Suppr超能文献

黑尿症:巴林一例确诊病例的临床谱及文献综述

Alkaptonuria: Clinical Spectrum of a Diagnosed Case in Bahrain With a Literature Review.

作者信息

Alsahlawi Zahra, Salman Layla I, Alaradi Amina M, Hamada Fatema, Alsahlawi Huda S, Ali Zahra M

机构信息

Pediatrics, Salmaniya Medical Complex, Manama, BHR.

Pediatrics, Arabian Gulf University, Manama, BHR.

出版信息

Cureus. 2025 Jan 9;17(1):e77174. doi: 10.7759/cureus.77174. eCollection 2025 Jan.

Abstract

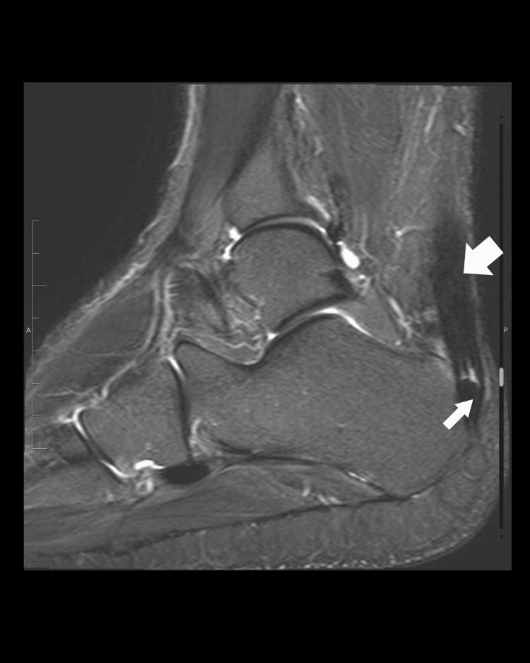
Alkaptonuria (AKU) is a rare metabolic condition caused by mutations within a gene coding for homogentisate 1,2 dioxygenase enzyme involved in the tyrosine catabolism pathway. This mutation will result in the accumulation of homogentisic acid (HGA) in the body. AKU is a multi-systemic slowly progressing disease. The onset of its clinical presentation may vary based on the extensive disposition of the HGA. Initially, it might be asymptomatic, and symptoms usually appear in the second or third decades due to the formation of HGA, melanin compounds that accumulate in the cartilage leading to ochronosis. Furthermore, by the fourth or fifth decade, ochronotic arthropathy occurs, along with other extra-articular complications such as cardiovascular manifestations (e.g., valvular heart disease), renal and prostatic stones, and hypothyroidism. Management of this condition is mainly symptomatic, focusing on the treatment of its complications. Recently, the use of nitisinone (NTBC) has shown stabilization of disease manifestations. In this report, we present in detail the first AKU-diagnosed patient, including the clinical presentations, radiological findings, genetic results, and clinical outcomes, from the main tertiary hospital in Bahrain. Moreover, we conducted a thorough literature review on this rare condition.

摘要

黑尿症(AKU)是一种罕见的代谢性疾病,由参与酪氨酸分解代谢途径的尿黑酸1,2双加氧酶基因发生突变引起。这种突变会导致尿黑酸(HGA)在体内蓄积。AKU是一种多系统缓慢进展的疾病。其临床表现的发作可能因HGA的广泛分布而有所不同。最初,它可能无症状,症状通常在第二或第三个十年出现,这是由于HGA形成了黑色素化合物,这些化合物在软骨中蓄积导致褐黄病。此外,到第四或第五个十年,会出现褐黄病性关节病,以及其他关节外并发症,如心血管表现(如瓣膜性心脏病)、肾和前列腺结石以及甲状腺功能减退。这种疾病的治疗主要是对症治疗,重点是治疗其并发症。最近,使用尼替西农(NTBC)已显示出疾病表现得到稳定。在本报告中,我们详细介绍了巴林主要三级医院诊断出的首例AKU患者,包括临床表现、影像学检查结果、基因检测结果和临床结局。此外,我们对这种罕见疾病进行了全面的文献综述。

https://cdn.ncbi.nlm.nih.gov/pmc/blobs/e16c/11806360/af9f5745a2e3/cureus-0017-00000077174-i01.jpg

相似文献

1
Alkaptonuria: Clinical Spectrum of a Diagnosed Case in Bahrain With a Literature Review.
Cureus. 2025 Jan 9;17(1):e77174. doi: 10.7759/cureus.77174. eCollection 2025 Jan.
2
Ochronotic osteoarthropathy in a mouse model of alkaptonuria, and its inhibition by nitisinone.
Ann Rheum Dis. 2014 Jan;73(1):284-9. doi: 10.1136/annrheumdis-2012-202878. Epub 2013 Mar 19.
3
Alkaptonuria: a very rare metabolic disorder.
Indian J Biochem Biophys. 2013 Oct;50(5):339-44.
4
Recent advances in management of alkaptonuria (invited review; best practice article).
J Clin Pathol. 2013 May;66(5):367-73. doi: 10.1136/jclinpath-2012-200877. Epub 2013 Mar 13.
5
Homogentisic acid induces morphological and mechanical aberration of ochronotic cartilage in alkaptonuria.
J Cell Physiol. 2019 May;234(5):6696-6708. doi: 10.1002/jcp.27416. Epub 2018 Oct 20.
6
Natural history of alkaptonuria revisited: analyses based on scoring systems.
J Inherit Metab Dis. 2011 Dec;34(6):1141-51. doi: 10.1007/s10545-011-9374-9. Epub 2011 Jul 12.
7
Alkaptonuria.
Rare Dis. 2013 Dec 18;1:e27475. doi: 10.4161/rdis.27475. eCollection 2013.
8
Homogentisic acid induces autophagy alterations leading to chondroptosis in human chondrocytes: Implications in Alkaptonuria.
Arch Biochem Biophys. 2022 Mar 15;717:109137. doi: 10.1016/j.abb.2022.109137. Epub 2022 Jan 25.
9
Nutritional interventions for patients with alkaptonuria: A minireview.
Endocr Regul. 2023 Mar 26;57(1):61-67. doi: 10.2478/enr-2023-0008. Print 2023 Jan 1.
10
Nitisinone Arrests but Does Not Reverse Ochronosis in Alkaptonuric Mice.
JIMD Rep. 2015;24:45-50. doi: 10.1007/8904_2015_437. Epub 2015 May 5.

本文引用的文献

1
Homogentisate 1,2-dioxygenase (HGD) gene variants in young Egyptian patients with alkaptonuria.
Sci Rep. 2023 Sep 1;13(1):14374. doi: 10.1038/s41598-023-41200-7.
2
Case report: Thoracolumbar spinal stenosis associated with alkaptonuria.
Front Surg. 2023 Jan 6;9:1040715. doi: 10.3389/fsurg.2022.1040715. eCollection 2022.
3
Analysis of the Phenotype Differences in Siblings with Alkaptonuria.
Metabolites. 2022 Oct 19;12(10):990. doi: 10.3390/metabo12100990.
4
Adequacy of nitisinone for the management of alkaptonuria.
Ann Med Surg (Lond). 2022 Aug 7;80:104340. doi: 10.1016/j.amsu.2022.104340. eCollection 2022 Aug.
5
Effects of a protein-restricted diet on body weight and serum tyrosine concentrations in patients with alkaptonuria.
JIMD Rep. 2021 Nov 9;63(1):41-49. doi: 10.1002/jmd2.12255. eCollection 2022 Jan.
6
A novel deep intronic variant strongly associates with Alkaptonuria.
NPJ Genom Med. 2021 Oct 22;6(1):89. doi: 10.1038/s41525-021-00252-2.
7
Urological Aspects in Patients with Alkaptonuria: A Case-Control Study.
Am J Mens Health. 2020 Sep-Oct;14(5):1557988320969310. doi: 10.1177/1557988320969310.
10
Alkaptonuria: Current Perspectives.
Appl Clin Genet. 2020 Jan 23;13:37-47. doi: 10.2147/TACG.S186773. eCollection 2020.

文献AI研究员

20分钟写一篇综述,助力文献阅读效率提升50倍。

立即体验

用中文搜PubMed

大模型驱动的PubMed中文搜索引擎

马上搜索

文档翻译

学术文献翻译模型,支持多种主流文档格式。

立即体验