Suppr超能文献

Delayed Presentation of Penetrating Abdominal Trauma From a Nail Gun: A Case Report.

作者信息

Ahmed Aws E, Lopez Hanson Ricardo J, Roche Keelin F, Burns Bracken

机构信息

Department of Surgery, East Tennessee State University Quillen College of Medicine, Johnson City, USA.

出版信息

Cureus. 2025 Apr 17;17(4):e82456. doi: 10.7759/cureus.82456. eCollection 2025 Apr.

Abstract

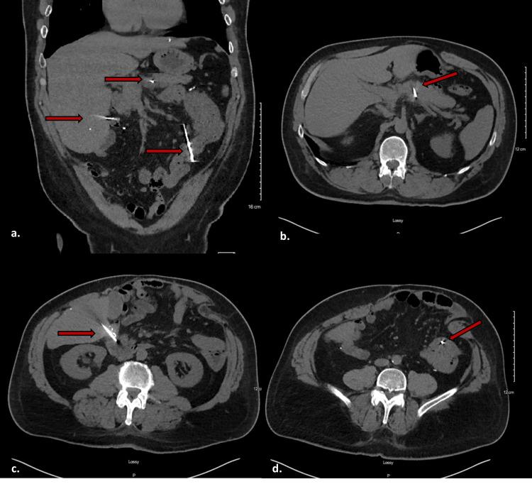
Penetrating abdominal trauma typically presents in an acute manner, and most require emergent intervention due to small bowel, large bowel, and liver injury. Here, we report a 53-year-old man who sustained multiple penetrating intra-abdominal injuries from a nail gun. The patient did not seek medical attention until four weeks after the incident. He presented with worsening abdominal pain and underwent exploratory laparotomy and removal of three intact nails. Fortunately, there were no injuries to the intra-abdominal organs, and the patient had an uneventful post-operative course and was seen in the office after hospital discharge in good condition.

摘要
https://cdn.ncbi.nlm.nih.gov/pmc/blobs/9306/12085164/77360bf0a9cd/cureus-0017-00000082456-i01.jpg

文献AI研究员

20分钟写一篇综述,助力文献阅读效率提升50倍。

立即体验

用中文搜PubMed

大模型驱动的PubMed中文搜索引擎

马上搜索

文档翻译

学术文献翻译模型,支持多种主流文档格式。

立即体验