Suppr超能文献

急性结肠梗阻的内镜减压。避免分期手术。

Endoscopic decompression of acute colonic obstruction. Avoiding staged surgery.

作者信息

Lelcuk S, Ratan J, Klausner J M, Skornick Y, Merhav A, Rozin R R

出版信息

Ann Surg. 1986 Mar;203(3):292-4. doi: 10.1097/00000658-198603000-00013.

Abstract

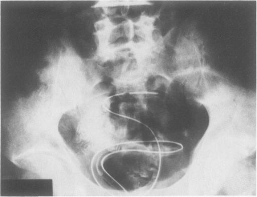
Colostomy is the traditional treatment for acute obstruction of the sigmoid colon. This entails two or three surgical procedures in a high-risk group of patients. Presented is a nonsurgical approach used in three patients with acute colonic obstruction. Decompression of the bowel was achieved with a tube introduced proximal to the obstruction with the aid of a flexible sigmoidoscope. In a fourth patient, in whom the obstruction was next to the splenic flecture, the procedure failed. In all instances where decompression was successful, a one-stage procedure--primary resection and anastomosis--was performed.

摘要

结肠造口术是乙状结肠急性梗阻的传统治疗方法。这需要在高危患者群体中进行两到三次外科手术。本文介绍了一种用于三名急性结肠梗阻患者的非手术方法。借助可弯曲乙状结肠镜,在梗阻近端插入一根管子,实现肠道减压。在第四例患者中,梗阻位于脾曲附近,该手术失败。在所有减压成功的病例中,均进行了一期手术——一期切除吻合术。

https://cdn.ncbi.nlm.nih.gov/pmc/blobs/fa67/1251093/55cf6a9dc9af/annsurg00097-0071-a.jpg

文献AI研究员

20分钟写一篇综述,助力文献阅读效率提升50倍。

立即体验

用中文搜PubMed

大模型驱动的PubMed中文搜索引擎

马上搜索

文档翻译

学术文献翻译模型,支持多种主流文档格式。

立即体验