Uyar Emre, Erdinç Meral, Kelle İlker, Erdinç Levent, Şeker Uğur, Nergiz Yusuf
Department of Medical Pharmacology, Uskudar University Faculty of Medicine, Istanbul, Türkiye.
Department of Medical Pharmacology, Dicle University Faculty of Medicine, Diyarbakir, Türkiye.
Eurasian J Med. 2024 Jun;56(2):102-107. doi: 10.5152/eurasianjmed.2024.23219.
Glutamatergic N-methyl-D-aspartate (NMDA) receptors play vital roles in memory formation. Changes in the activity of these receptors influence memory processes. Ketamine is a noncompetitive NMDA receptor antagonist drug with promising mood-altering and pain-reducing effects in low doses. These effects are believed to be related to altered serotonergic transmission.
The present study investigated the involvement of the serotonergic system in low-dose ketamine administrations' effects on memory acquisition, consolidation, and retrieval processes. Sixty-four male BALB/c mice were used in this experiment and separated into 8t groups. Mice were treated subchronically with a selective serotonin reuptake inhibitor, fluoxetine, and a serotonin depletion agent, p-chlorophenylalanine (pCPA). A serotonin antagonist, methiothepin, and ketamine were acutely administered 60 minutes before or after the behavioral tests. A passive avoidance (PA) test measured emotional memory acquisition, consolidation, and retrieval processes. Hippocampi malondialdehyde (MDA) levels were analyzed, and histopathological examinations were performed.
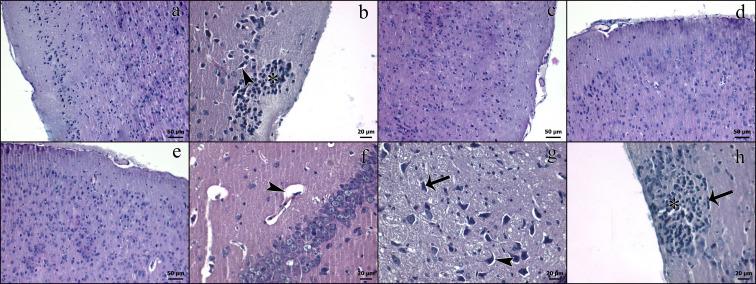
Ketamine alone did not significantly affect memory encoding processes in the PA test, while the ketamine-fluoxetine combination disrupted memory consolidation. Fluoxetine negatively affected the memory acquisition process, which was normalized during the consolidation and retrieval trials. Drug applications did not significantly alter hippocampal MDA levels. In all ketamine-applied groups, histopathologic alterations were evident.
Low-dose ketamine administration induces neurodegeneration, and it also impairs memory functions when combined with fluoxetine, indicating increased serotonergic transmission may be involved in the memory-impairing and neurotoxic effects of ketamine.
谷氨酸能N-甲基-D-天冬氨酸(NMDA)受体在记忆形成中起着至关重要的作用。这些受体活性的变化会影响记忆过程。氯胺酮是一种非竞争性NMDA受体拮抗剂药物,低剂量时具有有前景的情绪改变和止痛作用。这些作用被认为与5-羟色胺能传递改变有关。
本研究调查了5-羟色胺能系统在低剂量氯胺酮给药对记忆获取、巩固和提取过程的影响中的作用。本实验使用了64只雄性BALB/c小鼠,并将其分为8组。小鼠被用一种选择性5-羟色胺再摄取抑制剂氟西汀和一种5-羟色胺耗竭剂对氯苯丙氨酸(pCPA)进行亚慢性治疗。在行为测试前或后60分钟急性给予一种5-羟色胺拮抗剂美噻吨和氯胺酮。通过被动回避(PA)测试来测量情绪记忆的获取、巩固和提取过程。分析海马丙二醛(MDA)水平,并进行组织病理学检查。
单独使用氯胺酮在PA测试中对记忆编码过程没有显著影响,而氯胺酮-氟西汀组合破坏了记忆巩固。氟西汀对记忆获取过程有负面影响,在巩固和提取试验期间恢复正常。药物应用没有显著改变海马MDA水平。在所有应用氯胺酮的组中,组织病理学改变都很明显。
低剂量氯胺酮给药会诱导神经退行性变,并且与氟西汀联合使用时也会损害记忆功能,表明5-羟色胺能传递增加可能参与了氯胺酮的记忆损害和神经毒性作用。