Suppr超能文献

腰椎间盘切除术后气颅1例罕见病例:基于解剖学的病例报告

A Rare Case of Post-lumbar Discectomy Pneumocephalus: An Anatomically Informed Case Report.

作者信息

Elhassan Yasir H, Alhasan Mustafa, Abdulghani Yasser S

机构信息

Basic Medical Sciences, Taibah University, Madinah, SAU.

Neuroradiology, Taibah University, Madinah, SAU.

出版信息

Cureus. 2025 Mar 25;17(3):e81147. doi: 10.7759/cureus.81147. eCollection 2025 Mar.

Abstract

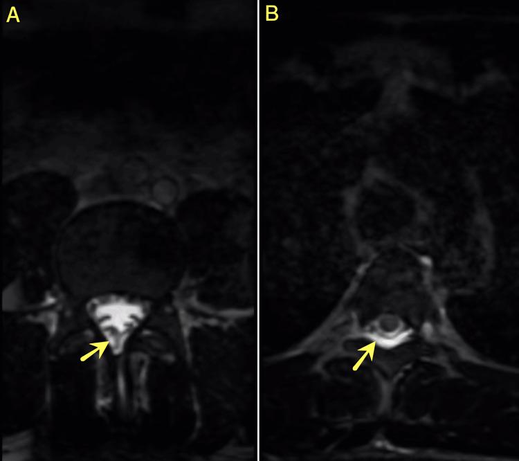
Pneumocephalus is an uncommon yet significant complication that can arise after lumbar discectomy and requires rapid diagnosis and intervention. Although cerebrospinal fluid (CSF) leakage is not frequently observed during these procedures, it can result from small, often inconspicuous dural defects that may be missed during surgery. This scenario underscores the importance of careful intraoperative inspection and vigilant postoperative monitoring to ensure timely recognition and management, thereby mitigating potential adverse outcomes. A 36-year-old male patient underwent an L5-S1 lumbar discectomy for disc herniation. Eight days postoperatively, he developed severe headache, neck pain, and nausea, accompanied by CSF leakage confirmed through beta-2 transferrin testing. Computed tomography revealed significant pneumocephalus, while high-resolution MRI demonstrated a subtle dural defect. Despite no macroscopically visible dural tear during re-exploration, applying an epidural blood patch successfully resolved both the CSF leak and pneumocephalus. This case underscores the value of advanced imaging, specifically high-resolution MRI, in identifying subtle dural defects that may not be apparent during surgery. Detecting the minor CSF leakage was essential for directing subsequent management and avoiding further complications. Early recognition of postoperative symptoms combined with comprehensive imaging assessment is crucial in the management of post-discectomy pneumocephalus. The rapid resolution observed after applying an epidural blood patch supports its role as a primary intervention strategy, even in cases where dural tears are not macroscopically evident.

摘要

气颅是腰椎间盘切除术后可能出现的一种罕见但严重的并发症,需要快速诊断和干预。虽然在这些手术过程中脑脊液(CSF)漏并不常见,但它可能源于手术中可能被遗漏的小的、通常不明显的硬脊膜缺损。这种情况凸显了术中仔细检查和术后密切监测的重要性,以确保及时识别和处理,从而减轻潜在的不良后果。一名36岁男性患者因椎间盘突出症接受了L5-S1腰椎间盘切除术。术后8天,他出现严重头痛、颈部疼痛和恶心,经β-2转铁蛋白检测证实伴有脑脊液漏。计算机断层扫描显示有明显的气颅,而高分辨率磁共振成像显示有一个细微的硬脊膜缺损。尽管再次探查时没有肉眼可见的硬脊膜撕裂,但应用硬膜外血贴成功解决了脑脊液漏和气颅问题。该病例强调了先进成像技术,特别是高分辨率磁共振成像,在识别手术中可能不明显的细微硬脊膜缺损方面的价值。检测到轻微的脑脊液漏对于指导后续治疗和避免进一步并发症至关重要。术后症状的早期识别与全面的影像评估相结合,对于椎间盘切除术后气颅的管理至关重要。应用硬膜外血贴后观察到的快速缓解支持了其作为主要干预策略的作用,即使在硬脊膜撕裂肉眼不可见的情况下也是如此。

https://cdn.ncbi.nlm.nih.gov/pmc/blobs/2335/12020446/0ca8abd86865/cureus-0017-00000081147-i01.jpg

文献AI研究员

20分钟写一篇综述,助力文献阅读效率提升50倍。

立即体验

用中文搜PubMed

大模型驱动的PubMed中文搜索引擎

马上搜索

文档翻译

学术文献翻译模型,支持多种主流文档格式。

立即体验