Zhang Liping, Zhong Jinqiu, Yang Luo, Ye Qianyun, Jin Yanli, Liu Chang, Lai Peilong, Li Hongle, Pan Jingxuan, Jin Bei
State Key Laboratory of Bioactive Molecules and Druggability Assessment, Jinan University Institute of Tumor Pharmacology, College of Pharmacy, Jinan University, Guangzhou, China.
State Key Laboratory of Ophthalmology, Guangdong Provincial Key Laboratory of Ophthalmology and Visual Science, Zhongshan Ophthalmic Center; Sun Yat-Sen University, Guangzhou, China.
J Biol Chem. 2025 May 30;301(7):110320. doi: 10.1016/j.jbc.2025.110320.
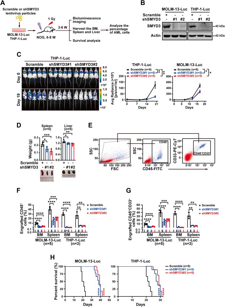
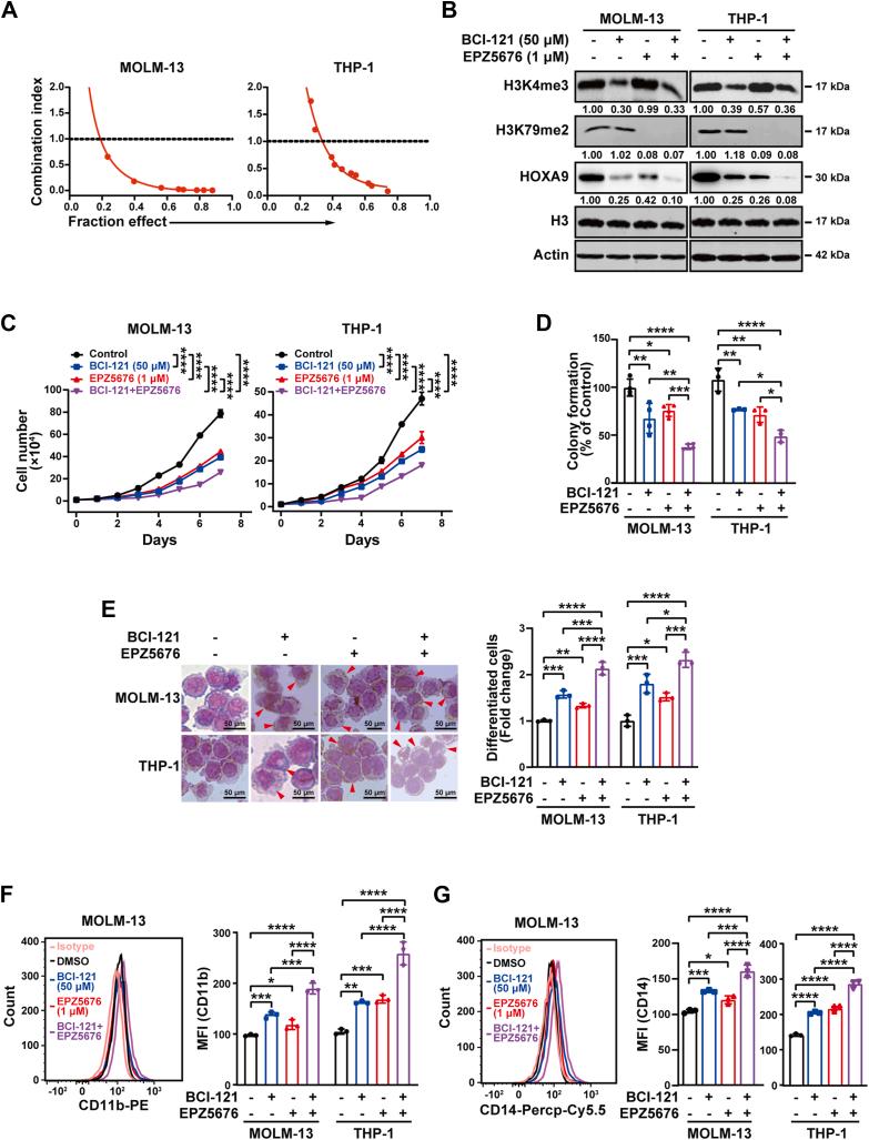
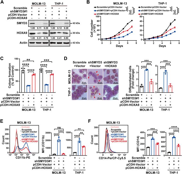
Fusion oncogene MLL-AF9 initiates AML via downstream targets such as HOXA9. Drivers in the complicated settings of advanced AML, however, remain to be incompletely elucidated. Any factors to incur upregulation of the effector HOXA9 predictably aggravate the effect of DOT1L-mediated H3K79 methylation on HOXA9 expression in MLL-AF9-driven AML. In the present study, we identified that SET and MYND domain-containing protein 3 (SMYD3) was overexpressed in AML and predicted a poor prognosis for patients with AML. Given that H3K4me3 typically activates the transcription of oncogenes, we hypothesized that SMYD3-catalyzed H3K4me3 may directly increase HOXA9 transcription, offering an additional regulation layer to HOXA9 gene transcription activation in MLL-AF9 AML. We tested this hypothesis and unveiled that SMYD3 is responsible for mediating H3K4me3 enrichment and for independently activating HOXA9 transcription. Transcription factor HOXA9 in turn bound to the promoter region of SMYD3 and enhanced its transcription. The resultant vicious circle of SMYD3-H3K4me3-HOXA9 exacerbated proliferation and blocked differentiation in both AML cell lines and primary cells fractionated from patients with AML. Combinational disruption of this loop and DOT1L inhibition led to enhanced anti-leukemia activity against MLL-AF9 AML in vitro and in vivo. In conclusion, our findings may advocate the current understanding regarding the underlying mechanism and offer SMYD3 as a promising intervention target to override the complicated settings in advanced AML.
融合致癌基因MLL-AF9通过HOXA9等下游靶点引发急性髓系白血病(AML)。然而,晚期AML复杂情况下的驱动因素仍未完全阐明。任何导致效应因子HOXA9上调的因素都可预见地会加重DOT1L介导的H3K79甲基化对MLL-AF9驱动的AML中HOXA9表达的影响。在本研究中,我们发现含SET和MYND结构域蛋白3(SMYD3)在AML中过表达,并预测AML患者预后不良。鉴于H3K4me3通常激活癌基因转录,我们推测SMYD3催化的H3K4me3可能直接增加HOXA9转录,为MLL-AF9 AML中HOXA9基因转录激活提供额外的调控层。我们验证了这一假设,发现SMYD3负责介导H3K4me3富集并独立激活HOXA9转录。转录因子HOXA9反过来与SMYD3的启动子区域结合并增强其转录。由此产生的SMYD3-H3K4me3-HOXA9恶性循环加剧了AML细胞系和从AML患者中分离的原代细胞的增殖并阻断了分化。联合破坏这一环路并抑制DOT1L在体外和体内均增强了对MLL-AF9 AML的抗白血病活性。总之,我们的研究结果可能支持目前对潜在机制的理解,并提供SMYD3作为一个有前景的干预靶点,以克服晚期AML的复杂情况。