Ferrer-Roda Mònica, Izquierdo Dolors, Gil Ana, Oliveira Maria Emilia Franco, Paramio Maria-Teresa
Department of Animal and Food Science, Veterinary Faculty, Autonomous University of Barcelona, 08193 Barcelona, Spain.
School of Agricultural and Veterinarian Sciences, São Paulo State University, São Paulo 14884-900, Brazil.
Int J Mol Sci. 2024 Apr 18;25(8):4474. doi: 10.3390/ijms25084474.
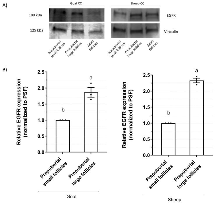
The oocyte competence of prepubertal females is lower compared to that of adults, mainly because they originate from small follicles. In adult females, the germinal vesicle (GV) and epidermal growth factor receptor (EGFR) have been associated with oocyte competence. This study aimed to analyze GV chromatin configuration and EGFR expression in prepubertal goat and sheep oocytes obtained from small (<3 mm) and large (≥3 mm) follicles and compare them with those from adults. GV chromatin was classified from diffuse to condensed as GV1, GVn, and GVc for goats and NSN, SN, and SNE for sheep. EGFR was quantified in cumulus cells (CCs) by Western blotting and in oocytes by immunofluorescence. Oocytes from prepubertal large follicles and adults exhibited highly condensed chromatin in goats (71% and 69% in GVc, respectively) and sheep (59% and 75% in SNE, respectively). In both species, EGFR expression in CCs and oocytes was higher in prepubertal large follicles than in small ones. In adult females, EGFR expression in oocytes was higher than in prepubertal large follicles. In conclusion, GV configuration and EGFR expression in CCs and oocytes were higher in the large than small follicles of prepubertal females.
与成年雌性相比,青春期前雌性的卵母细胞能力较低,主要是因为它们来自小卵泡。在成年雌性中,生发泡(GV)和表皮生长因子受体(EGFR)与卵母细胞能力有关。本研究旨在分析从青春期前山羊和绵羊的小卵泡(<3 mm)和大卵泡(≥3 mm)中获得的卵母细胞的GV染色质构型和EGFR表达,并将其与成年动物的卵母细胞进行比较。山羊的GV染色质从弥散型到凝聚型分为GV1、GVn和GVc,绵羊分为NSN、SN和SNE。通过蛋白质免疫印迹法对卵丘细胞(CCs)中的EGFR进行定量,通过免疫荧光法对卵母细胞中的EGFR进行定量。青春期前大卵泡和成年动物的卵母细胞在山羊中表现出高度凝聚的染色质(分别为GVc中的71%和成年动物中的69%)和绵羊(分别为SNE中的59%和成年动物中的75%)。在两个物种中,青春期前大卵泡中CCs和卵母细胞中的EGFR表达均高于小卵泡。在成年雌性中,卵母细胞中的EGFR表达高于青春期前大卵泡。总之,青春期前雌性大卵泡中CCs和卵母细胞的GV构型和EGFR表达高于小卵泡。