Suppr超能文献

经口暴露于二氧化钛 E171 和氧化锌纳米颗粒会导致大鼠多器官损伤:神经酰胺的作用。

Oral Exposure to Titanium Dioxide E171 and Zinc Oxide Nanoparticles Induces Multi-Organ Damage in Rats: Role of Ceramide.

机构信息

Departamento de Biología Molecular, Instituto Nacional de Cardiología Ignacio Chávez, Mexico City 14080, Mexico.

Departamento de Fisiología, Instituto Nacional de Cardiología Ignacio Chávez, Mexico City 14080, Mexico.

出版信息

Int J Mol Sci. 2024 May 28;25(11):5881. doi: 10.3390/ijms25115881.

Abstract

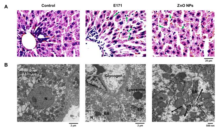
Food-grade titanium dioxide (E171) and zinc oxide nanoparticles (ZnO NPs) are common food additives for human consumption. We examined multi-organ toxicity of both compounds on Wistar rats orally exposed for 90 days. Rats were divided into three groups: (1) control (saline solution), (2) E171-exposed, and (3) ZnO NPs-exposed. Histological examination was performed with hematoxylin-eosin (HE) staining and transmission electron microscopy (TEM). Ceramide (Cer), 3-nitrotyrosine (NT), and lysosome-associated membrane protein 2 (LAMP-2) were detected by immunofluorescence. Relevant histological changes were observed: disorganization, inflammatory cell infiltration, and mitochondrial damage. Increased levels of Cer, NT, and LAMP-2 were observed in the liver, kidney, and brain of E171- and ZnO NPs-exposed rats, and in rat hearts exposed to ZnO NPs. E171 up-regulated Cer and NT levels in the aorta and heart, while ZnO NPs up-regulated them in the aorta. Both NPs increased LAMP-2 expression in the intestine. In conclusion, chronic oral exposure to metallic NPs causes multi-organ injury, reflecting how these food additives pose a threat to human health. Our results suggest how complex interplay between ROS, Cer, LAMP-2, and NT may modulate organ function during NP damage.

摘要

食品级二氧化钛(E171)和氧化锌纳米粒子(ZnO NPs)是常见的可食用食品添加剂。我们研究了这两种化合物经口 90 天暴露对 Wistar 大鼠多器官毒性。大鼠分为三组:(1)对照组(生理盐水),(2)E171 暴露组,(3)ZnO NPs 暴露组。采用苏木精-伊红(HE)染色和透射电子显微镜(TEM)进行组织学检查。用免疫荧光法检测神经酰胺(Cer)、3-硝基酪氨酸(NT)和溶酶体相关膜蛋白 2(LAMP-2)。观察到相关的组织学变化:结构紊乱、炎症细胞浸润和线粒体损伤。在 E171 和 ZnO NPs 暴露大鼠的肝、肾和脑以及暴露于 ZnO NPs 的大鼠心脏中,观察到 Cer、NT 和 LAMP-2 水平升高。E171 在主动脉和心脏中上调 Cer 和 NT 水平,而 ZnO NPs 在主动脉中上调它们。两种纳米颗粒均增加了肠道中 LAMP-2 的表达。总之,慢性口服暴露于金属纳米颗粒会导致多器官损伤,这反映了这些食品添加剂对人类健康构成的威胁。我们的结果表明,ROS、Cer、LAMP-2 和 NT 之间的复杂相互作用如何在 NP 损伤期间调节器官功能。

https://cdn.ncbi.nlm.nih.gov/pmc/blobs/03fa/11172338/d88d89eab328/ijms-25-05881-g001.jpg

文献AI研究员

20分钟写一篇综述,助力文献阅读效率提升50倍。

立即体验

用中文搜PubMed

大模型驱动的PubMed中文搜索引擎

马上搜索

文档翻译

学术文献翻译模型,支持多种主流文档格式。

立即体验