Suppr超能文献

聚乙烯吡咯烷酮修饰的硒纳米粒子的辐射防护作用及其抗氧化机制

Radioprotective effect of polyvinylpyrrolidone modified selenium nanoparticles and its antioxidation mechanism and .

作者信息

Li Wei, Lu Xianzhou, Jiang Liangjun, Wang Xiangjiang

机构信息

School of Nuclear Science and Technology, Hengyang, China.

The Affiliated Nanhua Hospital, University of South China, Hengyang, China.

出版信息

Front Bioeng Biotechnol. 2024 Jun 19;12:1392339. doi: 10.3389/fbioe.2024.1392339. eCollection 2024.

Abstract

OBJECTIVE

Polyvinylpyrrolidone (PVP) is a commonly used biomedical polymer material with good water solubility, biocompatibility, low immunogenicity, and low toxicity. The aim of this study is to investigate the antioxidant mechanism and clinical potential of PVP modified selenium nanoparticles (PVP-Se NPs) as a new radioprotective agent.

METHODS

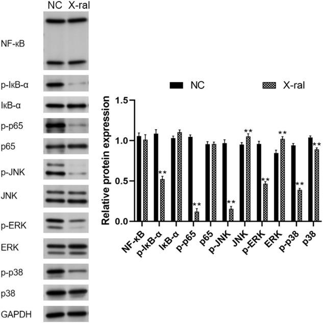
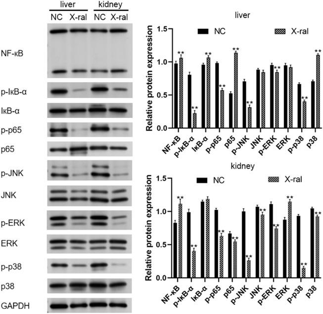
A laser particle size analyzer and transmission electron microscope were used to characterize PVP-Se nanoparticles prepared by chemical reduction. Human umbilical vein endothelial cells (HUVECs) were used to evaluate the radiation protective effects of PVP-Se NPs. SD rats were employed as an model to identify the most effective concentration of PVP-Se NPs and assess their potential radioprotective properties. Western blot (WB) was used to detect the expression of nuclear factor kappa-B (NF-κB) and mitogen-activated protein kinase (MAPK) signaling proteins in human umbilical vein endothelial cells (HUVECs) and rat liver and kidney tissues.

RESULTS

PVP-Se NPs could reduce the oxidative stress injury and inflammatory response caused by X-ray irradiation in HUVECs and rats, and inhibit cell apoptosis by modulating NF-κB and MAPK signaling pathways. PVP-Se NPs could increase HUVECs viability, reduce apoptosis, inhibit inflammatory factors IL-1β, IL-6 and TNF-α, improve the survival rate of rats, promote antioxidant enzyme activities in cells and rats, reduce malondialdehyde concentration in serum, and reduce the expression of inflammatory factors such as IL-1β, IL-6 and TNF-α in cell supernatant and liver and kidney tissues. PVP-Se NPs could significantly reduce the phosphorylation levels of NF-κB and MAPK pathway-associated proteins in HUVECs and rat liver and kidney tissues ( < 0.05).

CONCLUSION

PVP-Se NPs can protect against radiation-induced oxidative damage by modulating NF-kB and MAPK pathways, providing a theoretical basis and experimental data for their use as an effective radioprotective agent.

摘要

目的

聚乙烯吡咯烷酮(PVP)是一种常用的生物医学高分子材料,具有良好的水溶性、生物相容性、低免疫原性和低毒性。本研究旨在探讨PVP修饰的硒纳米颗粒(PVP-Se NPs)作为一种新型辐射防护剂的抗氧化机制及临床应用潜力。

方法

采用激光粒度分析仪和透射电子显微镜对化学还原法制备的PVP-Se纳米颗粒进行表征。用人脐静脉内皮细胞(HUVECs)评估PVP-Se NPs的辐射防护作用。以SD大鼠为模型确定PVP-Se NPs的最有效浓度并评估其潜在的辐射防护特性。采用蛋白质免疫印迹法(WB)检测人脐静脉内皮细胞(HUVECs)及大鼠肝、肾组织中核因子κB(NF-κB)和丝裂原活化蛋白激酶(MAPK)信号蛋白的表达。

结果

PVP-Se NPs可减轻X射线照射对HUVECs和大鼠造成的氧化应激损伤和炎症反应,并通过调节NF-κB和MAPK信号通路抑制细胞凋亡。PVP-Se NPs可提高HUVECs活力,减少细胞凋亡,抑制炎症因子IL-1β、IL-6和TNF-α,提高大鼠存活率,促进细胞和大鼠体内抗氧化酶活性,降低血清丙二醛浓度,减少细胞上清液及肝、肾组织中IL-1β、IL-6和TNF-α等炎症因子的表达。PVP-Se NPs可显著降低HUVECs及大鼠肝、肾组织中NF-κB和MAPK通路相关蛋白的磷酸化水平(<0.05)。

结论

PVP-Se NPs可通过调节NF-κB和MAPK通路预防辐射诱导的氧化损伤,为其作为一种有效的辐射防护剂提供了理论依据和实验数据。

https://cdn.ncbi.nlm.nih.gov/pmc/blobs/40bc/11220155/f0d79c13a653/fbioe-12-1392339-g001.jpg

文献AI研究员

20分钟写一篇综述,助力文献阅读效率提升50倍。

立即体验

用中文搜PubMed

大模型驱动的PubMed中文搜索引擎

马上搜索

文档翻译

学术文献翻译模型,支持多种主流文档格式。

立即体验