Suppr超能文献

经颈静脉肝内门体分流术后支架断裂:一例报告。

Stent fracture after transjugular intrahepatic portosystemic shunt: A case report.

作者信息

Zhou Tan-Yang, Wang Hong-Liang, Tao Guo-Fang, Chen Sheng-Qun

机构信息

Hepatobiliary and Pancreatic Interventional Treatment Center, Division of Hepatobiliary and Pancreatic Surgery, The First Affiliated Hospital, Zhejiang University School of Medicine, Hangzhou 310003, Zhejiang Province, China.

Department of Nursing, The First Affiliated Hospital, Zhejiang University School of Medicine, Hangzhou 310003, Zhejiang Province, China.

出版信息

World J Gastrointest Surg. 2025 May 27;17(5):104893. doi: 10.4240/wjgs.v17.i5.104893.

Abstract

BACKGROUND

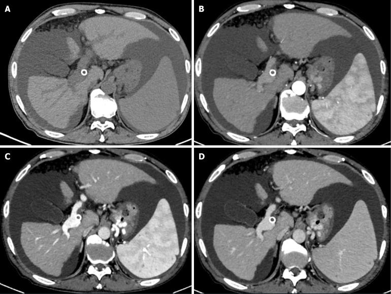
Transjugular intrahepatic portosystemic shunt (TIPS) is a highly effective treatment for complications associated with portal hypertension. However, stent fracture, although extremely rare, represents a potentially serious complication following TIPS creation. Timely identification and management are crucial for preventing further adverse events.

CASE SUMMARY

We report a 56-year-old male patient who underwent a TIPS procedure for recurrent melena caused by portal hypertension secondary to hepatitis B and experienced a stent fracture 15 months post-procedure. He was readmitted 30 months after the initial TIPS due to recurrent esophagogastric variceal bleeding and ascites. An attempt to revise the dysfunctional shunt a stent-in-stent approach was unsuccessful. Consequently, a parallel TIPS procedure was successfully performed the proximal end of the fractured stent to decompress the portal venous system. At the 1-month follow-up, the patient exhibited no recurrent variceal bleeding, and his ascites had significantly decreased. Twelve-month postoperative monitoring revealed no hepatic encephalopathy and no recurrence of bleeding or ascites. Additionally, we review the existing literature on post-TIPS stent fractures to explore the underlying mechanisms contributing to this complication.

CONCLUSION

Early recognition and prompt intervention are essential in managing stent fractures after TIPS creation to mitigate potential risks and ensure optimal patient outcomes.

摘要

背景

经颈静脉肝内门体分流术(TIPS)是治疗门静脉高压相关并发症的一种高效方法。然而,支架断裂虽然极为罕见,但却是TIPS术后一种潜在的严重并发症。及时识别和处理对于预防进一步的不良事件至关重要。

病例摘要

我们报告一名56岁男性患者,因乙型肝炎继发门静脉高压导致反复黑便而接受了TIPS手术,并在术后15个月发生了支架断裂。由于反复出现食管胃静脉曲张出血和腹水,该患者在初次TIPS术后30个月再次入院。尝试采用支架内支架方法修复功能失调的分流未成功。因此,在断裂支架的近端成功实施了平行TIPS手术,以减压门静脉系统。在1个月的随访中,患者未出现静脉曲张再出血,腹水明显减少。术后12个月的监测显示无肝性脑病,出血或腹水未复发。此外,我们回顾了关于TIPS术后支架断裂的现有文献,以探讨导致这一并发症的潜在机制。

结论

在TIPS术后处理支架断裂时,早期识别和及时干预对于降低潜在风险和确保患者获得最佳预后至关重要。

https://cdn.ncbi.nlm.nih.gov/pmc/blobs/d2e4/12149923/073ad024abd9/104893-g001.jpg

文献AI研究员

20分钟写一篇综述,助力文献阅读效率提升50倍。

立即体验

用中文搜PubMed

大模型驱动的PubMed中文搜索引擎

马上搜索

文档翻译

学术文献翻译模型,支持多种主流文档格式。

立即体验