Suppr超能文献

肠系膜上动脉分支自发性孤立性夹层导致的继发性失血性休克

Secondary Hemorrhagic Shock Due to Spontaneous Isolated Dissection of the Superior Mesenteric Artery Branch.

作者信息

Muneza Arlette, Colson Dorian, Silber Kevin, Petnga Fenyi Roseline

机构信息

Emergency Department, Centre Hospitalier Régional Sambre et Meuse (CHRSM) Université Libre de Bruxelles (ULB), Namur, BEL.

Emergency Department, Hôpital Civil Marie Curie, Université Libre de Bruxelles (ULB), Charleroi, BEL.

出版信息

Cureus. 2024 May 18;16(5):e60543. doi: 10.7759/cureus.60543. eCollection 2024 May.

Abstract

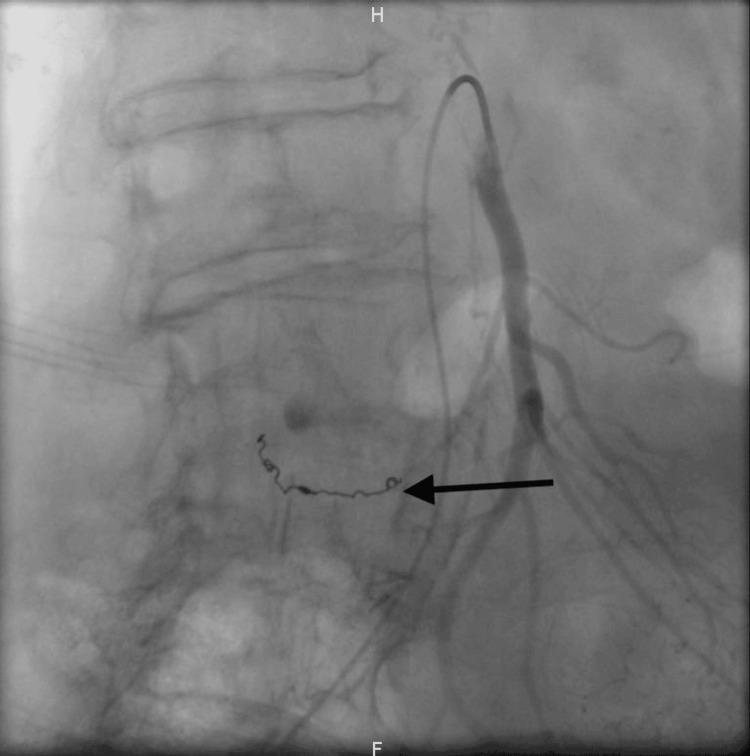
Spontaneous isolated dissection of the superior mesenteric artery (SIDSMA) is a rare condition, particularly when complicated by hemorrhagic shock. This case report describes the discovery of SIDSMA in an 88-year-old woman through CT angiography. The patient initially presented with acute abdominal pain, nausea, and diarrhea, which later progressed to hemorrhagic shock. After fluid resuscitation, the patient underwent successful endovascular treatment.

摘要

自发性孤立性肠系膜上动脉夹层(SIDSMA)是一种罕见的病症,尤其是当并发失血性休克时。本病例报告描述了通过CT血管造影在一名88岁女性中发现SIDSMA的情况。患者最初表现为急性腹痛、恶心和腹泻,随后进展为失血性休克。经过液体复苏后,患者接受了成功的血管内治疗。

https://cdn.ncbi.nlm.nih.gov/pmc/blobs/1e27/11181243/8666f4f42e72/cureus-0016-00000060543-i01.jpg

文献AI研究员

20分钟写一篇综述,助力文献阅读效率提升50倍。

立即体验

用中文搜PubMed

大模型驱动的PubMed中文搜索引擎

马上搜索

文档翻译

学术文献翻译模型,支持多种主流文档格式。

立即体验