Suppr超能文献

血友病性关节病的双侧全膝关节置换术:一例报告

Bilateral total knee replacement for hemophilic arthropathy: a case report.

作者信息

Hafez Mahmoud A, Talaat Mohamed, Kebbe Ahmad Yaman, Helmy Abdelrahman, Makram Abdelrahman M

机构信息

The Orthopaedic Department, Faculty of Medicine, October 6 University, Giza, Egypt.

Department of Hematology, Faculty of Medicine, October 6 University, Giza, Egypt.

出版信息

BMC Musculoskelet Disord. 2025 Apr 25;26(1):417. doi: 10.1186/s12891-025-08611-1.

Abstract

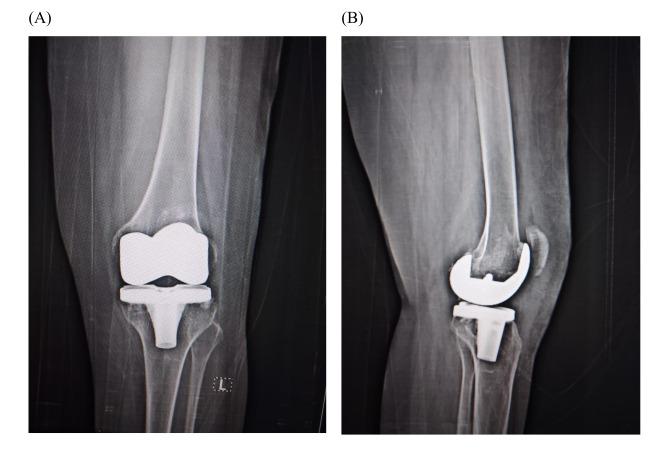
Von Willebrand disease (vWD) and hemophilia present unique challenges in orthopedic surgery due to their inherent bleeding risks and potential complications. While joint bleedings are well-documented in hemophilia, they are less understood in vWD, especially regarding their impact on daily activities and the development of arthropathy. We present a case of a young female patient aged 25 years with vWD Type 3 who underwent bilateral total knee replacement (TKR) due to end-stage knee osteoarthritis. Following two previous operations of the right knee at the age of 14, the patient had high degree of extra-articular valgus and intra-articular deformity, ankylosed knee in 30 flexion, osteopenia, and chronic patellar dislocation. Bilateral TKR was performed using patient-specific templating (PST) technology, which includes preoperative planning using a CT scan followed by surgical execution. Financial constraints and limited prosthetic resources necessitated a sequential approach to TKR, addressing the more affected right knee first. Despite many challenges, successful outcomes were achieved, with significant improvements in pain, mobility, overall satisfaction, and no complications at two-year follow-up. Our case highlights the importance of individualized treatment strategies, meticulous surgical planning, and postoperative care in managing knee arthropathy patients with bleeding disorders.

摘要

血管性血友病(vWD)和血友病在骨科手术中带来了独特的挑战,因为它们存在固有的出血风险和潜在并发症。虽然血友病患者的关节出血已有充分记录,但vWD患者的关节出血情况了解较少,尤其是其对日常活动和关节病发展的影响。我们报告一例25岁的3型vWD年轻女性患者,因终末期膝关节骨关节炎接受了双侧全膝关节置换术(TKR)。该患者14岁时右膝曾接受过两次手术,存在高度的关节外外翻和关节内畸形,膝关节在30度屈曲时强直,骨质减少,以及慢性髌骨脱位。双侧TKR采用患者特异性模板(PST)技术进行,该技术包括术前使用CT扫描进行规划,然后进行手术操作。由于经济限制和假体资源有限,需要采用序贯方法进行TKR,先处理受影响更严重的右膝。尽管面临诸多挑战,但仍取得了成功的结果,患者的疼痛、活动能力、总体满意度均有显著改善,且在两年随访中无并发症发生。我们的病例强调了在治疗患有出血性疾病的膝关节病患者时,个体化治疗策略、细致的手术规划和术后护理的重要性。

https://cdn.ncbi.nlm.nih.gov/pmc/blobs/2fd0/12023443/082dfb4a3b62/12891_2025_8611_Fig1_HTML.jpg

文献AI研究员

20分钟写一篇综述,助力文献阅读效率提升50倍。

立即体验

用中文搜PubMed

大模型驱动的PubMed中文搜索引擎

马上搜索

文档翻译

学术文献翻译模型,支持多种主流文档格式。

立即体验