Suppr超能文献

来自……的荚膜多糖对犬巨噬细胞DH82细胞系杀菌活性的抑制作用

Inhibition of Microbicidal Activity of Canine Macrophages DH82 Cell Line by Capsular Polysaccharides from .

作者信息

LaRocque-de-Freitas Isabel F, da Silva-Junior Elias Barbosa, Gemieski Leticia Paixão, da Silva Dias Lima Beatriz, Diniz-Lima Israel, de Carvalho Vivarini Aislan, Lopes Ulisses G, Freire-de-Lima Leonardo, Morrot Alexandre, Previato José Osvaldo, Mendonça-Previato Lucia, Pinto-da-Silva Lucia Helena, Freire-de-Lima Celio G, Decote-Ricardo Debora

机构信息

Instituto de Veterinária, Universidade Federal Rural do Rio de Janeiro, Seropédica 23890-900, Brazil.

Instituto de Biofísica Carlos Chagas Filho, Universidade Federal do Rio de Janeiro, Rio de Janeiro 21941-902, Brazil.

出版信息

J Fungi (Basel). 2024 May 8;10(5):339. doi: 10.3390/jof10050339.

Abstract

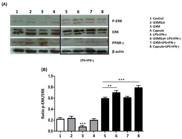
is a lethal fungus that primarily affects the respiratory system and the central nervous system. One of the main virulence factors is the capsule, constituted by the polysaccharides glucuronoxylomannan (GXM) and glucuronoxylomanogalactan (GXMGal). Polysaccharides are immunomodulators. One of the target cell populations for modulation are macrophages, which are part of the first line of defense and important for innate and adaptive immunity. It has been reported that macrophages can be modulated to act as a "Trojan horse," taking phagocytosed yeasts to strategic sites or having their machinery activation compromised. The scarcity of information on canine cryptococcosis led us to assess whether the purified capsular polysaccharides from would be able to modulate the microbicidal action of macrophages. In the present study, we observed that the capsular polysaccharides, GXM, GXMGal, or capsule total did not induce apoptosis in the DH82 macrophage cell line. However, it was possible to demonstrate that the phagocytic activity was decreased after treatment with polysaccharides. In addition, recovered yeasts from macrophages treated with polysaccharides after phagocytosis could be cultured, showing that their viability was not altered. The polysaccharides led to a reduction in ROS production and the mRNA expression of IL-12 and IL-6. We observed that GXMGal inhibits MHC class II expression and GXM reduces ERK phosphorylation. In contrast, GXMGal and GXM were able to increase the PPAR-γ expression. Furthermore, our data suggest that capsular polysaccharides can reduce the microbicidal activity of canine macrophages DH82.

摘要

是一种主要影响呼吸系统和中枢神经系统的致命真菌。其主要毒力因子之一是由多糖葡糖醛酸木甘露聚糖(GXM)和葡糖醛酸木甘露半乳聚糖(GXMGal)构成的荚膜。多糖是免疫调节剂。巨噬细胞是被调节的靶细胞群体之一,巨噬细胞是第一道防线的一部分,对先天免疫和适应性免疫很重要。据报道,巨噬细胞可被调节为充当“特洛伊木马”,将吞噬的酵母带到战略部位或使其机制激活受损。关于犬隐球菌病的信息匮乏,这促使我们评估来自[具体来源未提及]的纯化荚膜多糖是否能够调节巨噬细胞的杀菌作用。在本研究中,我们观察到荚膜多糖、GXM、GXMGal或总荚膜均未诱导DH82巨噬细胞系凋亡。然而,可以证明用多糖处理后吞噬活性降低。此外,吞噬后用多糖处理的巨噬细胞中回收的酵母能够培养,表明其活力未改变。多糖导致活性氧(ROS)产生减少以及IL - 12和IL - 6的mRNA表达降低。我们观察到GXMGal抑制MHC II类表达,GXM降低ERK磷酸化。相反,GXMGal和GXM能够增加PPAR - γ表达。此外,我们的数据表明荚膜多糖可降低犬巨噬细胞DH82的杀菌活性。

https://cdn.ncbi.nlm.nih.gov/pmc/blobs/ae2a/11122219/a59078ad210b/jof-10-00339-g001.jpg

文献AI研究员

20分钟写一篇综述,助力文献阅读效率提升50倍。

立即体验

用中文搜PubMed

大模型驱动的PubMed中文搜索引擎

马上搜索

文档翻译

学术文献翻译模型,支持多种主流文档格式。

立即体验