Suppr超能文献

一例罕见的原发性皮肤碰撞瘤,由恶性黑色素瘤和横纹肌肉瘤组成。

A Rare Case of a Primary Cutaneous Collision Tumor Comprising Malignant Melanoma and Rhabdomyosarcoma.

作者信息

Gerhold Cameron, Stonesifer Connor, Xie Dong-Lin, Norman Robert

机构信息

Department of Medicine, Florida State University College of Medicine, Tallahassee, USA.

Department of Dermatology, University of Miami, Miami, USA.

出版信息

Cureus. 2024 Apr 24;16(4):e58910. doi: 10.7759/cureus.58910. eCollection 2024 Apr.

Abstract

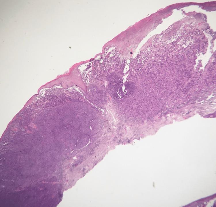
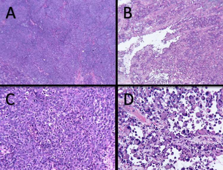
This case reports a 35-year-old man who presented with a painful erythematous nodule on his right posterior calf. He first noticed this nodule several years ago and it often bled upon contact with clothing. An excisional biopsy of the skin lesion revealed two distinct populations of cells. One population of epithelioid cells stained positive for Mart-1, HMB45, and SOX-10, confirming the diagnosis of malignant melanoma. The second population of cells stained positive for desmin and calponin, confirming the diagnosis of sarcoma with muscular differentiation. Subsequently, these unusual findings led to the diagnosis of a collision tumor comprising malignant melanoma and rhabdomyosarcoma. Follow-up PET/CT and brain MRI revealed no metastasis from the primary skin lesion. This case highlights a rare combination of cell types found within a collision tumor in addition to providing details on how to diagnose this skin lesion.

摘要

本病例报告了一名35岁男性,其右小腿后侧出现一个疼痛性红斑结节。他几年前首次注意到这个结节,且该结节在与衣物接触时经常出血。对皮肤病变进行切除活检显示有两种不同类型的细胞。一类上皮样细胞Mart-1、HMB45和SOX-10染色呈阳性,确诊为恶性黑色素瘤。第二类细胞结蛋白和钙调蛋白染色呈阳性,确诊为具有肌肉分化的肉瘤。随后,这些不寻常的发现导致诊断为一种由恶性黑色素瘤和横纹肌肉瘤组成的碰撞瘤。后续的PET/CT和脑部MRI检查显示原发性皮肤病变无转移。该病例除了详细介绍如何诊断这种皮肤病变外,还突出了碰撞瘤中罕见的细胞类型组合。

https://cdn.ncbi.nlm.nih.gov/pmc/blobs/e68f/11118888/2ad0e6ace039/cureus-0016-00000058910-i01.jpg

文献AI研究员

20分钟写一篇综述,助力文献阅读效率提升50倍。

立即体验

用中文搜PubMed

大模型驱动的PubMed中文搜索引擎

马上搜索

文档翻译

学术文献翻译模型,支持多种主流文档格式。

立即体验