Sharif Sara, Shah Haider, Agarwal Paras
Ophthalmology, University of Liverpool, Liverpool, GBR.
Opthalmology, Arrowe Park Hospital, Birkenhead, GBR.
Cureus. 2025 Jan 26;17(1):e77995. doi: 10.7759/cureus.77995. eCollection 2025 Jan.
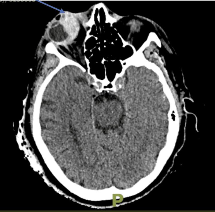
This report highlights a rare instance of spontaneous medial rectus haematoma in a 77-year-old female, attributed to warfarin use, underscoring its clinical significance. The patient initially presented with acute right eye pain, peri-orbital swelling, and reduced vision. Examination revealed a tense globe and elevated intraocular pressure (IOP), prompting emergency lateral canthotomy and inferior cantholysis. However, despite the initial procedure, her IOP remained elevated, indicating direct pressure from the haematoma on the globe and necessitating additional upper and lower eyelid lateral cantholysis. Medical management was also initiated to control the IOP. Over four months, the patient's visual acuity improved significantly, although a relative afferent pupillary defect persisted. This case underscores the rarity of spontaneous medial rectus haematoma in anticoagulated patients and highlights the critical importance of vigilant international normalized ratio (INR) monitoring and timely intervention to reduce morbidity and the risk of vision loss.
本报告重点介绍了一名77岁女性罕见的自发性内直肌血肿病例,该病例归因于华法林的使用,强调了其临床意义。患者最初表现为右眼急性疼痛、眶周肿胀和视力下降。检查发现眼球紧张和眼压升高,促使进行紧急外眦切开术和下眦松解术。然而,尽管进行了初始手术,她的眼压仍然升高,表明血肿对眼球有直接压迫,需要额外进行上下眼睑外眦松解术。还开始了药物治疗以控制眼压。在四个多月的时间里,患者的视力显著改善,尽管相对传入性瞳孔障碍仍然存在。该病例强调了抗凝患者中自发性内直肌血肿的罕见性,并突出了密切监测国际标准化比值(INR)以及及时干预以降低发病率和视力丧失风险的至关重要性。