Suppr超能文献

RccHan:WIST大鼠肾脏死后组织学变化的发生与进展。

Onset and progression of postmortem histological changes in the kidneys of RccHan:WIST rats.

作者信息

de Miguel Ricardo, Vallejo Raquel, Kegler Kristel, Kreutzer Robert, Mayoral Francisco José, Okazaki Yoshimasa, Ortega Paula, Polledo Laura, Razinger Tanja, Richard Olivia Kristina, Sanchez Raúl, Warfving Nils, Domènech Anna, Weber Klaus

机构信息

AnaPath Services GmbH, Liestal, Switzerland.

AnaPath Research S.A.U., Barcelona, Spain.

出版信息

Front Vet Sci. 2025 May 9;12:1578579. doi: 10.3389/fvets.2025.1578579. eCollection 2025.

Abstract

INTRODUCTION

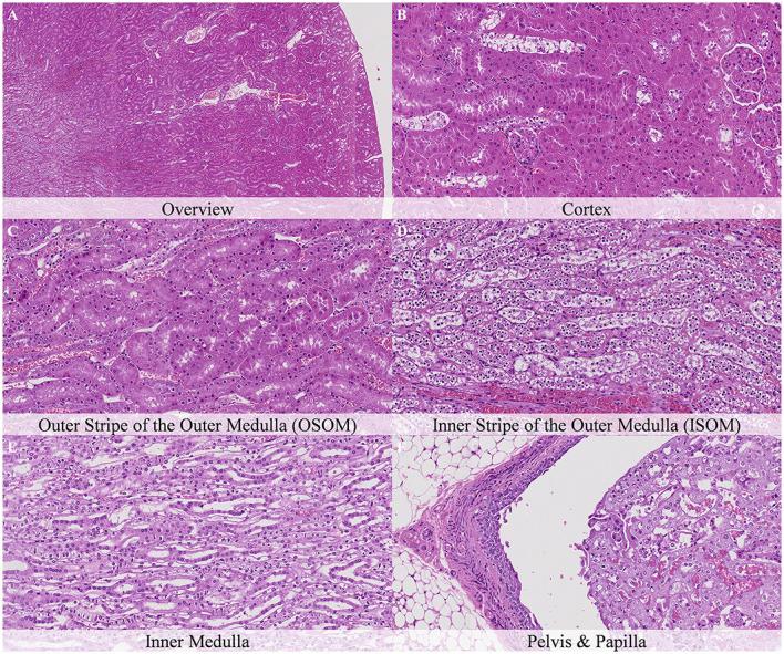
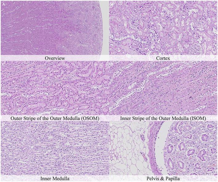
Death initiates a cascade of physiological and biochemical alterations in organs and tissues, resulting in microscopic changes that challenge the histopathological evaluation. The aim of this study was to compile and illustrate the microscopic changes in the kidneys of rats subjected to delayed postmortem fixation. It also scrutinizes the influence of exsanguination, cooling methods and air circulation on the initiation and progression of these alterations.

METHODS

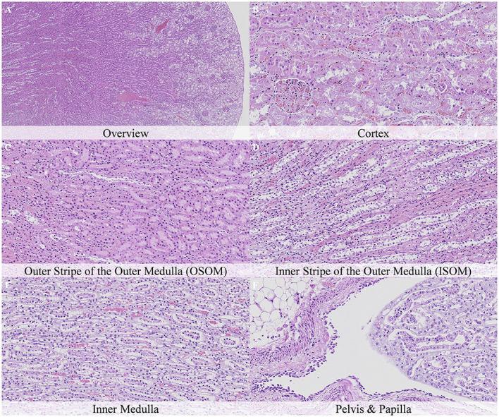
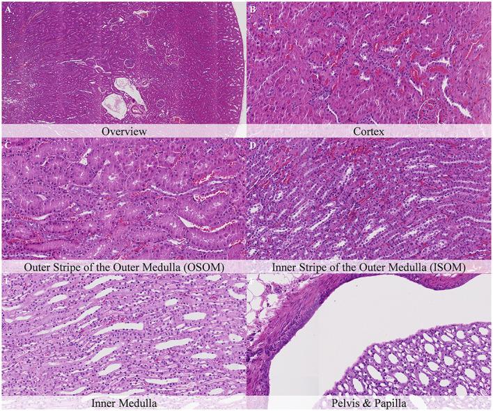
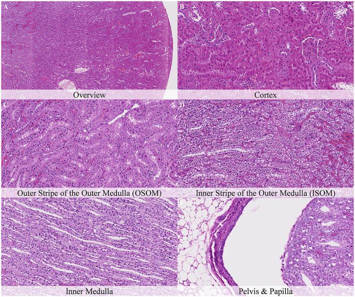
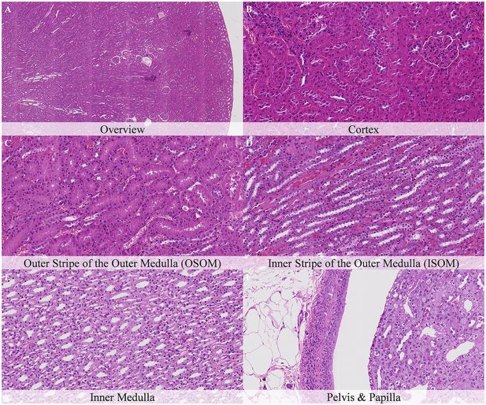
Twenty-four Wistar Han outbred rats (RccHan:WIST) were sacrificed and stored either at room temperature (18-22°C; half of the carcasses were exsanguinated after sacrifice) or under refrigeration (2-4°C). Necropsies were conducted at different time points postmortem (i.e., 0.5, 1, 4, 8, 12, 24, 36, 48 h for carcasses stored at room temperature, and 7 and 14 days for carcasses stored under refrigeration). Kidney sections underwent simultaneous digital evaluation by 14 pathologists until a consensus was reached on the key findings, terminology, and intensity levels.

RESULTS

When stored at room temperature, the first changes were seen after 4 h, and involved distal convoluted tubules and inner stripe of the outer medulla. After 8 h, all structures except glomeruli were affected. Alterations were similar in quality and intensity after 36 h as after 48 h. Exsanguination delayed the onset of postmortem changes and slightly decreased their overall severity at any given timepoint. The nature of the changes under refrigeration was like those alterations noted in animals stored at room temperature. The intensity of postmortem changes observed after 7 and 14 days under refrigeration was similar to those recorded after 48 h at room temperature. No clear differences were observed between animals stored in a closed plastic bag and animals stored in a perforated cardboard box to allow air circulation.

CONCLUSION

This work elucidates the onset and progression of postmortem changes in the kidneys of Wistar Han rats, offering insights to accurately differentiate them from real changes and enhance histopathological evaluation.

摘要

引言

死亡会引发器官和组织中一系列生理和生化改变,导致微观变化,这对组织病理学评估构成挑战。本研究的目的是汇编并阐述延迟死后固定大鼠肾脏的微观变化。同时,研究还审视了放血、冷却方法和空气流通对这些变化起始和进展的影响。

方法

将24只Wistar Han远交系大鼠(RccHan:WIST)处死后,分别置于室温(18 - 22°C;半数尸体处死后放血)或冷藏(2 - 4°C)环境。在死后不同时间点进行尸检(即室温保存的尸体在死后0.5、1、4、8、12、24、36、48小时进行尸检,冷藏保存的尸体在死后7天和14天进行尸检)。14名病理学家对肾脏切片进行同步数字评估,直至就关键发现、术语和强度水平达成共识。

结果

室温保存时,4小时后可见最初变化,累及远端曲管和外髓质内带。8小时后,除肾小球外的所有结构均受影响。36小时后的变化在性质和强度上与48小时后的相似。放血延迟了死后变化的起始,并在任何给定时间点略微降低了其总体严重程度。冷藏条件下变化的性质与室温保存动物中观察到的变化相似。冷藏7天和14天后观察到的死后变化强度与室温48小时后记录的相似。在封闭塑料袋中保存的动物与在有孔纸板箱中保存以允许空气流通的动物之间未观察到明显差异。

结论

本研究阐明了Wistar Han大鼠肾脏死后变化的起始和进展,为准确区分这些变化与实际病变及加强组织病理学评估提供了见解。

https://cdn.ncbi.nlm.nih.gov/pmc/blobs/5691/12100932/2b025e4c537a/fvets-12-1578579-g0001.jpg

文献检索

告别复杂PubMed语法,用中文像聊天一样搜索,搜遍4000万医学文献。AI智能推荐,让科研检索更轻松。

立即免费搜索

文件翻译

保留排版,准确专业,支持PDF/Word/PPT等文件格式,支持 12+语言互译。

免费翻译文档

深度研究

AI帮你快速写综述,25分钟生成高质量综述,智能提取关键信息,辅助科研写作。

立即免费体验