Suppr超能文献

一名5岁女性中肠旋转不良伴梗阻的延迟表现:病例报告

Late presentation of midgut malrotation with obstruction in a 5-year-old female: A case report.

作者信息

AlHarshan Tahani, AlWakid Ibrahim, Almeshawi Ibtihal, AlGoraini Yara

机构信息

Pediatric Emergency Department, King Fahad Medical City, Riyadh, Saudi Arabia.

Pediatric Medicine Department, King Fahad Medical City, Riyadh, Saudi Arabia.

出版信息

Radiol Case Rep. 2024 Sep 21;19(12):6108-6111. doi: 10.1016/j.radcr.2024.09.064. eCollection 2024 Dec.

Abstract

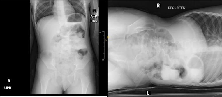
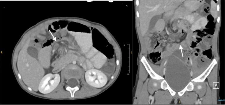
Midgut malrotations are rarely diagnosed beyond infancy. Delays in recognition and diagnosis can result in death. Here, we report the case of a 5-year-old girl who presented with a 1-year history of intermittent abdominal pain and vomiting. An abdominal computed tomography scan with contrast confirmed the diagnosis of midgut malrotation with obstruction; therefore, the Ladd procedure was performed, and the child was discharged uneventfully. Clinicians must maintain a high level of suspicion because this diagnosis is unusual in this age group.

摘要

中肠旋转不良在婴儿期之后很少被诊断出来。识别和诊断的延迟可能导致死亡。在此,我们报告一例5岁女孩的病例,她有1年间歇性腹痛和呕吐的病史。腹部增强计算机断层扫描确诊为中肠旋转不良伴梗阻;因此,实施了Ladd手术,患儿顺利出院。临床医生必须保持高度怀疑,因为这个年龄段出现这种诊断并不常见。

https://cdn.ncbi.nlm.nih.gov/pmc/blobs/32e6/11447301/d7a8deffdc2d/gr1.jpg

文献AI研究员

20分钟写一篇综述,助力文献阅读效率提升50倍。

立即体验

用中文搜PubMed

大模型驱动的PubMed中文搜索引擎

马上搜索

文档翻译

学术文献翻译模型,支持多种主流文档格式。

立即体验