Boussuges Alain, Fourdrain Alex, Leone Marc, Brioude Geoffrey, Menard Amelie, Zieleskiewicz Laurent, Delliaux Stephane, Gouitaa Marion, Dutau Hervé, Brégeon Fabienne
Centre de Recherche en Cardio-Vasculaire et Nutrition, C2VN (Université Aix Marseille, INSERM 1263, INRAE 1260), Faculté de Médecine, Marseille, France.
Laboratoire d'Exploration Fonctionnelle Respiratoire, Hôpital Nord, Assistance Publique des Hôpitaux de Marseille, Marseille, France.
Front Med (Lausanne). 2024 May 23;11:1416520. doi: 10.3389/fmed.2024.1416520. eCollection 2024.
Ultrasound has demonstrated its interest in the analysis of diaphragm function in patients with respiratory failure. The criteria used to diagnose hemidiaphragm paralysis are not well defined.
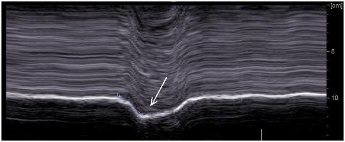
The aim of this observational retrospective study was to describe the ultrasound findings in 103 patients with diaphragm paralysis, previously diagnosed by conventional methods after various circumstances such as trauma or surgery. The ultrasound study included the recording of excursions of both diaphragmatic domes and the measurement of inspiratory thickening.
On paralyzed hemidiaphragm, thickening was less than 20% in all patients during deep inspiration. Thinning was recorded in 53% of cases. In some cases, the recording of the thickening could be difficult. The study of motion during voluntary sniffing reported a paradoxical excursion in all but one patient. During quiet breathing, an absence of movement or a paradoxical displacement was observed. During deep inspiration, a paradoxical motion at the beginning of inspiration followed by a reestablishment of movement in the cranio-caudal direction was seen in 82% of cases. In some patients, there was a lack of movement followed, after an average delay of 0.4 s, by a cranio-caudal excursion. Finally, in 4 patients no displacement was recorded. Evidence of hyperactivity (increased inspiratory thickening and excursion) of contralateral non-paralyzed hemidiaphragm was observed.
To accurately detect hemidiaphragm paralysis, it would be interesting to combine the ultrasound study of diaphragm excursion and thickening. The different profiles reported by our study must be known to avoid misinterpretation.
超声已显示出其在分析呼吸衰竭患者膈肌功能方面的价值。用于诊断半侧膈肌麻痹的标准尚未明确界定。
这项观察性回顾性研究的目的是描述103例膈肌麻痹患者的超声检查结果,这些患者先前在创伤或手术等各种情况后通过传统方法确诊。超声检查包括记录双侧膈肌穹窿的移动幅度以及测量吸气时的增厚情况。
在麻痹的半侧膈肌上,所有患者在深吸气时增厚均小于20%。53%的病例记录到变薄。在某些情况下,增厚情况的记录可能困难。对自主吸气时运动的研究报告,除1例患者外,所有患者均出现矛盾运动。在安静呼吸时,观察到无运动或矛盾移位。在深吸气时,82%的病例在吸气开始时出现矛盾运动,随后在头-尾方向恢复运动。在一些患者中,先是缺乏运动,平均延迟0.4秒后出现头-尾方向的移动。最后,4例患者未记录到移位。观察到对侧未麻痹的半侧膈肌有活动亢进(吸气增厚和移动幅度增加)的证据。
为准确检测半侧膈肌麻痹,将膈肌移动幅度和增厚情况的超声检查相结合会很有意义。必须了解我们研究报告的不同特征以避免误解。