Suppr超能文献

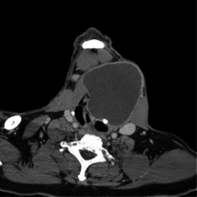
Adult male with dysphagia.

作者信息

Millard Jarred T, Bloom Andrew D

机构信息

Department of Emergency Medicine University of Alabama at Birmingham Birmingham Alabama USA.

出版信息

J Am Coll Emerg Physicians Open. 2024 Apr 22;5(2):e13165. doi: 10.1002/emp2.13165. eCollection 2024 Apr.

Abstract
摘要
https://cdn.ncbi.nlm.nih.gov/pmc/blobs/4111/11090148/7f3bf6ed3b6d/EMP2-5-e13165-g001.jpg

文献AI研究员

20分钟写一篇综述,助力文献阅读效率提升50倍。

立即体验

用中文搜PubMed

大模型驱动的PubMed中文搜索引擎

马上搜索

文档翻译

学术文献翻译模型,支持多种主流文档格式。

立即体验