Suppr超能文献

缩窄性心包炎作为移植物抗宿主病的罕见表现:一例报告

Constrictive Pericarditis as a Rare Manifestation of Graft-Versus-Host Disease: A Case Report.

作者信息

Arzhangzadeh Alireza, Zamirian Mahmood, Nasermoadeli Ladan, Mousavi Asma, Nozhat Salma, Narimani Javid Roozbeh, Shafiei Sasan, Azadnik Salar, Shojaei Shayan

机构信息

Department of Cardiology Shiraz University of Medical Sciences Shiraz Iran.

Cardiac Primary Prevention Research Center Cardiovascular Diseases Research Institute, Tehran University of Medical Sciences Tehran Iran.

出版信息

Clin Case Rep. 2025 May 2;13(5):e70479. doi: 10.1002/ccr3.70479. eCollection 2025 May.

Abstract

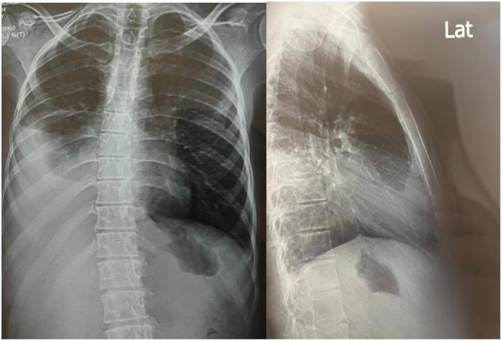
Graft-versus-host disease (GVHD) is a serious inflammatory complication that can arise after allogeneic transplantation, characterized by donor T-cells attacking the recipient's tissues. While cardiac complications are infrequent, they are more commonly observed in cases of chronic GVHD and may manifest as pericardial effusion, cardiac tamponade, and various arrhythmias. Additionally, chronic GVHD can result in constrictive pericarditis (CP) due to the accumulation of fluid and scarring. A 25-year-old Iranian man developed CP 14 years after undergoing allogenic stem cell transplantation. Following inadequate response to medical therapy, he underwent a pericardiectomy. Pathological examination during follow-up revealed fibrosis and mild chronic inflammation. This report aims to add another case of cardiac manifestation associated with GVHD to the current literature. The main message emphasizes the urgent need for prompt diagnosis and effective pericardiectomy, which can be life-saving. Surgical referral should always be an option, and post-operative immunomodulation is crucial.

摘要

移植物抗宿主病(GVHD)是同种异体移植后可能出现的一种严重炎症并发症,其特征是供体T细胞攻击受体组织。虽然心脏并发症并不常见,但在慢性GVHD病例中更常观察到,可能表现为心包积液、心脏压塞和各种心律失常。此外,慢性GVHD可因液体积聚和瘢痕形成导致缩窄性心包炎(CP)。一名25岁的伊朗男子在接受异基因干细胞移植14年后患上了CP。在对药物治疗反应不佳后,他接受了心包切除术。随访期间的病理检查显示有纤维化和轻度慢性炎症。本报告旨在为当前文献增加另一例与GVHD相关的心脏表现病例。主要信息强调迫切需要及时诊断和进行有效的心包切除术,这可能挽救生命。手术转诊应始终是一种选择,术后免疫调节至关重要。

https://cdn.ncbi.nlm.nih.gov/pmc/blobs/c90c/12048705/dd105de3fe43/CCR3-13-e70479-g003.jpg

文献AI研究员

20分钟写一篇综述,助力文献阅读效率提升50倍。

立即体验

用中文搜PubMed

大模型驱动的PubMed中文搜索引擎

马上搜索

文档翻译

学术文献翻译模型,支持多种主流文档格式。

立即体验