• 文献检索
  • 文档翻译
  • 深度研究
  • 学术资讯
  • Suppr Zotero 插件Zotero 插件
  • 邀请有礼
  • 套餐&价格
  • 历史记录
应用&插件
Suppr Zotero 插件Zotero 插件浏览器插件Mac 客户端Windows 客户端微信小程序
定价
高级版会员购买积分包购买API积分包
服务
文献检索文档翻译深度研究API 文档MCP 服务
关于我们
关于 Suppr公司介绍联系我们用户协议隐私条款
关注我们

Suppr 超能文献

核心技术专利:CN118964589B侵权必究
粤ICP备2023148730 号-1Suppr @ 2026

文献检索

告别复杂PubMed语法,用中文像聊天一样搜索,搜遍4000万医学文献。AI智能推荐,让科研检索更轻松。

立即免费搜索

文件翻译

保留排版,准确专业,支持PDF/Word/PPT等文件格式,支持 12+语言互译。

免费翻译文档

深度研究

AI帮你快速写综述,25分钟生成高质量综述,智能提取关键信息,辅助科研写作。

立即免费体验

双侧甲状腺最下动脉起自头臂干:首例病例报告

Bilateral Thyroid Ima Arteries Arising From the Brachiocephalic Trunk: A First Case Report.

作者信息

Wang Ziqiang, Zhang Deguang, Du Qiwei, Zhang Weijun, Liu Nian, Li Rongguo

机构信息

The First People's Hospital of Xiaoshan District, Xiaoshan Affiliated Hospital of Wenzhou Medical University, Hangzhou, Zhejiang, China.

Department of Thyroid and Head & Neck Surgery, Institute of Micro-Invasive Surgery of Zhejiang University, Sir Run Shaw Hospital, Medical School, Zhejiang University, Hangzhou, People's Republic of China.

出版信息

Head Neck. 2025 Sep;47(9):E96-E100. doi: 10.1002/hed.28148. Epub 2025 Mar 27.

DOI:10.1002/hed.28148
PMID:40145144
原文链接:https://pmc.ncbi.nlm.nih.gov/articles/PMC12338023/
Abstract

RATIONALE

Bilateral thyroid ima artery (TIA) arising from the brachiocephalic trunk is an extremely rare anatomical variation, with no prior cases reported. Recognizing such vascular anomalies is crucial for optimizing surgical outcomes in thyroid and mediastinal procedures, as failure to identify these variations can lead to severe intraoperative complications.

PATIENT CONCERNS

A 28-year-old female presented for surgical management of a thyroid nodule detected during a routine physical examination. The patient reported no significant medical history or prior neck surgeries. Preoperative ultrasonography revealed a high malignancy risk and evidence of cervical and mediastinal lymph node involvement.

DIAGNOSES

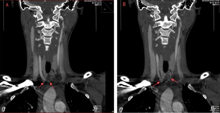
Intraoperative findings unexpectedly identified two small arteries originating from the brachiocephalic trunk. These were later confirmed as bilateral TIAs through postoperative imaging and 3D reconstruction.

INTERVENTIONS

The patient underwent total thyroidectomy, bilateral modified radical neck dissection, and mediastinal lymph node dissection. Appropriate measures were taken to preserve these vessels during the procedures.

OUTCOMES

The patient recovered uneventfully, with no complications. Postoperative imaging validated the intraoperative findings, confirming the unique vascular variation.

LESSONS

This case highlights the importance of detailed intraoperative assessment and advanced imaging techniques in surgical planning. Awareness of rare vascular anomalies, such as bilateral TIA, is vital for minimizing surgical risks and improving patient outcomes. This report provides valuable insights into vascular anatomy and clinical practice.

摘要

原理

双侧甲状腺最下动脉(TIA)起源于头臂干是一种极其罕见的解剖变异,此前尚无病例报道。识别此类血管异常对于优化甲状腺和纵隔手术的手术结果至关重要,因为未能识别这些变异可能导致严重的术中并发症。

患者情况

一名28岁女性因在常规体检中发现甲状腺结节前来接受手术治疗。患者报告无重大病史或既往颈部手术史。术前超声检查显示恶性风险高,并有颈部和纵隔淋巴结受累的证据。

诊断

术中意外发现两条起源于头臂干的小动脉。术后影像学检查和三维重建后来证实这些为双侧甲状腺最下动脉。

干预措施

患者接受了全甲状腺切除术、双侧改良根治性颈清扫术和纵隔淋巴结清扫术。术中采取了适当措施保护这些血管。

结果

患者恢复顺利,无并发症。术后影像学检查证实了术中发现,确认了这种独特的血管变异。

经验教训

本病例强调了详细的术中评估和先进的影像学技术在手术规划中的重要性。认识到罕见的血管异常,如双侧甲状腺最下动脉,对于最大限度地降低手术风险和改善患者预后至关重要。本报告为血管解剖学和临床实践提供了有价值的见解。

https://cdn.ncbi.nlm.nih.gov/pmc/blobs/0b81/12338023/d0cc31c7efc7/HED-47-E96-g001.jpg
https://cdn.ncbi.nlm.nih.gov/pmc/blobs/0b81/12338023/9ba346237de4/HED-47-E96-g002.jpg
https://cdn.ncbi.nlm.nih.gov/pmc/blobs/0b81/12338023/78b5513e4a15/HED-47-E96-g003.jpg
https://cdn.ncbi.nlm.nih.gov/pmc/blobs/0b81/12338023/d0cc31c7efc7/HED-47-E96-g001.jpg
https://cdn.ncbi.nlm.nih.gov/pmc/blobs/0b81/12338023/9ba346237de4/HED-47-E96-g002.jpg
https://cdn.ncbi.nlm.nih.gov/pmc/blobs/0b81/12338023/78b5513e4a15/HED-47-E96-g003.jpg
https://cdn.ncbi.nlm.nih.gov/pmc/blobs/0b81/12338023/d0cc31c7efc7/HED-47-E96-g001.jpg

相似文献

1
Bilateral Thyroid Ima Arteries Arising From the Brachiocephalic Trunk: A First Case Report.双侧甲状腺最下动脉起自头臂干:首例病例报告
Head Neck. 2025 Sep;47(9):E96-E100. doi: 10.1002/hed.28148. Epub 2025 Mar 27.
2
Subclavian Artery Thrombosis锁骨下动脉血栓形成
3
Outcomes of a first point of contact speech language therapy clinic for patients requiring vocal cord check pre and post thyroid/parathyroid surgery.甲状腺/甲状旁腺手术后声带检查患者首诊语音语言治疗门诊的结果。
Int J Lang Commun Disord. 2024 May-Jun;59(3):963-975. doi: 10.1111/1460-6984.12976. Epub 2023 Nov 3.
4
Central neck dissection for papillary thyroid cancer.甲状腺乳头状癌中央区淋巴结清扫术。
Cancer Control. 2011 Apr;18(2):83-8. doi: 10.1177/107327481101800202.
5
Thyroid surgery for Graves' disease and Graves' ophthalmopathy.用于治疗格雷夫斯病和格雷夫斯眼病的甲状腺手术。
Cochrane Database Syst Rev. 2015 Nov 25;2015(11):CD010576. doi: 10.1002/14651858.CD010576.pub2.
6
Anatomy, Thorax, Subclavian Arteries解剖学,胸部,锁骨下动脉
7
Radical Resection of Differentiated Thyroid Cancer in Elderly Patients: Evaluation of the Efficacy of the Immunocolloidal Gold Strip Method Combined with Nanocarbon Negative Imaging Tracing Technology for Parathyroid Gland Imaging.老年分化型甲状腺癌的根治性切除术:免疫胶体金试纸法联合纳米碳负显影示踪技术用于甲状旁腺显影的疗效评估
J Invest Surg. 2025 Dec;38(1):2447850. doi: 10.1080/08941939.2024.2447850. Epub 2025 Jan 14.
8
[Clinical cohort study of non inflated subclavian approach,axillary approach,and traditional open surgery for unilateral thyroid cancer].[非充气锁骨下入路、腋窝入路与传统开放手术治疗单侧甲状腺癌的临床队列研究]
Zhonghua Wai Ke Za Zhi. 2025 Jul 1;63(7):611-617. doi: 10.3760/cma.j.cn112139-20241030-00478.
9
[Frozen section in oncologic endocrine surgery].[肿瘤内分泌外科中的冰冻切片]
Chirurgie (Heidelb). 2025 May;96(5):385-393. doi: 10.1007/s00104-025-02266-3. Epub 2025 Mar 25.
10
Perioperative interventions in pelvic organ prolapse surgery.盆腔器官脱垂手术的围手术期干预措施。
Cochrane Database Syst Rev. 2018 Aug 19;8(8):CD013105. doi: 10.1002/14651858.CD013105.

本文引用的文献

1
Thyroid ima artery (the artery of Neubauer) - how much do we know?甲状腺最下动脉(诺伊鲍尔动脉)——我们了解多少?
Folia Morphol (Warsz). 2025;84(1):263-266. doi: 10.5603/fm.101553. Epub 2024 Aug 13.
2
A thyroidea ima artery variation providing collateral circulation to the mediastinum.一条甲状腺下动脉变异,为纵隔提供侧支循环。
Surg Radiol Anat. 2024 Apr;46(4):507-512. doi: 10.1007/s00276-024-03306-z. Epub 2024 Feb 8.
3
A Rare Case of Thyroidea Ima Arising From the Internal Thoracic Artery and Reaching Up to the Parathyroid Gland.
一例罕见的甲状腺下动脉发自胸廓内动脉并延伸至甲状旁腺的病例。
Cureus. 2023 Nov 28;15(11):e49551. doi: 10.7759/cureus.49551. eCollection 2023 Nov.
4
Thyroidea ima artery multiple branching pattern over the trachea.甲状腺动脉在气管上呈多发分支模式。
Surg Radiol Anat. 2023 Jul;45(7):813-817. doi: 10.1007/s00276-023-03156-1. Epub 2023 Apr 27.
5
Two cases of variations in inferior thyroid arterial pattern and their clinical implications.两种甲状腺下动脉模式的变异及其临床意义。
Folia Morphol (Warsz). 2023;82(2):396-399. doi: 10.5603/FM.a2022.0032. Epub 2022 Apr 5.
6
The Thyroid Gland: A Revision Study on Its Vascularization and Surgical Implications.甲状腺:血管化及其手术意义的复习研究。
Medicina (Kaunas). 2022 Jan 17;58(1):137. doi: 10.3390/medicina58010137.
7
The decreasing prevalence of the thyroid ima artery: A systematic review and machine learning assisted meta-analysis.甲状腺下动脉检出率降低:系统评价和机器学习辅助荟萃分析。
Ann Anat. 2022 Jan;239:151803. doi: 10.1016/j.aanat.2021.151803. Epub 2021 Jul 12.
8
Successful interventional management of mediastinal hematoma caused by thyroid ima artery injury.甲状腺最下动脉损伤所致纵隔血肿的成功介入治疗
Acute Med Surg. 2021 Jul 2;8(1):e680. doi: 10.1002/ams2.680. eCollection 2021 Jan-Dec.
9
Variations in origin of the superior thyroid artery: an update for the head and neck surgeon.甲状腺上动脉起源的变异:头颈外科医生的最新资讯
Ann R Coll Surg Engl. 2021 Jul;103(7):e238-e239. doi: 10.1308/rcsann.2021.0007.
10
An unusual origin and course of the thyroidea ima artery, with absence of inferior thyroid artery bilaterally.甲状腺最下动脉起源及走行异常,双侧甲状腺下动脉缺如。
Surg Radiol Anat. 2019 Feb;41(2):235-237. doi: 10.1007/s00276-018-2122-1. Epub 2018 Oct 25.