Suppr超能文献

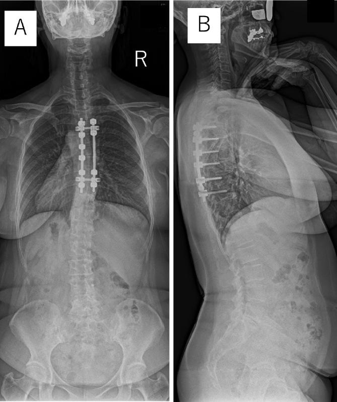
A Case of an Iatrogenic Pseudomeningocele after Thoracic Spinal Cord Tumor Surgery with a Long-Term Follow-Up.

作者信息

Wada Kanichiro, Kumagai Gentaro, Nitobe Youshiro, Aburakawa Kotaro, Asari Toru, Ishibashi Yasuyuki

机构信息

Department of Orthopaedic Surgery, Hirosaki University, Aomori, Japan.

出版信息

Spine Surg Relat Res. 2024 Mar 11;8(4):466-468. doi: 10.22603/ssrr.2023-0242. eCollection 2024 Jul 27.

Abstract
摘要
https://cdn.ncbi.nlm.nih.gov/pmc/blobs/0184/11310532/f0d171df1b42/2432-261X-8-0466-g001.jpg

文献AI研究员

20分钟写一篇综述,助力文献阅读效率提升50倍。

立即体验

用中文搜PubMed

大模型驱动的PubMed中文搜索引擎

马上搜索

文档翻译

学术文献翻译模型,支持多种主流文档格式。

立即体验