Yan Jing, Wang Song-Yu, Su Qi, Zou Min-Wen, Zhou Zi-Yue, Shou Jian, Huo Yunlong
Institute of Mechanobiology & Medical Engineering, School of Life Sciences & Biotechnology, Shanghai Jiao Tong University, Shanghai, China.
PKU-HKUST Shenzhen-Hong Kong Institution, Shenzhen, Guangdong, China.
Nat Commun. 2025 Apr 21;16(1):3748. doi: 10.1038/s41467-025-59093-7.
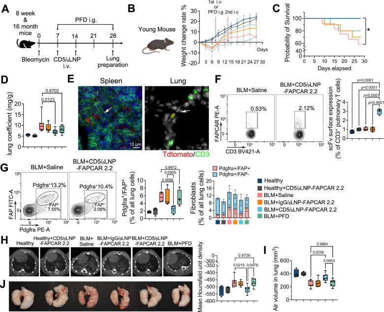
Idiopathic pulmonary fibrosis (IPF) is a severe lung disease occurring throughout the world; however, few clinical therapies are available for treating this disorder. Overactivated fibroblasts drive abnormal fibrosis accumulation to maintain dynamic balance between inflammation and extracellular matrix (ECM) stiffness. Given pulmonary cell can regenerate, the lung may possess self-repairing abilities if fibrosis is removed via clearance of overactivated fibroblasts. The aim of this study was to evaluate the therapeutic activity of transient antifibrotic chimeric antigen receptor (CAR) T cells (generated via a novelly-designed lipid nanoparticle-messenger RNA (LNP-mRNA) system) and explore the regeneration mechanisms of lung in a male mouse model of bleomycin-induced pulmonary fibrosis. Here we found that fibrosis-induced ECM stiffening impaired alveolar epithelial cell compensation. The proposed LNP-mRNA therapy eliminated overactivated fibroblasts to rescue pulmonary fibrosis. The restored ECM environment regulated the cellular profile. The elevated plasticity of AT2 and Pclaf cells increased AT1 cell population via polarization. Apoe macrophages and increased numbers of effector T cells were shown to reestablish pulmonary immunity. Hence, LNP-mRNA treatment for fibrosis can restore pulmonary structure and function to similar degrees to those of a healthy lung. This therapy is a potential treatment for IPF patients.
特发性肺纤维化(IPF)是一种在全球范围内发生的严重肺部疾病;然而,针对这种疾病的临床治疗方法却很少。过度活化的成纤维细胞驱动异常的纤维化积累,以维持炎症与细胞外基质(ECM)硬度之间的动态平衡。鉴于肺细胞可以再生,如果通过清除过度活化的成纤维细胞来消除纤维化,肺可能具有自我修复能力。本研究的目的是评估瞬时抗纤维化嵌合抗原受体(CAR)T细胞(通过新设计的脂质纳米颗粒-信使核糖核酸(LNP-mRNA)系统产生)的治疗活性,并在博来霉素诱导的肺纤维化雄性小鼠模型中探索肺的再生机制。在这里,我们发现纤维化诱导的ECM硬化损害了肺泡上皮细胞的代偿能力。所提出的LNP-mRNA疗法消除了过度活化的成纤维细胞,从而挽救了肺纤维化。恢复的ECM环境调节了细胞谱。AT2和Pclaf细胞可塑性的提高通过极化增加了AT1细胞群体。载脂蛋白E巨噬细胞和效应T细胞数量的增加显示可重建肺免疫。因此,LNP-mRNA治疗纤维化可将肺结构和功能恢复到与健康肺相似的程度。这种疗法是IPF患者的一种潜在治疗方法。