Suppr超能文献

原发性胃癌和肝癌同步发生:一例报告。

Synchronous occurrence of primary gastric and liver cancer: A case report.

作者信息

Zhang Xiaomin, Han Xiaoying

机构信息

Department of Gastroenterology, Xiangyang Central Hospital, Affiliated Hospital of Hubei University of Arts and Science, Xiangyang, Hubei 441021, P.R. China.

出版信息

Oncol Lett. 2025 Mar 6;29(5):222. doi: 10.3892/ol.2025.14968. eCollection 2025 May.

Abstract

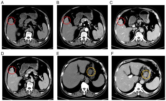
Primary gastric and liver cancers rank among the most prevalent malignant tumors of the digestive tract. Despite their serious implications for health, the global age-standardized incidence remains relatively low, at ~11.1 per 100,000 for primary gastric cancer and ~8.657 per 100,000 for primary liver cancer. Although the occurrence of multiple primary malignancies is not uncommon in clinical practice, reports of synchronous primary gastric and liver cancer are exceedingly rare. The present study describes a case involving a 60-year-old man diagnosed with synchronous primary gastric and liver cancer. The patient underwent endoscopic submucosal dissection for lesions located at the gastric angle, followed by laparoscopic resection of a small liver tumor. Pathological examinations revealed moderately differentiated intramucosal adenocarcinoma at the gastric angle and well-differentiated hepatocellular carcinoma in the liver. Following a 3-year follow-up, the patient remained in good health, with no evidence of disease recurrence. In conclusion, clinicians should exercise caution in patients presenting with distinct lesions to ensure that subtle malignancies are not overlooked, particularly in those with confirmed cancer. For patients with multiple cancers, it is crucial to ascertain whether the malignancies are primary, as this determination influences treatment strategies.

摘要

原发性胃癌和肝癌是消化道最常见的恶性肿瘤之一。尽管它们对健康有严重影响,但全球年龄标准化发病率仍然相对较低,原发性胃癌约为每10万人11.1例,原发性肝癌约为每10万人8.657例。虽然在临床实践中多重原发性恶性肿瘤并不罕见,但同步性原发性胃癌和肝癌的报道极为罕见。本研究描述了一例涉及一名60岁男性被诊断为同步性原发性胃癌和肝癌的病例。患者接受了胃角病变的内镜黏膜下剥离术,随后进行了小肝癌的腹腔镜切除术。病理检查显示胃角为中分化黏膜内腺癌,肝脏为高分化肝细胞癌。经过3年随访,患者健康状况良好,无疾病复发迹象。总之,临床医生对有明显病变的患者应谨慎,以确保不遗漏细微的恶性肿瘤,特别是在已确诊癌症的患者中。对于患有多种癌症的患者,确定恶性肿瘤是否为原发性至关重要,因为这一判定会影响治疗策略。

https://cdn.ncbi.nlm.nih.gov/pmc/blobs/e2a8/11916645/517f87b30ea3/ol-29-05-14968-g00.jpg

文献AI研究员

20分钟写一篇综述,助力文献阅读效率提升50倍。

立即体验

用中文搜PubMed

大模型驱动的PubMed中文搜索引擎

马上搜索

文档翻译

学术文献翻译模型,支持多种主流文档格式。

立即体验