Castelli Barbara, Tellini Marco, Guidi Melina, Di Nicola Marco, Giunti Laura, Buccoliero Anna Maria, Censullo Maria Luigia, Iacono Alessandro, Desideri Isacco, Genitori Lorenzo, Sardi Iacopo, Fonte Carla
Neuro-oncology Department, Meyer Children's Hospital IRCCS, Florence, Italy.
Pathology Department, Meyer Children's Hospital IRCCS, Florence, Italy.
Front Oncol. 2024 May 7;14:1359093. doi: 10.3389/fonc.2024.1359093. eCollection 2024.
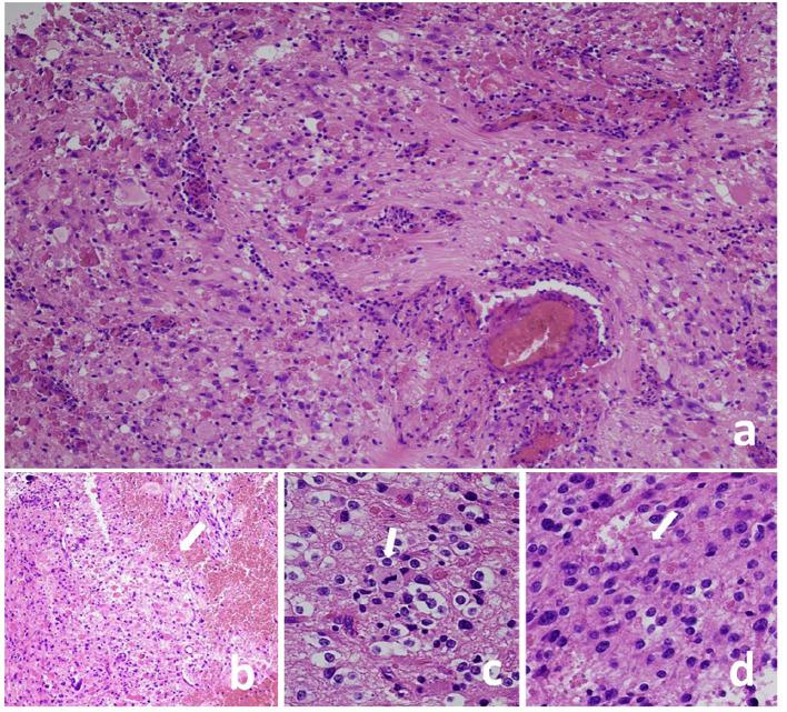
Dabrafenib plus trametinib is a promising new therapy for patients affected by -mutant glioma, with high overall response and manageable toxicity. We described a complete and long-lasting response in a case of recurrent anaplastic pleomorphic xanthoastrocytoma CNS WHO-grade 3 mutated. Due to very poor prognosis, there are a few described cases of high-grade glioma (HGG) patients treated with the combined target therapy as third-line treatment. The emergence of optimized sequencing strategies and targeted agents, including multimodal and systemic therapy with dabrafenib plus trametinib, will continue to broaden personalized therapy in HGG improving patient outcomes.
达拉非尼联合曲美替尼是一种对携带 - 突变的神经胶质瘤患者有前景的新疗法,具有高总体缓解率和可管理的毒性。我们描述了一例复发性间变性多形性黄色星形细胞瘤(CNS WHO 3级)携带 突变患者的完全且持久的缓解情况。由于预后极差,仅有少数关于高级别胶质瘤(HGG)患者接受联合靶向治疗作为三线治疗的病例报道。包括达拉非尼联合曲美替尼的多模式和全身治疗在内的优化测序策略和靶向药物的出现,将继续拓宽HGG的个性化治疗,改善患者预后。