Kaynar Kübra, Çağlayan Elif, Atasoy Nil Bahar, Kekeç Betül, Küçükbirinci Murat, Bektaşoğlu Muhammed Bilal
Department of Nephrology, Faculty of Medicine, Karadeniz Technical University, Trabzon, Turkey.
Department of Internal Medicine, Faculty of Medicine, Karadeniz Technical University, Trabzon, Turkey.
Pan Afr Med J. 2024 Dec 27;49:134. doi: 10.11604/pamj.2024.49.134.45331. eCollection 2024.
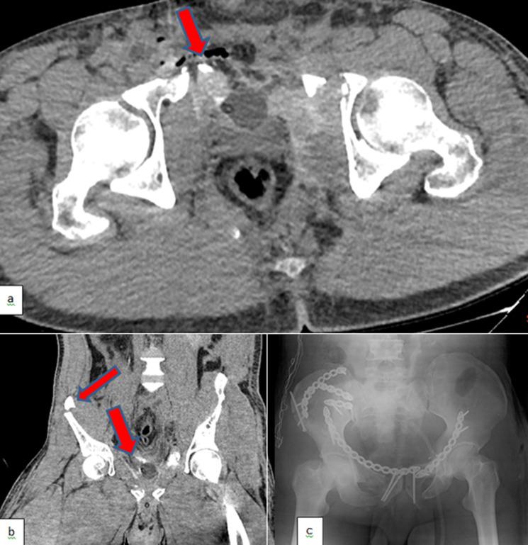
It is evident that Acute Kidney Injury (AKI) is an independent risk factor for both the survival of patients and their kidneys. Here, we present a case of oliguric AKI secondary to blunt trauma-induced crush syndrome complicated with severe sepsis in which the patient had a complete recovery of kidney functions after 3 months of dialysis dependency. A 40-year-old male construction worker had a severe episode of work accident. He had fallen into the stream from a height of 6 meters and the concrete pillars of the bridge fell over him. He had an iliac artery injury, crush-related acute kidney failure, a ruptured bladder, multiple fractures in the lumbar vertebral spinous and transverse processes, bilateral pelvic rami, acetabulum, and bilateral iliac wings. Despite 3 months of dialysis dependency with multiple episodes of sepsis and nephrotoxic antibiotic applications, fortunately, recovery of kidney functions (creatinine clearance >20 mL/min) was achieved. The creatinine clearance of the patient was calculated as 78 mL/min one year after discharge from the hospital. It is well-known that severe trauma leading to severe sepsis and severe AKI has catastrophic effects on the survival of patients. In addition, nephrotoxic antibiotics and contrast media had to be given to our patient, which resulted in further injury. A multidisciplinary (including nursery care) approach, early and proper treatment of sepsis, pulmonary rehabilitation, enteral/parenteral nutritional support, and appropriate timing, prescription, and dose of dialysis are fundamental factors playing a major role in the recovery of prolonged AKI as in our patient.
显然,急性肾损伤(AKI)是影响患者生存及其肾脏功能的独立危险因素。在此,我们报告一例因钝性创伤所致挤压综合征继发少尿型AKI并伴有严重脓毒症的病例,该患者在依赖透析3个月后肾功能完全恢复。一名40岁的男性建筑工人遭遇了一起严重的工伤事故。他从6米高处坠入河中,桥的混凝土柱倒在他身上。他存在髂动脉损伤、挤压相关急性肾衰竭、膀胱破裂、腰椎棘突和横突、双侧耻骨支、髋臼以及双侧髂骨翼多处骨折。尽管依赖透析3个月,期间发生多次脓毒症且应用了肾毒性抗生素,但幸运的是,患者肾功能得以恢复(肌酐清除率>20 mL/min)。患者出院一年后的肌酐清除率经计算为78 mL/min。众所周知,导致严重脓毒症和严重AKI的严重创伤对患者生存具有灾难性影响。此外,我们的患者还必须使用肾毒性抗生素和造影剂,这导致了进一步的损伤。多学科方法(包括重症监护)、脓毒症的早期恰当治疗、肺部康复、肠内/肠外营养支持以及透析的合适时机、处方和剂量,是像我们的患者这样的长期AKI恢复过程中起主要作用的基本因素。