Suppr超能文献

动态导航辅助上颌后牙区牙槽骨缺损即刻种植的临床研究

Clinical study of dynamic navigation-assisted immediate implant placement in posterior maxillary alveolar bone defects.

作者信息

Deng Hua, Geng Ningbo, Yang Shulin, Dou Xiaolan, Wang Haishang, Chen Shan, Huang Liufang

机构信息

Surgical Anesthesia Center, The First Affiliated Hospital of Sun Yat-sen University, 58 Zhongshan 2nd Road, Guangzhou, 510080, Guang dong, China.

Department of Oral Surgery, The First Affiliated Hospital of Sun Yat-sen University, 58 Zhongshan 2nd Road, Guangzhou, 510080, Guang dong, China.

出版信息

BMC Oral Health. 2025 Apr 23;25(1):617. doi: 10.1186/s12903-025-05976-6.

Abstract

OBJECTIVE

To evaluate the accuracy and clinical effect of immediate implant placement(IIP) using real-time dynamic navigation in the posterior maxilla with alveolar bone defects.

METHODS

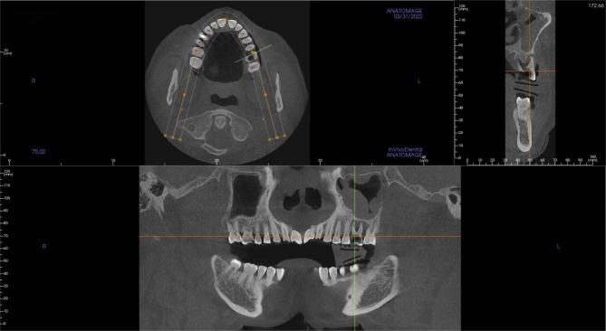
A total of 55 patients with 72 implants placed in the posterior maxillary region with alveolar bone defects were retrospectively analyzed between January 1, 2021, and October 31, 2024. The study was divided into two groups, navigation group and freehand implant group.The preoperative planning implant data and postoperative CBCT data of the actual implant were imported into the dynamic navigation accuracy verification software, and the deviations of the actual implant neck, root, depth and angle were calculated and reported. Clinical indicators including implant deviation, initial stability, implant success were recorded.

RESULTS

There were 38 implants in the navigation group and 34 in the freehand group. All implants were successfully placed without serious complications such as perforation of the maxillary sinus mucosa. The initial stability of the implant in the navigation group was (28.53 ± 5.81)N.cm and (18.47 ± 3.64)N.cm, respectively. The initial stability of the implant in the navigation group was higher than that in the free hand group (P < 0.05). The deviations in the cervical, root, depth, and angulation of the navigation group were all significantly smaller than those of the free-hand implant group, with statistically significant differences (P < 0.05). The median follow-up was 29.6 ± 11.2 months and the implant success rate was 100%.

CONCLUSIONS

Immediate implant placement in the maxillary posterior region with bone deficiency assisted by real-time dynamic navigation can achieve good implant accuracy and satisfactory clinical results.

CLINICAL RELEVANCE

Dynamic navigation is an advantage for the IIP of an alveolar bone defect in the posterior region of the maxilla.

摘要

目的

评估实时动态导航在后牙区牙槽骨缺损患者中即刻种植的准确性及临床效果。

方法

回顾性分析2021年1月1日至2024年10月31日期间,共55例患者在上颌后牙区牙槽骨缺损处植入72颗种植体的病例。研究分为两组,即导航组和徒手种植组。将术前规划的种植体数据及术后实际种植体的CBCT数据导入动态导航准确性验证软件,计算并报告实际种植体颈部、根部、深度及角度的偏差。记录包括种植体偏差、初始稳定性、种植体成功率等临床指标。

结果

导航组植入38颗种植体,徒手组植入34颗种植体。所有种植体均成功植入,未发生上颌窦黏膜穿孔等严重并发症。导航组种植体的初始稳定性分别为(28.53±5.81)N·cm和(18.47±3.64)N·cm。导航组种植体的初始稳定性高于徒手组(P<0.05)。导航组种植体在颈部、根部、深度及角度方面的偏差均显著小于徒手种植组,差异具有统计学意义(P<0.05)。中位随访时间为29.6±11.2个月,种植成功率为100%。

结论

实时动态导航辅助在上颌后牙区骨量不足时进行即刻种植,可获得良好的种植准确性及满意的临床效果。

临床意义

动态导航是上颌后牙区牙槽骨缺损即刻种植的一项优势。

https://cdn.ncbi.nlm.nih.gov/pmc/blobs/e783/12020039/f2524e5e2825/12903_2025_5976_Fig1_HTML.jpg

文献AI研究员

20分钟写一篇综述,助力文献阅读效率提升50倍。

立即体验

用中文搜PubMed

大模型驱动的PubMed中文搜索引擎

马上搜索

文档翻译

学术文献翻译模型,支持多种主流文档格式。

立即体验