Suppr超能文献

由该基因复合杂合突变引起的小儿卡塔格内综合征患者的临床和遗传特征分析:病例研究及文献综述

Analysis of clinical and genetic features in a pediatric patient with Kartagener syndrome caused by compound heterozygous mutations in the gene: a case study and literature review.

作者信息

Zhang Jingli, Gao Longfei, Xing Yu, Wu HuiFang, Liu Xiaojuan, Zhang Yingqian

机构信息

Third Department of Respiratory, Hebei Children's Hospital, Shijiazhuang, China.

出版信息

Front Med (Lausanne). 2025 Mar 28;12:1513370. doi: 10.3389/fmed.2025.1513370. eCollection 2025.

Abstract

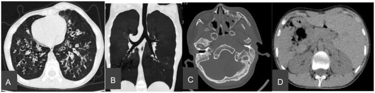
Kartagener syndrome (KS), a subtype of primary ciliary dyskinesia (PCD), is a rare genetic disorder characterized by , chronic sinusitis, bronchiectasis, recurrent respiratory infections, and impaired ciliary function. It is diagnosed through physical examination, imaging techniques such as computed tomography (CT), nasal nitric oxide measurement, genetic testing, and pulmonary function tests. We present a case study of a 15-year-and-11-month-old male patient with KS complicated by sinusitis, secretory otitis media, and bronchiectasis. The patient exhibited , affecting the lungs, heart, and abdominal organs. Treatment included antibiotics for infection, mucolytics, and pulmonary rehabilitation. Postural drainage and bronchoscopy were performed for lung lavage. Following treatment, the patient's respiratory symptoms improved, and lung function tests showed improvement. A literature review identified a high prevalence of lung and heart transpositions in Chinese patients with PCD, while abdominal organ transposition was less commonly reported. Genetic analysis revealed compound heterozygous mutations in the gene, specifically c.12279 + 1 G > A (exon 71, NM_001369) and c.9457 C > T (exon 56, NM_001369), including the newly discovered variant c.9457 C > T (exon 56, NM_001369). This novel mutation expands the genetic landscape associated with KS, providing further insights into the underlying genetic basis of the condition. The study emphasizes the clinical features, the limited reporting of abdominal organ transposition, the genetic basis, and the treatment of KS, thereby contributing to the understanding and management of this condition.

摘要

卡塔格内综合征(KS)是原发性纤毛运动障碍(PCD)的一种亚型,是一种罕见的遗传性疾病,其特征为慢性鼻窦炎、支气管扩张、反复呼吸道感染和纤毛功能受损。通过体格检查、计算机断层扫描(CT)等成像技术、鼻一氧化氮测量、基因检测和肺功能测试进行诊断。我们报告了一例15岁11个月大的男性KS患者,其并发鼻窦炎、分泌性中耳炎和支气管扩张。该患者表现出[此处原文缺失相关表现描述],影响肺部、心脏和腹部器官。治疗包括抗感染的抗生素、黏液溶解剂和肺康复治疗。进行体位引流和支气管镜检查以进行肺灌洗。治疗后,患者的呼吸道症状改善,肺功能测试显示有所改善。文献综述发现,中国PCD患者中心脏和肺换位的患病率较高,而腹部器官换位的报道较少。基因分析揭示了该基因中的复合杂合突变,具体为c.12279 +1 G>A(外显子71,NM_001369)和c.9457 C>T(外显子56,NM_001369),包括新发现的变异c.9457 C>T(外显子56,NM_001369)。这种新的突变扩展了与KS相关的基因图谱,为该疾病的潜在遗传基础提供了进一步的见解。该研究强调了KS的临床特征、腹部器官换位的有限报道、遗传基础和治疗方法,从而有助于对该疾病的理解和管理。

https://cdn.ncbi.nlm.nih.gov/pmc/blobs/a8fe/11985423/2da8429a0d36/fmed-12-1513370-g001.jpg

文献AI研究员

20分钟写一篇综述,助力文献阅读效率提升50倍。

立即体验

用中文搜PubMed

大模型驱动的PubMed中文搜索引擎

马上搜索

文档翻译

学术文献翻译模型,支持多种主流文档格式。

立即体验