Wang Qin, Peng Rui, Qi Haoyue, Xu Ruihan, Liu Wanmin, Meng Fanyan, Du Shiyao, Yu Lixia, Wei Jia, Liu Fangcen, Li Rutian
The Comprehensive Cancer Centre of Nanjing Drum Tower Hospital The Affiliated Hospital of Nanjing University Medical School Nanjing China.
Department of General Surgery The Affiliated Cancer Hospital of Nanjing Medical University & Jiangsu Cancer Hospital & Jiangsu Institute of Cancer Research Jiangsu China.
MedComm (2020). 2024 Jul 7;5(7):e618. doi: 10.1002/mco2.618. eCollection 2024 Jul.
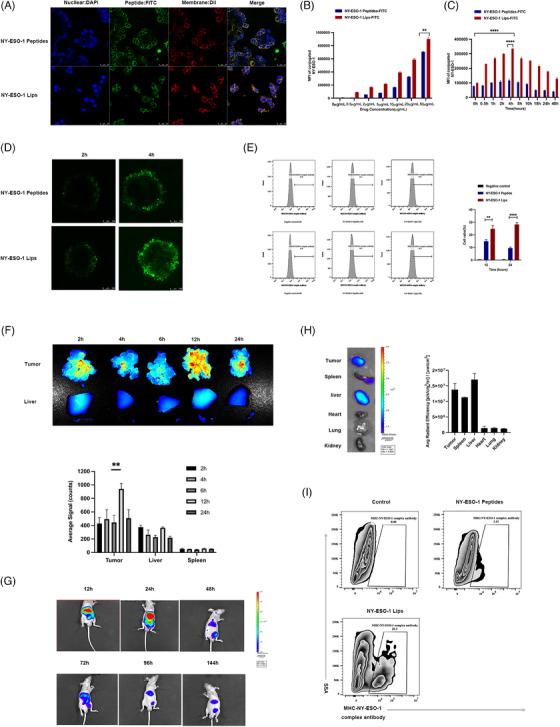
T-cell receptor (TCR) engineered T-cell therapy, unlike chimeric antigen receptor T-cell therapy, relies on the inherent ability of TCRs to detect a wider variety of antigenic epitopes, such as protein fragments found internally or externally on cells. Hence, TCR-T-cell therapy offers broader possibilities for treating solid tumors. However, because of the complicated process of identifying specific antigenic peptides, their clinical application still encounters significant challenges. Thus, we aimed to establish a novel "universal" TCR-T "artificial antigen expression" technique that involves the delivery of the antigen to tumor cells using DSPE-PEG-NY-ESO-1 liposomes (NY-ESO-1 Lips) to express TCR-T-cell-specific recognition targets. In vitro as well as in vivo studies revealed that they could accumulate efficiently in the tumor area and deliver target antigens to activate the tumor-specific cytotoxic T-cell immune response. NY-ESO-1 TCR-T therapy, when used in combination, dramatically curbed tumor progression and extended the longevity of mice. Additionally, PD-1 blockage enhanced the therapeutic effect of the aforementioned therapy. In conclusion, NY-ESO-1 Lips "cursed" tumor cells by enabling antigenic target expression on their surface. This innovative technique presents a groundbreaking approach for the widespread utilization of TCR-T in solid tumor treatment.
与嵌合抗原受体T细胞疗法不同,T细胞受体(TCR)工程化T细胞疗法依赖于TCR检测更广泛种类抗原表位的固有能力,例如在细胞内部或外部发现的蛋白质片段。因此,TCR-T细胞疗法为实体瘤治疗提供了更广泛的可能性。然而,由于识别特定抗原肽的过程复杂,其临床应用仍面临重大挑战。因此,我们旨在建立一种新型的“通用”TCR-T“人工抗原表达”技术,该技术涉及使用DSPE-PEG-NY-ESO-1脂质体(NY-ESO-1 Lips)将抗原递送至肿瘤细胞,以表达TCR-T细胞特异性识别靶点。体外和体内研究表明,它们可以在肿瘤区域有效积累并递送靶抗原,以激活肿瘤特异性细胞毒性T细胞免疫反应。联合使用NY-ESO-1 TCR-T疗法可显著抑制肿瘤进展并延长小鼠寿命。此外,阻断PD-1可增强上述疗法的治疗效果。总之,NY-ESO-1 Lips通过使肿瘤细胞表面表达抗原靶点来“诅咒”肿瘤细胞。这种创新技术为TCR-T在实体瘤治疗中的广泛应用提供了一种开创性方法。