Suppr超能文献

miR-205-5p调节糖尿病小鼠和ARPE-19细胞中高糖诱导的VEGFA水平。

miR-205-5p Modulates High Glucose-Induced VEGFA Levels in Diabetic Mice and ARPE-19 Cells.

作者信息

Ybarra María, Martínez-Santos Miriam, Oltra Maria, Muriach María, Pires Maria E, Ceresoni Chiara, Sancho-Pelluz Javier, Barcia Jorge M

机构信息

Escuela de Doctorado Universidad Católica de Valencia San Vicente Mártir, 46001 Valencia, Spain.

Departamento de Anatomía y Fisiología, Facultad de Medicina y Ciencias de la Salud, Universidad Católica de Valencia San Vicente Mártir, 46001 Valencia, Spain.

出版信息

Antioxidants (Basel). 2025 Feb 14;14(2):218. doi: 10.3390/antiox14020218.

Abstract

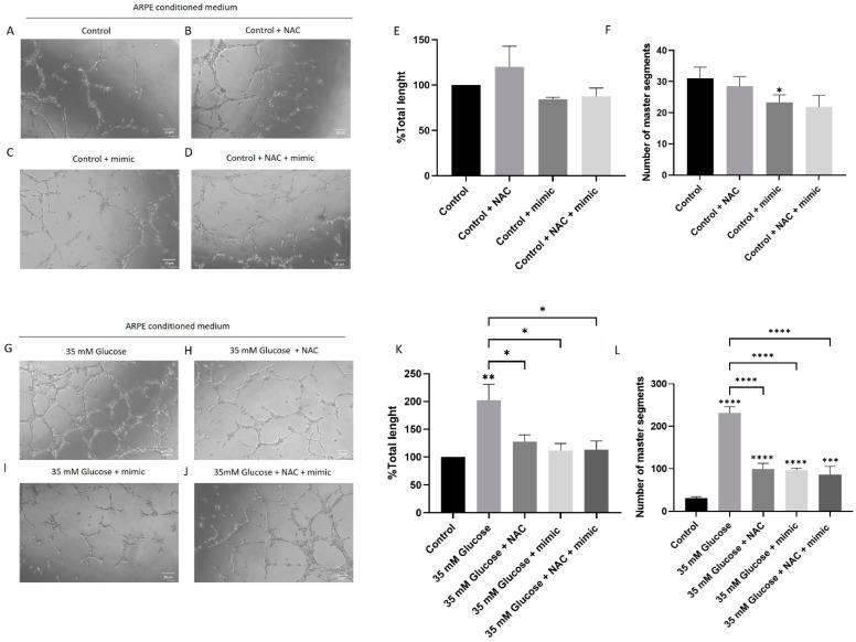
High glucose levels may cause vascular alterations in patients with diabetes, which can lead to complications such as diabetic retinopathy-an abnormal growth of retinal blood vessels. The micro-RNA miR-205-5p is known to regulate angiogenesis by modulating the expression of the vascular endothelial growth factor (VEGFA) in different systems. This study investigates the role of miR-205-5p in controlling VEGFA expression both in vitro and in the eye under hyperglycemic conditions. An alloxan-induced diabetic mouse model and retinal pigment epithelium human cell line (ARPE-19) were exposed to high glucose and treated with an ectopic miR-205-5p mimic. VEGFA mRNA and protein levels were assessed using qRT-PCR, Western blot, and immunocytochemistry. Additionally, human umbilical vein endothelial cells (HUVECs) were employed to evaluate angiogenesis. Our results show that high glucose significantly reduced miR-205-5p levels while upregulating VEGFA expression in both ARPE-19 cells and diabetic mice. The ectopic administration of miR-205-5p (via transfection or intravitreal injection) restored VEGFA levels and inhibited angiogenesis in HUVEC cultures. Based on these preliminary data, we suggest a potential therapeutic strategy against VEGFA involving miR-205-5p in proliferative eye-related vascular disorders.

摘要

高血糖水平可能导致糖尿病患者血管改变,进而引发诸如糖尿病视网膜病变(一种视网膜血管异常生长)等并发症。已知微小RNA miR-205-5p可通过调节不同系统中血管内皮生长因子(VEGFA)的表达来调控血管生成。本研究调查了miR-205-5p在高血糖条件下体外及眼部控制VEGFA表达中的作用。将四氧嘧啶诱导的糖尿病小鼠模型和视网膜色素上皮人细胞系(ARPE-19)暴露于高血糖环境,并使用异位miR-205-5p模拟物进行处理。使用qRT-PCR、蛋白质印迹法和免疫细胞化学法评估VEGFA mRNA和蛋白质水平。此外,用人脐静脉内皮细胞(HUVECs)评估血管生成。我们的结果表明,高血糖显著降低了ARPE-19细胞和糖尿病小鼠中miR-205-5p水平,同时上调了VEGFA表达。异位给予miR-205-5p(通过转染或玻璃体内注射)可恢复VEGFA水平并抑制HUVEC培养物中的血管生成。基于这些初步数据,我们提出了一种针对增殖性眼部相关血管疾病中涉及miR-205-5p的VEGFA的潜在治疗策略。

https://cdn.ncbi.nlm.nih.gov/pmc/blobs/05ff/11851844/073a69d91606/antioxidants-14-00218-g001.jpg

文献AI研究员

20分钟写一篇综述,助力文献阅读效率提升50倍。

立即体验

用中文搜PubMed

大模型驱动的PubMed中文搜索引擎

马上搜索

文档翻译

学术文献翻译模型,支持多种主流文档格式。

立即体验