence tomography (SD-OCT), but was successfully diagnosed using adaptive optics-optical coherence tomography (AO-OCT).

OBSERVATIONS

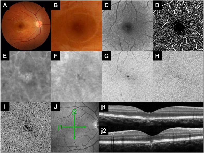
A 27-year-old man with a history of occupational laser device use presented with central scotoma and visual disturbances in the right eye. Conventional SD-OCT only revealed decreased reflectivity in parts of the foveal ellipsoidal zone band. However, other multimodal observations indicated damage to the retinal pigment epithelium (RPE) and choriocapillaris. Additionally, a well-defined circular, dark lesion, approximately 80 μm in diameter, was identified in the outer retina. AO-OCT demonstrated the absence of the RPE and Bruch's membrane, accompanied by the loss of inner and outer segments of cone photoreceptors and dropout of cone cell nuclei, with Müller cells remaining unaffected.

CONCLUSIONS AND IMPORTANCE

This case of laser-induced retinopathy advances our understanding of the pathophysiological effect of laser exposure on the retina, suggesting a higher incidence of laser-induced retinopathy than previously diagnosed. It also serves as a crucial reminder for laser users to exercise caution and highlights the necessity for ophthalmologists to carefully observe and examine such cases.

摘要
https://cdn.ncbi.nlm.nih.gov/pmc/blobs/909c/11021825/88163868c59a/gr1.jpg

文献AI研究员

20分钟写一篇综述,助力文献阅读效率提升50倍。

立即体验

用中文搜PubMed

大模型驱动的PubMed中文搜索引擎

马上搜索

文档翻译

学术文献翻译模型,支持多种主流文档格式。

立即体验