Suppr超能文献

重症新型冠状病毒肺炎、克鲁斯念珠菌机会性感染以及合并肺动脉高压的急性呼吸窘迫综合征的波生坦治疗:一例报告

Severe COVID-19 Pneumonia, Opportunistic Candida krusei Infection, and Acute Respiratory Distress Syndrome with Pulmonary Arterial Hypertension Treated with Bosentan: A Case Report.

作者信息

Briones-Claudett Killen H, Briones-Zamora Killen H, Benites Solis Jaime Galo, Huilcapi Borja Doménica I, Arteaga Ocaña Karelys Nicole, Touriz Bonifaz Maria Antonieta, Barberan-Torres Pedro, Grunauer Michelle

机构信息

Faculty of Medical, Health and Life Sciences, Universidad Internacional del Ecuador, UIDE, Quito, Ecuador.

Faculty of Medical Sciences, Universidad Espíritu Santo, Samborondón, Ecuador.

出版信息

Am J Case Rep. 2025 Feb 24;26:e946400. doi: 10.12659/AJCR.946400.

Abstract

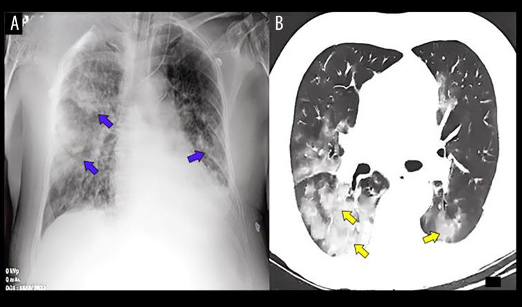
BACKGROUND Despite global vaccination efforts, COVID-19 still necessitates effective treatments for severe cases that can quickly escalate to life-threatening complications, such as acute respiratory distress syndrome (ARDS) and secondary pulmonary arterial hypertension (PAH). Here, we present the clinical journey of a 73-year-old Ecuadorian man who developed severe COVID-19 pneumonia complicated by an opportunistic Candida krusei infection and ARDS, subsequently progressing to long-term PAH, managed with bosentan, an endothelin 1 (ET-1) antagonist. CASE REPORT The patient, vaccinated with 2 doses of CoronaVac, experienced severe COVID-19 complications, including ARDS and secondary PAH, further complicated by a C. krusei infection. Despite prompt mechanical ventilation and intensive care, his condition rapidly deteriorated. Clinical evaluation confirmed COVID-19-associated ARDS, secondary PAH, and C. krusei infection through bronchoalveolar lavage. The therapeutic approach combined bosentan (125 mg twice daily) with dual antifungal therapy, leading to significant stabilization and eventual discharge. Post-discharge assessments showed persistent cardiopulmonary dysfunction, consistent with post-COVID-19 syndrome. CONCLUSIONS This case highlights critical COVID-19 complications in a vaccinated patient. While vaccination may provide substantial protection, COVID-19 pneumonia treated with corticosteroids can increase the risk of opportunistic infections like C. krusei, and ARDS can lead to pulmonary fibrosis and PAH. This case underscores the need for research on therapeutic strategies for complex COVID-19 cases and emphasizes comprehensive, personalized care for managing COVID-19 complications and sequelae.

摘要

背景

尽管全球都在努力开展疫苗接种工作,但对于可能迅速升级为危及生命的并发症(如急性呼吸窘迫综合征(ARDS)和继发性肺动脉高压(PAH))的新冠肺炎重症病例,仍需要有效的治疗方法。在此,我们介绍一名73岁厄瓜多尔男子的临床病程,他患上了严重的新冠肺炎肺炎,并伴有机会性克柔念珠菌感染和ARDS,随后发展为长期PAH,使用内皮素1(ET-1)拮抗剂波生坦进行治疗。

病例报告

该患者接种了2剂科兴疫苗,出现了严重的新冠肺炎并发症,包括ARDS和继发性PAH,并因克柔念珠菌感染而进一步复杂化。尽管迅速进行了机械通气和重症监护,但其病情仍迅速恶化。通过支气管肺泡灌洗进行的临床评估证实了新冠肺炎相关的ARDS、继发性PAH和克柔念珠菌感染。治疗方法是将波生坦(每日两次,每次125毫克)与双重抗真菌治疗相结合,从而实现了显著的病情稳定并最终出院。出院后的评估显示存在持续的心肺功能障碍,这与新冠肺炎后综合征相符。

结论

本病例突出了一名接种疫苗患者出现的严重新冠肺炎并发症。虽然疫苗接种可能提供实质性保护,但使用皮质类固醇治疗的新冠肺炎肺炎会增加克柔念珠菌等机会性感染的风险,而ARDS可导致肺纤维化和PAH。本病例强调了对复杂新冠肺炎病例治疗策略进行研究的必要性,并强调了对新冠肺炎并发症和后遗症进行全面、个性化护理的重要性。

https://cdn.ncbi.nlm.nih.gov/pmc/blobs/e52f/11868965/7bd881037948/amjcaserep-26-e946400-g001.jpg

文献AI研究员

20分钟写一篇综述,助力文献阅读效率提升50倍。

立即体验

用中文搜PubMed

大模型驱动的PubMed中文搜索引擎

马上搜索

文档翻译

学术文献翻译模型,支持多种主流文档格式。

立即体验