Suppr超能文献

冷凝集素病:一种甲状腺恶性肿瘤罕见的副肿瘤表现。

Cold Agglutinin Disease: A Rare Paraneoplastic Manifestation of a Thyroid Malignancy.

作者信息

Pandey Abhishek, Arora Disha, Singh Arun, Meena Lalit Prashant

机构信息

Medicine, Institute of Medical Sciences, Banaras Hindu University, Varanasi, IND.

Department of Endocrinology, Sapthagiri Institute of Medical Sciences & Research Centre, Bengaluru, IND.

出版信息

Cureus. 2024 Aug 27;16(8):e67924. doi: 10.7759/cureus.67924. eCollection 2024 Aug.

Abstract

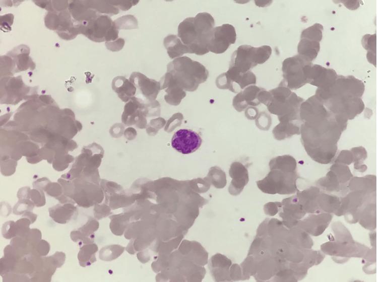
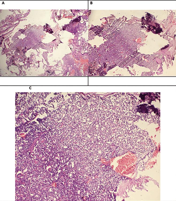
A paraneoplastic syndrome is the presence of signs and symptoms due to cancer, but it is not a consequence of the mass effect of a tumour. It typically occurs in middle-aged to older patients with solid tumors (lung, breast, and ovaries), and hematological malignancies (leukemia and lymphoma). Autoimmune hemolytic anaemia is also a well-defined paraneoplastic phenomenon in lymphoproliferative disorders and rare solid tumour malignancies such as renal cell carcinoma, ovarian dermoid cysts, thymus cell cancer, Kaposi sarcoma, and cancers of the breast, pancreas, thyroid, and prostate. Most of the time, it is warm and is rarely cold type. We present a case of cold-type autoimmune hemolytic anaemia, presented as paraneoplastic manifestations of a thyroid malignancy.

摘要

副肿瘤综合征是指由癌症引起的体征和症状,但并非肿瘤占位效应的结果。它通常发生在患有实体瘤(肺癌、乳腺癌和卵巢癌)以及血液系统恶性肿瘤(白血病和淋巴瘤)的中年至老年患者中。自身免疫性溶血性贫血也是淋巴增殖性疾病以及罕见实体瘤恶性肿瘤(如肾细胞癌、卵巢皮样囊肿、胸腺癌、卡波西肉瘤以及乳腺癌、胰腺癌、甲状腺癌和前列腺癌)中一种明确的副肿瘤现象。大多数情况下,它是温抗体型的,很少是冷抗体型。我们报告一例冷抗体型自身免疫性溶血性贫血病例,该病例表现为甲状腺恶性肿瘤的副肿瘤表现。

https://cdn.ncbi.nlm.nih.gov/pmc/blobs/9d13/11426182/d97531e3cca2/cureus-0016-00000067924-i01.jpg

文献AI研究员

20分钟写一篇综述,助力文献阅读效率提升50倍。

立即体验

用中文搜PubMed

大模型驱动的PubMed中文搜索引擎

马上搜索

文档翻译

学术文献翻译模型,支持多种主流文档格式。

立即体验