Suppr超能文献

果蝇Dicer-2和Loqs-PD对内源小干扰RNA(endo-siRNA)加工的结构基础

Structural basis of endo-siRNA processing by Drosophila Dicer-2 and Loqs-PD.

作者信息

Cao Na, Wang Jia, Deng Ting, Fan Boming, Su Shichen, Ma Jinbiao, Wang Hong-Wei

机构信息

Ministry of Education Key Laboratory of Protein Sciences, Tsinghua-Peking Joint Center for Life Sciences, Beijing Advanced Innovation Center for Structural Biology, Beijing Frontier Research Center of Biological Structures, State Key Laboratory of Membrane Biology, School of Life Sciences, Tsinghua University, Beijing 100084, China.

State Key Laboratory of Genetic Engineering, Collaborative Innovation Centre of Genetics and Development, Department of Biochemistry and Biophysics, Institute of Plant Biology, School of Life Sciences, Fudan University, Shanghai 200438, China.

出版信息

Nucleic Acids Res. 2025 Feb 8;53(4). doi: 10.1093/nar/gkaf102.

Abstract

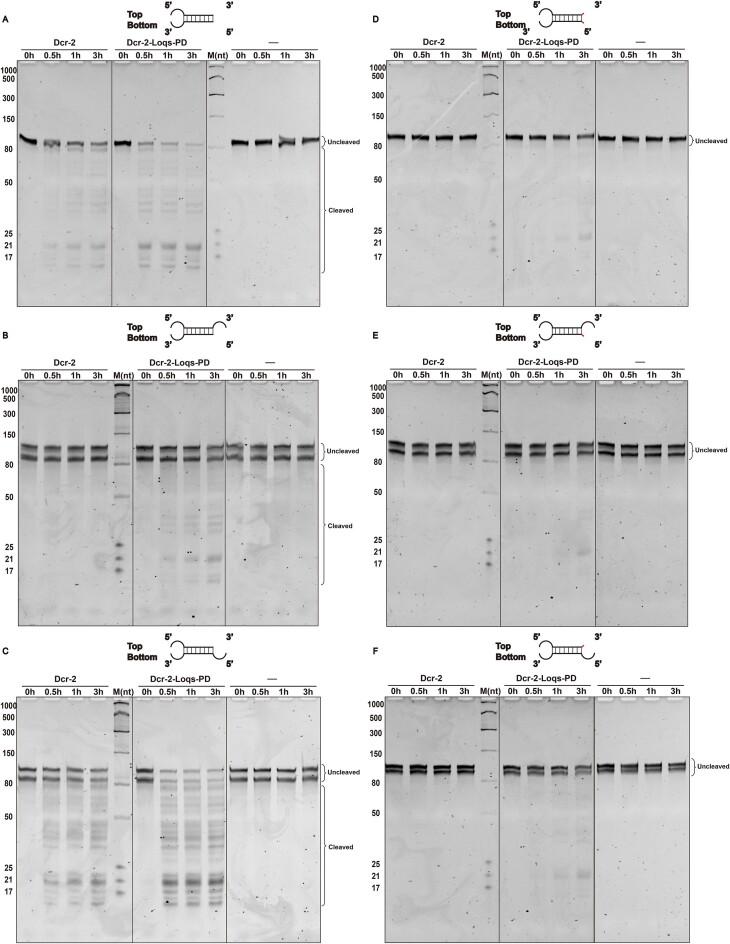
Endogenous small interfering RNAs (endo-siRNAs or esiRNAs) originate from either elongated endogenous transcripts capable of forming complex fold-back structures or from double-stranded regions generated through intermolecular base pairing of convergently transcribed mRNAs. The mechanism of maturation and functionality of esiRNAs exhibit significant variation across diverse species. In Drosophila melanogaster, esiRNAs reside in both somatic and germline cells, where they serve as post-transcriptional modulators for specific target RNAs. Their maturation process critically relies on Dicer-2 (Dcr-2), with the assistance of its cofactor Loqs-PD. In this study, we have successfully elucidated the cryo-EM structures of Dcr-2/Loqs-PD complex bound to esiRNA precursors (pre-esiRNAs) in various states. Our structural and biochemical results reveal that ATP is essential for the cleavage of esiRNAs by the Dcr-2/Loqs-PD complex, a process analogous to the cleavage of double-stranded RNA (dsRNA). When Loqs-PD is present, pre-esiRNAs are preferentially loaded onto the Helicase domain of Dcr-2. Moreover, as the Helicase domain exhibits a preference for binding to the rigid end of double-stranded RNA, Dcr-2 tends to cleave pre-esiRNA from the small closed loop end, rather than the loose and flexible open end.

摘要

内源性小干扰RNA(endo-siRNAs或esiRNAs)来源于能够形成复杂回折结构的延长的内源性转录本,或来源于通过反向转录的mRNA分子间碱基配对产生的双链区域。esiRNAs的成熟机制和功能在不同物种间存在显著差异。在黑腹果蝇中,esiRNAs存在于体细胞和生殖细胞中,在那里它们作为特定靶RNA的转录后调节剂。它们的成熟过程严重依赖于Dicer-2(Dcr-2),并在其辅因子Loqs-PD的协助下进行。在本研究中,我们成功解析了处于不同状态的与esiRNA前体(pre-esiRNAs)结合的Dcr-2/Loqs-PD复合物的冷冻电镜结构。我们的结构和生化结果表明,ATP对于Dcr-2/Loqs-PD复合物切割esiRNAs至关重要,这一过程类似于双链RNA(dsRNA)的切割。当Loqs-PD存在时,pre-esiRNAs优先加载到Dcr-2的解旋酶结构域上。此外,由于解旋酶结构域对双链RNA的刚性末端具有结合偏好,Dcr-2倾向于从小的闭环末端而非松散灵活的开放末端切割pre-esiRNA。

https://cdn.ncbi.nlm.nih.gov/pmc/blobs/89e1/11840564/06b49fe1dc78/gkaf102figgra1.jpg

文献AI研究员

20分钟写一篇综述,助力文献阅读效率提升50倍。

立即体验

用中文搜PubMed

大模型驱动的PubMed中文搜索引擎

马上搜索

文档翻译

学术文献翻译模型,支持多种主流文档格式。

立即体验