Suppr超能文献

低磷性骨软化症:临床线索与管理考量

Hypophosphatasia: Clinical Clues and Management Considerations.

作者信息

Corless Jason M, Bartholomew Alan J, Kluesner Joseph K

机构信息

Internal Medicine, Wright-Patterson Medical Center, Wright-Patterson Air Force Base, USA.

Internal Medicine, Wright State University, Dayton, USA.

出版信息

Cureus. 2025 Mar 20;17(3):e80894. doi: 10.7759/cureus.80894. eCollection 2025 Mar.

Abstract

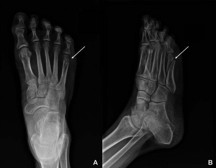
This case report identifies typical manifestations of a patient with hypophosphatasia, a rare genetic condition in which mutations in tissue-non-specific alkaline phosphatase (TNSALP) enzymes cause low levels of alkaline phosphatase and defective bone mineralization. It explores common diagnostic clues from the history and laboratory evaluation, which can help clinicians identify the disorder. This case introduces a 49-year-old patient with a long history of fractures and dental abnormalities who was referred to endocrinology for evaluation of osteopenia. Further review of her laboratory data was noteworthy for a low level of alkaline phosphatase. Additionally, a low vitamin B6 level was measured, and genetic testing was ultimately diagnostic for hypophosphatasia. The patient was started on the anabolic agent teriparatide but was lost to subsequent follow-up. This case discusses additional management considerations, which are currently limited but continue to evolve, and cautions against bisphosphonate use in the setting of hypophosphatasia.

摘要

本病例报告确定了一名低磷酸酯酶症患者的典型表现。低磷酸酯酶症是一种罕见的遗传疾病,其中组织非特异性碱性磷酸酶(TNSALP)酶的突变会导致碱性磷酸酶水平降低和骨矿化缺陷。报告探讨了病史和实验室评估中的常见诊断线索,这些线索有助于临床医生识别该疾病。本病例介绍了一名有长期骨折和牙齿异常病史的49岁患者,她因骨质减少被转诊至内分泌科进行评估。对其实验室数据的进一步检查发现碱性磷酸酶水平较低,这一点值得注意。此外,还检测到维生素B6水平较低,最终通过基因检测确诊为低磷酸酯酶症。该患者开始使用促合成药物特立帕肽,但随后失访。本病例讨论了目前有限但仍在不断发展的其他管理考虑因素,并提醒在低磷酸酯酶症情况下慎用双膦酸盐类药物。

https://cdn.ncbi.nlm.nih.gov/pmc/blobs/fa56/12009153/2c2328e20db8/cureus-0017-00000080894-i01.jpg

文献AI研究员

20分钟写一篇综述,助力文献阅读效率提升50倍。

立即体验

用中文搜PubMed

大模型驱动的PubMed中文搜索引擎

马上搜索

文档翻译

学术文献翻译模型,支持多种主流文档格式。

立即体验