• 文献检索
  • 文档翻译
  • 深度研究
  • 学术资讯
  • Suppr Zotero 插件Zotero 插件
  • 邀请有礼
  • 套餐&价格
  • 历史记录
应用&插件
Suppr Zotero 插件Zotero 插件浏览器插件Mac 客户端Windows 客户端微信小程序
定价
高级版会员购买积分包购买API积分包
服务
文献检索文档翻译深度研究API 文档MCP 服务
关于我们
关于 Suppr公司介绍联系我们用户协议隐私条款
关注我们

Suppr 超能文献

核心技术专利:CN118964589B侵权必究
粤ICP备2023148730 号-1Suppr @ 2026

文献检索

告别复杂PubMed语法,用中文像聊天一样搜索,搜遍4000万医学文献。AI智能推荐,让科研检索更轻松。

立即免费搜索

文件翻译

保留排版,准确专业,支持PDF/Word/PPT等文件格式,支持 12+语言互译。

免费翻译文档

深度研究

AI帮你快速写综述,25分钟生成高质量综述,智能提取关键信息,辅助科研写作。

立即免费体验

不同天然饵料对紫海胆性腺发育、卵子质量及肠道微生物群的影响()。

Effects of Various Natural Diets on Gonad Development, Roe Quality, and Intestinal Microbiota of the Purple Sea Urchin ().

作者信息

Wang Zhiyuan, Wang Guodong, Ge Hui, Zhang Lili

机构信息

State Key Laboratory of Mariculture Breeding, Fisheries College of Jimei University, Xiamen 361021, China.

Key Laboratory of Healthy Mariculture for the East China Sea, Ministry of Agriculture and Rural Affairs, Fisheries College of Jimei University, Xiamen 361021, China.

出版信息

Aquac Nutr. 2025 Feb 28;2025:3196037. doi: 10.1155/anu/3196037. eCollection 2025.

DOI:10.1155/anu/3196037
PMID:40061874
原文链接:https://pmc.ncbi.nlm.nih.gov/articles/PMC11888817/
Abstract

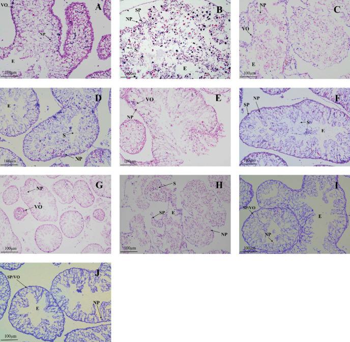
The study analyzed the impact of different diets on the gonadal development of sea urchin . Kelp (), corn (), carrots (), and sweet potatoes () were used to continuously feed adults of for 50 days. Results indicated that sea urchins fed with kelp had the highest weight gain rate ( < 0.05), followed by those fed with sweet potato, no significant difference in weight gain rate was observed between other diets and no feeding groups (  > 0.05). fed with corn had a significantly enhancing GSI (gonadsomatic index) ( < 0.05), followed by those fed kelp, and no significant difference between the other diet groups, but their weight gain rate was higher than that of the no feeding group (  > 0.05). While there was no significant difference in shell diameter and height in any diets (  > 0.05). Sweet potatoes and corn significantly improved the redness (a ) and yellowness (b ) of the gonads ( < 0.05). Kelp group and corn group had excellent performance in amino acid composition, containing higher levels of umami and sweet amino acids than other groups ( < 0.05). Fatty acid analysis showed higher contents of eicosapentaenoic acid (EPA), arachidonic acid (ARA), linolenic acid, and linoleic acid in kelp and corn group. The types of diets significantly affected the microbial diversity of the digestive tract, with kelp enhancing microbial community diversity, and diets of corn and sweet potatoes increasing the abundance of . In conclusion, kelp was an excellent feed for , and corn as a preferred alternative diet not only improved the GSI but also optimized the gonad color and increased the content of amino acids and fatty acids.

摘要

该研究分析了不同饮食对海胆性腺发育的影响。使用海带()、玉米()、胡萝卜()和红薯()连续喂养成年海胆50天。结果表明,投喂海带的海胆增重率最高(<0.05),其次是投喂红薯的海胆,其他饮食组与不投喂组之间的增重率无显著差异(>0.05)。投喂玉米的海胆性腺指数(GSI)显著提高(<0.05),其次是投喂海带的海胆,其他饮食组之间无显著差异,但它们的增重率高于不投喂组(>0.05)。而在任何饮食组中,壳直径和壳高度均无显著差异(>0.05)。红薯和玉米显著改善了性腺的红色度(a*)和黄色度(b*)(<0.05)。海带组和玉米组在氨基酸组成方面表现优异,鲜味和甜味氨基酸含量高于其他组(<0.05)。脂肪酸分析表明,海带组和玉米组中二十碳五烯酸(EPA)、花生四烯酸(ARA)、亚麻酸和亚油酸的含量较高。饮食类型显著影响消化道的微生物多样性,海带可增强微生物群落多样性,玉米和红薯饮食可增加的丰度。总之,海带是海胆的优质饲料,玉米作为首选替代饲料不仅提高了性腺指数,还优化了性腺颜色,增加了氨基酸和脂肪酸含量。

https://cdn.ncbi.nlm.nih.gov/pmc/blobs/7d36/11888817/6083813ef757/ANU2025-3196037.010.jpg
https://cdn.ncbi.nlm.nih.gov/pmc/blobs/7d36/11888817/2b22b2e844a4/ANU2025-3196037.001.jpg
https://cdn.ncbi.nlm.nih.gov/pmc/blobs/7d36/11888817/ce45d10a4039/ANU2025-3196037.002.jpg
https://cdn.ncbi.nlm.nih.gov/pmc/blobs/7d36/11888817/954a712cc444/ANU2025-3196037.003.jpg
https://cdn.ncbi.nlm.nih.gov/pmc/blobs/7d36/11888817/94d68a99b18e/ANU2025-3196037.004.jpg
https://cdn.ncbi.nlm.nih.gov/pmc/blobs/7d36/11888817/858ba2b7d2ea/ANU2025-3196037.005.jpg
https://cdn.ncbi.nlm.nih.gov/pmc/blobs/7d36/11888817/84a24fabb80b/ANU2025-3196037.006.jpg
https://cdn.ncbi.nlm.nih.gov/pmc/blobs/7d36/11888817/81f38e5a6f14/ANU2025-3196037.007.jpg
https://cdn.ncbi.nlm.nih.gov/pmc/blobs/7d36/11888817/e360ba56de93/ANU2025-3196037.008.jpg
https://cdn.ncbi.nlm.nih.gov/pmc/blobs/7d36/11888817/76e987c2d3ac/ANU2025-3196037.009.jpg
https://cdn.ncbi.nlm.nih.gov/pmc/blobs/7d36/11888817/6083813ef757/ANU2025-3196037.010.jpg
https://cdn.ncbi.nlm.nih.gov/pmc/blobs/7d36/11888817/2b22b2e844a4/ANU2025-3196037.001.jpg
https://cdn.ncbi.nlm.nih.gov/pmc/blobs/7d36/11888817/ce45d10a4039/ANU2025-3196037.002.jpg
https://cdn.ncbi.nlm.nih.gov/pmc/blobs/7d36/11888817/954a712cc444/ANU2025-3196037.003.jpg
https://cdn.ncbi.nlm.nih.gov/pmc/blobs/7d36/11888817/94d68a99b18e/ANU2025-3196037.004.jpg
https://cdn.ncbi.nlm.nih.gov/pmc/blobs/7d36/11888817/858ba2b7d2ea/ANU2025-3196037.005.jpg
https://cdn.ncbi.nlm.nih.gov/pmc/blobs/7d36/11888817/84a24fabb80b/ANU2025-3196037.006.jpg
https://cdn.ncbi.nlm.nih.gov/pmc/blobs/7d36/11888817/81f38e5a6f14/ANU2025-3196037.007.jpg
https://cdn.ncbi.nlm.nih.gov/pmc/blobs/7d36/11888817/e360ba56de93/ANU2025-3196037.008.jpg
https://cdn.ncbi.nlm.nih.gov/pmc/blobs/7d36/11888817/76e987c2d3ac/ANU2025-3196037.009.jpg
https://cdn.ncbi.nlm.nih.gov/pmc/blobs/7d36/11888817/6083813ef757/ANU2025-3196037.010.jpg

相似文献

1
Effects of Various Natural Diets on Gonad Development, Roe Quality, and Intestinal Microbiota of the Purple Sea Urchin ().不同天然饵料对紫海胆性腺发育、卵子质量及肠道微生物群的影响()。
Aquac Nutr. 2025 Feb 28;2025:3196037. doi: 10.1155/anu/3196037. eCollection 2025.
2
Effects of Supplementary Kelp Feeding on the Growth, Gonad Yield, and Nutritional and Organoleptic Quality of Subadult Sea Urchin () with Soya Lecithin Intake History.补充海带喂养对有大豆卵磷脂摄入史的亚成体海胆()生长、性腺产量及营养和感官品质的影响。
Aquac Nutr. 2023 Nov 16;2023:8894923. doi: 10.1155/2023/8894923. eCollection 2023.
3
Effect of diets supplemented with different sources of astaxanthin on the gonad of the sea urchin Anthocidaris crassispina.不同来源虾青素对糙刺梅花海胆性腺的影响。
Nutrients. 2012 Aug;4(8):922-34. doi: 10.3390/nu4080922. Epub 2012 Aug 13.
4
Reproduction and population structure of the sea urchin Heliocidaris crassispina in its newly extended range: The Oga Peninsula in the Sea of Japan, northeastern Japan.海胆 Heliocidaris crassispina 在其新扩展分布区域内的繁殖和种群结构:日本东北部日本海的大间半岛。
PLoS One. 2019 Jan 2;14(1):e0209858. doi: 10.1371/journal.pone.0209858. eCollection 2019.
5
Effects of five southern California macroalgal diets on consumption, growth, and gonad weight, in the purple sea urchin Strongylocentrotus purpuratus.五种南加州大型海藻饲料对紫色海胆(Strongylocentrotus purpuratus)摄食、生长和性腺重量的影响。
PeerJ. 2015 Jan 8;3:e719. doi: 10.7717/peerj.719. eCollection 2015.
6
Odor-active compounds from the gonads of Mesocentrotus nudus sea urchins fed Saccharina japonica kelp.投喂裙带菜的光棘球海胆性腺中的气味活性化合物
PLoS One. 2020 Apr 16;15(4):e0231673. doi: 10.1371/journal.pone.0231673. eCollection 2020.
7
Effect of inclusion of distillers grains with solubles and crude glycerin in beef cattle finishing diets on ruminal fermentation and fatty acid biohydrogenation.含可溶物和粗甘油的酿酒糟及糟粕对肉牛育肥日粮瘤胃发酵及脂肪酸生物氢化的影响。
J Anim Sci. 2023 Jan 3;101. doi: 10.1093/jas/skac347.
8
Performance response of increasing the standardized ileal digestible tryptophan:lysine ratio in diets containing 40% dried distiller grains with solubles.在含有 40%干酒糟及其可溶物的日粮中提高标准化回肠可消化色氨酸:赖氨酸比例的性能反应。
J Anim Sci. 2023 Jan 3;101. doi: 10.1093/jas/skad264.
9
Evaluation of digestively resistant or soluble fibers, short- and medium-chain fatty acids, trace minerals, and antibiotics in nonchallenged nursery pigs on performance, digestibility, and intestinal integrity.评价未受挑战的保育猪中消化抗性或可溶性纤维、短链和中链脂肪酸、痕量矿物质和抗生素对生产性能、消化率和肠道完整性的影响。
J Anim Sci. 2022 Nov 1;100(11). doi: 10.1093/jas/skac282.
10
Fatty acid profiles during gametogenesis in sea urchin (Paracentrotus lividus): effects of dietary inputs on gonad, egg and embryo profiles.在海胆(Paracentrotus lividus)的配子发生过程中脂肪酸谱:饮食输入对性腺、卵子和胚胎谱的影响。
Comp Biochem Physiol A Mol Integr Physiol. 2013 Feb;164(2):376-82. doi: 10.1016/j.cbpa.2012.11.010. Epub 2012 Nov 22.

本文引用的文献

1
Quantification and Distribution of Omega-3 Fatty Acids in South Pacific Fish and Shellfish Species.南太平洋鱼类和贝类中ω-3脂肪酸的定量与分布
Foods. 2020 Feb 21;9(2):233. doi: 10.3390/foods9020233.
2
Modification of nutritional values and flavor qualities of muscle of swimming crab (Portunus trituberculatus): Application of a dietary lipid nutrition strategy.游泳蟹(三疣梭子蟹)肌肉营养值和风味品质的改良:一种膳食脂质营养策略的应用。
Food Chem. 2020 Mar 5;308:125607. doi: 10.1016/j.foodchem.2019.125607. Epub 2019 Oct 15.
3
GC-MS Analysis of Medium- and Long-Chain Fatty Acids in Blood Samples.
血液样本中中长链脂肪酸的气相色谱-质谱联用分析
Methods Mol Biol. 2018;1730:257-265. doi: 10.1007/978-1-4939-7592-1_18.
4
Gut microbiota functions: metabolism of nutrients and other food components.肠道微生物组功能:营养物质和其他食物成分的代谢。
Eur J Nutr. 2018 Feb;57(1):1-24. doi: 10.1007/s00394-017-1445-8. Epub 2017 Apr 9.
5
The gut microbiome of the sea urchin, Lytechinus variegatus, from its natural habitat demonstrates selective attributes of microbial taxa and predictive metabolic profiles.来自自然栖息地的多斑刺冠海胆的肠道微生物群显示出微生物分类群的选择性特征和预测性代谢谱。
FEMS Microbiol Ecol. 2016 Sep;92(9). doi: 10.1093/femsec/fiw146. Epub 2016 Jul 1.
6
An abundance of Epsilonproteobacteria revealed in the gut microbiome of the laboratory cultured sea urchin, Lytechinus variegatus.在实验室养殖的海胆(Lytechinus variegatus)的肠道微生物群中发现了大量的ε-变形菌纲细菌。
Front Microbiol. 2015 Oct 13;6:1047. doi: 10.3389/fmicb.2015.01047. eCollection 2015.
7
Inter-individual differences in the gene content of human gut bacterial species.人类肠道细菌物种基因含量的个体间差异。
Genome Biol. 2015 Apr 21;16(1):82. doi: 10.1186/s13059-015-0646-9.
8
Microbial structures and community functions of anaerobic sludge in six full-scale wastewater treatment plants as revealed by 454 high-throughput pyrosequencing.采用 454 高通量焦磷酸测序技术揭示 6 座大型污水处理厂厌氧污泥中的微生物结构和群落功能。
Bioresour Technol. 2015 Jun;186:163-172. doi: 10.1016/j.biortech.2015.03.072. Epub 2015 Mar 19.
9
Extensive strain-level copy-number variation across human gut microbiome species.人类肠道微生物群物种间广泛的菌株水平拷贝数变异。
Cell. 2015 Feb 12;160(4):583-594. doi: 10.1016/j.cell.2014.12.038. Epub 2015 Jan 29.
10
Traditional Chinese medicine--sea urchin.传统中药——海胆。
Mini Rev Med Chem. 2014;14(6):537-42. doi: 10.2174/1389557514666140529224147.