Du Xuanjin, Wang Chunyan, Liu Jialu, Yu Minghui, Ju Haixin, Xue Shanshan, Li Yaxin, Liu Jiaojiao, Dai Rufeng, Chen Jing, Zhai Yihui, Rao Jia, Wang Xiang, Sun Yubo, Sun Lei, Wu Xiaohui, Xu Hong, Shen Qian
Department of Nephrology, Shanghai Kidney Development and Pediatric Kidney Disease Research Center, Children's Hospital of Fudan University, 201102, Shanghai, China.
Department of Urology, Shanghai Kidney Development and Pediatric Kidney Disease Research Center, Children's Hospital of Fudan University, 201102, Shanghai, China.
Hum Genomics. 2024 Apr 24;18(1):41. doi: 10.1186/s40246-024-00606-8.
Congenital anomalies of the kidney and urinary tract (CAKUT) are prevalent birth defects. Although pathogenic CAKUT genes are known, they are insufficient to reveal the causes for all patients. Our previous studies indicated GEN1 as a pathogenic gene of CAKUT in mice, and this study further investigated the correlation between GEN1 and human CAKUT.
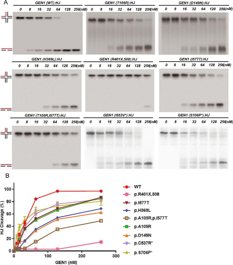
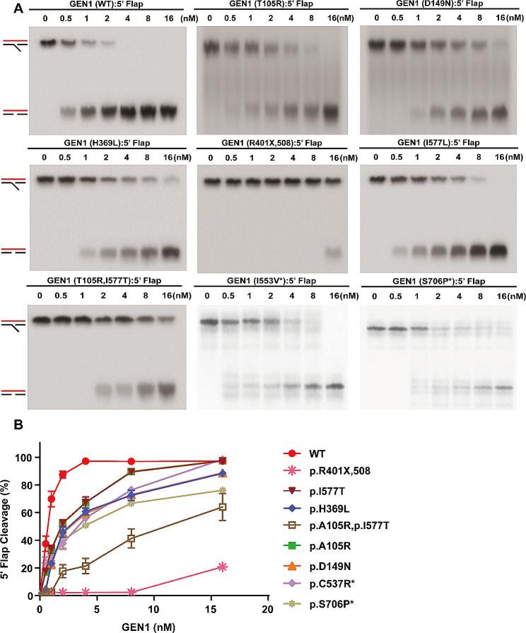
In this study, DNA from 910 individuals with CAKUT was collected; 26 GEN1 rare variants were identified, and two GEN1 (missense) variants in a non-CAKUT group were found. Mainly due to the stability results of the predicted mutant on the website, in vitro, 10 variants (eight CAKUT, two non-CAKUT) were selected to verify mutant protein stability. In addition, mainly based on the division of the mutation site located in the functional region of the GEN1 protein, 8 variants (six CAKUT, two non-CAKUT) were selected to verify enzymatic hydrolysis, and the splice variant GEN1 (c.1071 + 3(IVS10) A > G) was selected to verify shear ability. Based on the results of in vitro experiments and higher frequency, three sites with the most significant functional change were selected to build mouse models.
Protein stability changed in six variants in the CAKUT group. Based on electrophoretic mobility shift assay of eight variants (six CAKUT, two non-CAKUT), the enzymatic hydrolysis and DNA-binding abilities of mutant proteins were impaired in the CAKUT group. The most serious functional damage was observed in the Gen1 variant that produced a truncated protein. A mini-gene splicing assay showed that the variant GEN1 (c.1071 + 3(IVS10) A > G) in the CAKUT group significantly affected splicing function. An abnormal exon10 was detected in the mini-gene splicing assay. Point-mutant mouse strains were constructed (Gen1: c.1068 + 3 A > G, p.R400X, and p.T105R) based on the variant frequency in the CAKUT group and functional impairment in vitro study and CAKUT phenotypes were replicated in each.
Overall, our findings indicated GEN1 as a risk factor for human CAKUT.
先天性肾脏和尿路畸形(CAKUT)是常见的出生缺陷。虽然已知致病的CAKUT基因,但这些基因不足以揭示所有患者的病因。我们之前的研究表明GEN1是小鼠CAKUT的致病基因,本研究进一步探讨了GEN1与人类CAKUT之间的相关性。
本研究收集了910例CAKUT患者的DNA;鉴定出26个GEN1罕见变异,在非CAKUT组中发现了2个GEN1(错义)变异。主要基于网站上预测突变体的稳定性结果,在体外选择10个变异(8个CAKUT,2个非CAKUT)来验证突变蛋白的稳定性。此外,主要基于位于GEN1蛋白功能区域的突变位点划分,选择8个变异(6个CAKUT,2个非CAKUT)来验证酶切作用,并选择剪接变异体GEN1(c.1071 + 3(IVS10) A > G)来验证剪切能力。根据体外实验结果和较高的频率,选择功能变化最显著的三个位点构建小鼠模型。
CAKUT组中有6个变异的蛋白质稳定性发生了变化。基于对8个变异(6个CAKUT,2个非CAKUT)的电泳迁移率变动分析,CAKUT组中突变蛋白的酶切作用和DNA结合能力受损。在产生截短蛋白的Gen1变异体中观察到最严重的功能损伤。一个小基因剪接试验表明,CAKUT组中的变异体GEN1(c.1071 + 3(IVS10) A > G)显著影响剪接功能。在小基因剪接试验中检测到异常的外显子10。根据CAKUT组中的变异频率、体外功能损伤研究构建了点突变小鼠品系(Gen1:c.1068 + 3 A > G,p.R400X和p.T105R),并在每个品系中复制了CAKUT表型。
总体而言,我们的研究结果表明GEN1是人类CAKUT的一个风险因素。