Center for Kidney Disease, Second Affiliated Hospital, Nanjing Medical University, 262 North Zhongshan Road, Nanjing, Jiangsu, 210003, China.
Cell Mol Life Sci. 2024 May 30;81(1):244. doi: 10.1007/s00018-024-05289-x.
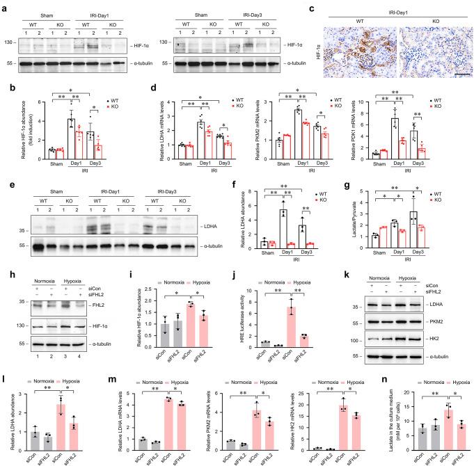
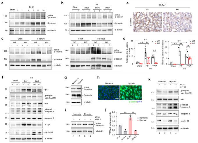
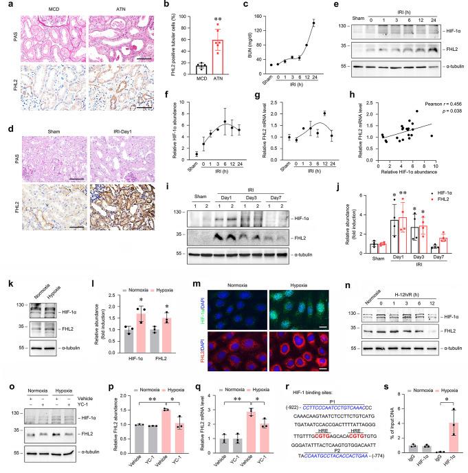
Four-and-a-half LIM domains protein 2 (FHL2) is an adaptor protein that may interact with hypoxia inducible factor 1α (HIF-1α) or β-catenin, two pivotal protective signaling in acute kidney injury (AKI). However, little is known about the regulation and function of FHL2 during AKI. We found that FHL2 was induced in renal tubular cells in patients with acute tubular necrosis and mice model of ischemia-reperfusion injury (IRI). In cultured renal proximal tubular cells (PTCs), hypoxia induced FHL2 expression and promoted the binding of HIF-1 to FHL2 promoter. Compared with control littermates, mice with PTC-specific deletion of FHL2 gene displayed worse renal function, more severe morphologic lesion, more tubular cell death and less cell proliferation, accompanying by downregulation of AQP1 and Na, K-ATPase after IRI. Consistently, loss of FHL2 in PTCs restricted activation of HIF-1 and β-catenin signaling simultaneously, leading to attenuation of glycolysis, upregulation of apoptosis-related proteins and downregulation of proliferation-related proteins during IRI. In vitro, knockdown of FHL2 suppressed hypoxia-induced activation of HIF-1α and β-catenin signaling pathways. Overexpression of FHL2 induced physical interactions between FHL2 and HIF-1α, β-catenin, GSK-3β or p300, and the combination of these interactions favored the stabilization and nuclear translocation of HIF-1α and β-catenin, enhancing their mediated gene transcription. Collectively, these findings identify FHL2 as a direct downstream target gene of HIF-1 signaling and demonstrate that FHL2 could play a critical role in protecting against ischemic AKI by promoting the activation of HIF-1 and β-catenin signaling through the interactions with its multiple protein partners.
四半 LIM 结构域蛋白 2(FHL2)是一种衔接蛋白,可能与缺氧诱导因子 1α(HIF-1α)或β-连环蛋白相互作用,这两种蛋白都是急性肾损伤(AKI)中的关键保护信号通路。然而,关于 FHL2 在 AKI 中的调控和功能知之甚少。我们发现,FHL2 在急性肾小管坏死患者和缺血再灌注损伤(IRI)小鼠模型的肾小管细胞中被诱导。在培养的肾近端小管细胞(PTC)中,缺氧诱导 FHL2 表达,并促进 HIF-1 与 FHL2 启动子结合。与对照同窝仔相比,PTC 特异性 FHL2 基因缺失的小鼠在 IRI 后肾功能更差,形态损伤更严重,肾小管细胞死亡更多,细胞增殖更少,同时 AQP1 和 Na,K-ATPase 的表达下调。一致地,PTC 中 FHL2 的缺失同时限制了 HIF-1 和 β-连环蛋白信号通路的激活,导致 IRI 期间糖酵解减弱,凋亡相关蛋白上调和增殖相关蛋白下调。在体外,FHL2 的敲低抑制了缺氧诱导的 HIF-1α和β-连环蛋白信号通路的激活。FHL2 的过表达诱导了 FHL2 与 HIF-1α、β-连环蛋白、GSK-3β 或 p300 之间的物理相互作用,这些相互作用的结合有利于 HIF-1α 和 β-连环蛋白的稳定和核转位,增强其介导的基因转录。总之,这些发现确定 FHL2 是 HIF-1 信号的直接下游靶基因,并表明 FHL2 通过与多种蛋白伴侣相互作用,通过促进 HIF-1 和 β-连环蛋白信号的激活,在保护缺血性 AKI 中发挥关键作用。