Suppr超能文献

口服避孕药治疗的女性因门静脉血栓形成导致肠梗阻:一例病例报告及综合文献复习

Intestinal obstruction induced by portal vein thrombosis in a female undergoing oral contraceptive therapy: a case report with comprehensive review.

作者信息

William Munna, Yogi Tek Nath, Bhusal Amrit, Habib Mudasira, Raza Amjad Ali, Ahmad Waqar, Yadav Ajay Kumar, Rawal Objan Kumar, Pathik Pramod

机构信息

Departments of Medicine.

Departments of Internal Medicine.

出版信息

Ann Med Surg (Lond). 2024 Mar 19;86(5):3146-3153. doi: 10.1097/MS9.0000000000001985. eCollection 2024 May.

Abstract

INTRODUCTION

Portal vein thrombosis (PVT) is a rare medical condition that obstructs blood flow in the portal vein, with cirrhosis as a common predisposing factor. However, its association with oral contraceptive pills (OCPs), particularly with progestins, remains inadequately explored. This case report aims to contribute to this understanding, focusing on the rare presentation of PVT-induced intestinal obstruction in a female on prolonged OCP therapy.

CASE PRESENTATION

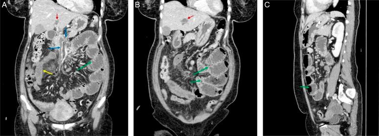
A 45-year-old female presented with severe abdominal pain, vomiting, and constipation. Diagnosis revealed PVT-induced intestinal obstruction, an exceptionally rare occurrence in the context of prolonged OCP therapy. The patient's symptoms improved with conservative management, including rivaroxaban, highlighting the crucial role of early intervention.

DISCUSSION

This case brings attention to the limited literature exploring the link between OCPs and PVT. Despite the generally safe reputation of OCPs, they can induce pro-thrombotic conditions, emphasizing the need for heightened clinical awareness. In this case, the rarity of intestinal obstruction in PVT, compounded by the absence of common risk factors, underscores the diagnostic challenges associated with such presentations.

CONCLUSION

PVT-induced intestinal obstruction in a patient on prolonged OCP therapy is exceptionally rare, emphasizing the necessity for multidisciplinary management. It provides crucial insights into suspecting, identifying, and treating this uncommon complication in non-cirrhotic individuals, contributing to the limited existing literature on the subject.

摘要

引言

门静脉血栓形成(PVT)是一种罕见的病症,会阻碍门静脉的血流,肝硬化是常见的诱发因素。然而,其与口服避孕药(OCP),尤其是与孕激素的关联仍未得到充分研究。本病例报告旨在通过关注一名长期接受OCP治疗的女性中PVT引起的肠梗阻这一罕见表现,来增进对此的理解。

病例介绍

一名45岁女性出现严重腹痛、呕吐和便秘。诊断显示为PVT引起的肠梗阻,这在长期OCP治疗的情况下极为罕见。患者的症状通过包括利伐沙班在内的保守治疗得到改善,凸显了早期干预的关键作用。

讨论

本病例引起了人们对探索OCP与PVT之间联系的有限文献的关注。尽管OCP通常有安全的声誉,但它们可诱发血栓形成状态,强调了提高临床意识的必要性。在本病例中,PVT中肠梗阻的罕见性,加上缺乏常见危险因素,突出了与此类表现相关的诊断挑战。

结论

长期接受OCP治疗的患者中由PVT引起的肠梗阻极为罕见,强调了多学科管理的必要性。它为怀疑、识别和治疗非肝硬化个体中的这种罕见并发症提供了关键见解,为该主题有限的现有文献做出了贡献。

https://cdn.ncbi.nlm.nih.gov/pmc/blobs/9c90/11060203/063c4869241b/ms9-86-3146-g001.jpg

文献AI研究员

20分钟写一篇综述,助力文献阅读效率提升50倍。

立即体验

用中文搜PubMed

大模型驱动的PubMed中文搜索引擎

马上搜索

文档翻译

学术文献翻译模型,支持多种主流文档格式。

立即体验