Nuffield Department of Clinical Neurosciences, University of Oxford, John Radcliffe Hospital, OX3 9DU Oxford, UK; Kavli Institute for Nanoscience Discovery, University of Oxford, Dorothy Crowfoot Hodgkin Building, OX1 3QU Oxford, UK.
Nuffield Department of Clinical Neurosciences, University of Oxford, John Radcliffe Hospital, OX3 9DU Oxford, UK; Kavli Institute for Nanoscience Discovery, University of Oxford, Dorothy Crowfoot Hodgkin Building, OX1 3QU Oxford, UK.
Stem Cell Reports. 2024 Jul 9;19(7):957-972. doi: 10.1016/j.stemcr.2024.05.008. Epub 2024 Jun 13.
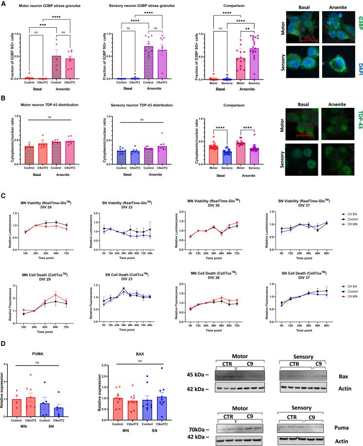
Induced pluripotent stem cell (iPSC)-derived motor neurons (MNs) from patients with amyotrophic lateral sclerosis (ALS) and the C9ORF72 hexanucleotide repeat expansion (HRE) have multiple cellular phenotypes, but which of these accurately reflect the biology underlying the cell-specific vulnerability of ALS is uncertain. We therefore compared phenotypes due to the C9ORF72 HRE in MNs with sensory neurons (SNs), which are relatively spared in ALS. The iPSC models were able to partially reproduce the differential gene expression seen between adult SNs and MNs. We demonstrated that the typical hallmarks of C9ORF72-ALS, including RNA foci and dipeptide formation, as well as specific axonal transport defects, occurred equally in MNs and SNs, suggesting that these in vitro phenotypes are not sufficient to explain the cell-type selectivity of ALS in isolation.
诱导多能干细胞(iPSC)衍生的肌萎缩侧索硬化症(ALS)患者和 C9ORF72 六核苷酸重复扩增(HRE)的运动神经元(MNs)具有多种细胞表型,但这些表型中哪些能准确反映 ALS 细胞特异性易损性的生物学基础尚不确定。因此,我们比较了 C9ORF72 HRE 在 MNs 和感觉神经元(SNs)中的表型,后者在 ALS 中相对较少受到影响。iPSC 模型能够部分再现成人 SNs 和 MNs 之间的差异基因表达。我们证明了 C9ORF72-ALS 的典型特征,包括 RNA 焦点和二肽形成以及特定的轴突运输缺陷,在 MNs 和 SNs 中同样发生,这表明这些体外表型不足以单独解释 ALS 的细胞类型选择性。