Ndeh Didier A, Nakjang Sirintra, Kwiatkowski Kurt J, Sawyers Claire, Koropatkin Nicole M, Hirt Robert P, Bolam David N
Division of Plant Sciences, School of Life Sciences, University of Dundee, Dundee, UK.
Precision Medicine Centre of Excellence, Queen's University Belfast, Belfast, UK.
Nat Commun. 2025 Apr 12;16(1):3485. doi: 10.1038/s41467-025-58660-2.
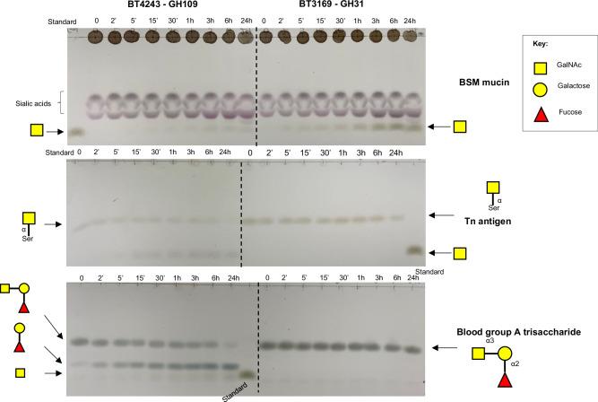
The gut microbiota is a key modulator of human health and the status of major diseases including cancer, diabetes and inflammatory bowel disease. Central to microbiota survival is the ability to metabolise complex dietary and host-derived glycans, including intestinal mucins. The prominent human gut microbe Bacteroides thetaiotaomicron (B. theta) is a versatile and highly efficient complex glycan degrader thanks to the expansion of gene clusters termed polysaccharide utilisation loci (PULs). While the mechanism of action for several singular dietary glycan-induced PULs have been elucidated, studies on the unusually high number of mucin-inducible PULs in B. theta significantly lag behind. Here we show that a mucin inducible PUL BT4240-50 encodes activities consistent with the processing and metabolism of mucin O-glycoproteins and their core sugar N-acetylgalactosamine (GalNAc). PUL BT4240-50 was also shown to be important for competitive growth on mucins in vitro, encoding a kinase (BT4240) critical for GalNAc metabolism. Additionally, BT4240-kinase was shown to be essential for glycosaminoglycan metabolism, extending the PULs function beyond mucins. These data advance our understanding of glycoprotein metabolism at mucosal surfaces, highlighting GalNAc as a key metabolite for competitive microbial survival in the human gut.
肠道微生物群是人类健康以及包括癌症、糖尿病和炎症性肠病在内的主要疾病状态的关键调节因子。微生物群生存的核心是代谢复杂的饮食和宿主来源聚糖(包括肠道粘蛋白)的能力。著名的人类肠道微生物多形拟杆菌(B. theta)是一种多功能且高效的复杂聚糖降解菌,这得益于被称为多糖利用位点(PULs)的基因簇的扩展。虽然几种单一饮食聚糖诱导的PULs的作用机制已经阐明,但对B. theta中数量异常多的粘蛋白诱导PULs的研究明显滞后。在这里,我们表明粘蛋白诱导的PUL BT4240 - 50编码的活性与粘蛋白O - 糖蛋白及其核心糖N - 乙酰半乳糖胺(GalNAc)的加工和代谢一致。PUL BT4240 - 50在体外对粘蛋白的竞争性生长也很重要,它编码一种对GalNAc代谢至关重要的激酶(BT4240)。此外,BT4240激酶对糖胺聚糖代谢也至关重要,这将PULs的功能扩展到了粘蛋白之外。这些数据推进了我们对粘膜表面糖蛋白代谢的理解,突出了GalNAc作为人类肠道中竞争性微生物生存的关键代谢物的地位。