Suppr超能文献

在临床需要更快的脑部MRI扫描的情况下使用多对比回波平面成像序列(回波平面成像混合序列)。

Multi-contrast echo-planar imaging sequence (Echo-planar imaging mix) in clinical situations demanding faster MRI-brain scans.

作者信息

Ganesh Viswanadh Kalaparti Sri Venkata, Kamepalli Hari Kishore, Sharma Dev Prakash, Thomas Bejoy, Kesavadas Chandrasekharan

机构信息

Department of Imaging Sciences and Interventional Radiology, Sree Chitra Tirunal Institute for Medical Sciences and Technology, Thiruvananthapuram, Kerala, India.

Department of Radiology, INHS Asvini, Mumbai, Maharashtra, India.

出版信息

J Neurosci Rural Pract. 2024 Apr-Jun;15(2):341-348. doi: 10.25259/JNRP_508_2023. Epub 2024 Apr 10.

Abstract

OBJECTIVES

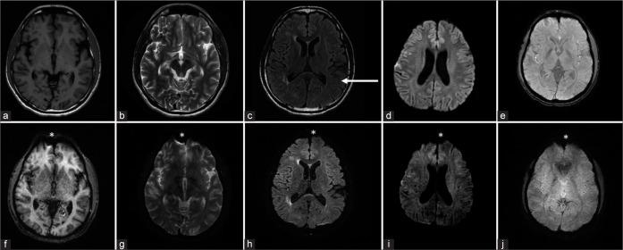
The excellent resolution offered by magnetic resonance imaging (MRI) has a trade-off in the form of scan duration. The purpose of the present study was to assess the clinical utility of echo-planar imaging mix (EPIMix), an echo-planar imaging-based MRI sequence for the brain with a short acquisition time.

MATERIALS AND METHODS

This was a retrospective observational study of 50 patients, who could benefit from faster MRI brain scans. The T1, T2, fluid attenuated inversion recovery, diffusion-weighted imaging (DWI), and T2*/susceptibility-weighted imaging sequences were acquired, conventionally and with EPIMix. Conventional and EPIMix images were assessed by two radiologists for overall quality, motion, and susceptibility artifacts and scored on a Likert scale. The scores given for conventional and EPIMix images were compared. The diagnostic performance of EPIMix was also assessed by the ability to detect clinically relevant findings.

RESULTS

The acquisition time for conventional MRI was 11 min and 45 s and for EPIMix 1 min and 15 s. All EPIMix images were sufficient for diagnostic use. On assessment of the diagnostic performance, it was excellent for ischemic and hemorrhagic strokes. Smaller lesions, lesions adjacent to bone, and post-operative tumors were difficult to identify. Moderate to perfect agreement (Kappa values 0.41-1) was seen between radiologists for all categories except skull base, calvarial, and orbital lesions. Image quality, artifact assessment showed excellent interobserver agreement (>90%) for the scores. All EPIMix images showed reduced motion artifacts. The EPIMix-DWI was comparable to conventional-DWI in terms of quality and artifacts. The remaining sequences showed reduced quality and increased susceptibility.

CONCLUSION

The EPIMix has a significantly reduced acquisition time than conventional MRI and could be used instead of conventional MRI in situations demanding faster scans such as suspected acute ischemic or hemorrhagic stroke. In other clinical scenarios, it could help tailor the MRI examination for each patient.

摘要

目的

磁共振成像(MRI)提供的高分辨率是以扫描时间为代价的。本研究的目的是评估回波平面成像混合序列(EPIMix)的临床实用性,这是一种基于回波平面成像的脑部MRI序列,采集时间较短。

材料与方法

这是一项对50例患者的回顾性观察研究,这些患者可从更快的脑部MRI扫描中受益。采用传统方法和EPIMix序列采集T1、T2、液体衰减反转恢复、扩散加权成像(DWI)以及T2*/磁敏感加权成像序列。两名放射科医生对传统图像和EPIMix图像的整体质量、运动和磁敏感伪影进行评估,并采用李克特量表评分。比较传统图像和EPIMix图像的评分。还通过检测临床相关发现的能力来评估EPIMix的诊断性能。

结果

传统MRI的采集时间为11分45秒,EPIMix的采集时间为1分15秒。所有EPIMix图像均足以用于诊断。在评估诊断性能时,其对缺血性和出血性中风的诊断效果极佳。较小的病变、靠近骨骼的病变以及术后肿瘤难以识别。除颅底、颅骨和眼眶病变外,放射科医生对所有类别病变的评估一致性为中度至完美(Kappa值为0.41 - 1)。图像质量、伪影评估显示观察者间评分的一致性极佳(>90%)。所有EPIMix图像的运动伪影均减少。EPIMix - DWI在质量和伪影方面与传统DWI相当。其余序列显示质量下降且磁敏感性增加。

结论

与传统MRI相比,EPIMix的采集时间显著缩短,在疑似急性缺血性或出血性中风等需要更快扫描的情况下,可替代传统MRI使用。在其他临床场景中,它有助于为每位患者量身定制MRI检查。

https://cdn.ncbi.nlm.nih.gov/pmc/blobs/4bf6/11090545/674371d648d2/JNRP-15-341-g001.jpg

文献AI研究员

20分钟写一篇综述,助力文献阅读效率提升50倍。

立即体验

用中文搜PubMed

大模型驱动的PubMed中文搜索引擎

马上搜索

文档翻译

学术文献翻译模型,支持多种主流文档格式。

立即体验