Amal Youssef, Tabbai Sarah, Chhoul Hakima
Faculty of Dental Medicine of Rabat, Mohammed V University Morocco, Rabat, Morocco.
Pan Afr Med J. 2025 Feb 11;50:46. doi: 10.11604/pamj.2025.50.46.42131. eCollection 2025.
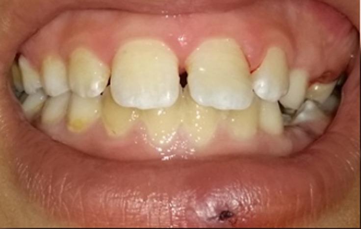
Dental traumas are prevalent, particularly among children and adolescents. In such dental emergencies, priority is often given to the damages caused to teeth. In contrast, the harm caused to the surrounding soft tissue may go unnoticed during the clinical examination. Dental fragments occasionally penetrate soft tissue and may cause several complications. Several complications often occur due to the penetration of tooth fragments into the tissues surrounding the oral cavity. This paper aims to present the diagnostic and therapeutic approach to dental fragments embedded in the lower lip of two patients for 2 months and 5 months, respectively. Also, it highlights the importance of the examination of soft tissues in dental trauma situations.
牙外伤很常见,尤其是在儿童和青少年中。在这类牙科急症中,往往优先关注牙齿所受的损伤。相比之下,在临床检查过程中,周围软组织所受的损伤可能会被忽视。牙齿碎片偶尔会穿透软组织,并可能引发多种并发症。由于牙齿碎片穿透口腔周围组织,常常会出现多种并发症。本文旨在介绍分别嵌入两名患者下唇2个月和5个月的牙齿碎片的诊断和治疗方法。此外,还强调了在牙外伤情况下检查软组织的重要性。