Gomez-Giro Gemma, Frangenberg Daniela, Vega Daniela, Zagare Alise, Barmpa Kyriaki, Antony Paul M A, Robertson Graham, Sabahi-Kaviani Rahman, Haendler Kristian, Kruse Nathalie, Papastefanaki Florentia, Matsas Rebecca, Spielmann Malte, Luttge Regina, Schwamborn Jens C
Developmental and Cellular Biology, Luxembourg Centre for Systems Biomedicine, University of Luxembourg, Belvaux, L-4367, Luxembourg.
Bioimaging Platform, Luxembourg Centre for Systems Biomedicine, University of Luxembourg, Belvaux, L-4367, Luxembourg.
Adv Sci (Weinh). 2025 May;12(20):e2409040. doi: 10.1002/advs.202409040. Epub 2025 Apr 17.
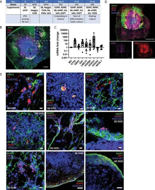
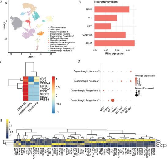
Understanding the progression of α-synuclein pathology in neurodegenerative diseases such as Parkinson's disease (PD) is a longstanding challenge. Here, a novel midbrain-hindbrain-assembloid model that recapitulates the spread of α-synuclein pathology observed in PD patients, akin to Braak's hypothesis, is presented. Initially, the presence α-synuclein pathology is demonstrated in the hindbrain organoids. Subsequently, sophisticated tissue engineering methods are employed to create midbrain-hindbrain assembloids. These assembloids allow investigation and description of the spreading of α-synuclein pathology, as it progresses from the hindbrain components to the midbrain regions within the integrated structure. It is observed that an increase in α-synuclein in the hindbrain can induce transfer of the pathology into the healthy midbrain, as well as cause changes at the synapse level. The presented model constitutes a robust in vitro platform for investigating the mechanisms underlying α-synuclein spreading and disease progression, and holding potential for the screening of prospective therapeutics targeting the pathological propagation in PD and related synucleinopathies.
了解帕金森病(PD)等神经退行性疾病中α-突触核蛋白病理学的进展是一项长期挑战。在此,提出了一种新型中脑-后脑组装体模型,该模型类似于Braak假说,概括了在PD患者中观察到的α-突触核蛋白病理学的传播。最初,在后脑类器官中证明了α-突触核蛋白病理学的存在。随后,采用先进的组织工程方法创建中脑-后脑组装体。这些组装体能够对α-突触核蛋白病理学的传播进行研究和描述,因为它在整合结构中从后脑成分发展到中脑区域。据观察,后脑中α-突触核蛋白的增加可诱导病理学转移至健康的中脑,并导致突触水平的变化。所提出的模型构成了一个强大的体外平台,用于研究α-突触核蛋白传播和疾病进展的潜在机制,并有望筛选针对PD和相关突触核蛋白病中病理传播的潜在治疗方法。