Suppr超能文献

LGALS3BP/90K通过增强GP3降解和刺激先天免疫来抑制猪繁殖与呼吸综合征病毒的复制。

LGALS3BP/90K suppresses porcine reproductive and respiratory syndrome virus replication by enhancing GP3 degradation and stimulating innate immunity.

作者信息

Fan Qingyu, Wang Haiyan, Liu Hanze, Li Jinzhi, Huang Juan, Yu Ying, Cao Zhi, Zhang Qiaoya

机构信息

College of Veterinary Medicine, Qingdao Agricultural University, Qingdao, 266109, China.

China Animal Health and Epidemiology Center, Qingdao, 266032, China.

出版信息

Vet Res. 2025 Jun 20;56(1):121. doi: 10.1186/s13567-025-01556-2.

Abstract

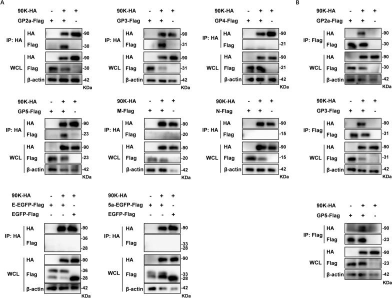
Porcine reproductive and respiratory syndrome virus (PRRSV) seriously affects the world pig industry, and existing vaccines are not enough to protect against PRRSV efficiently. Identifying host factors that inhibit PRRSV infection may provide potential targets for antiviral therapies. Galectin 3 binding protein (LGALS3BP), also referred to as 90K, is a multifunctional protein that plays significant roles in viral infections, but its role in PRRSV infection is not clearly defined. In this study, we found that 90K expression increased during PRRSV infection. Additionally, 90K inhibits PRRSV replication by restricting both viral RNA synthesis and viral assembly. Further studies showed that 90K can interact with various PRRSV structural proteins, such as GP2, GP3, and GP5. Moreover, 90K targets K217 in GP3 for K48-linked ubiquitination, facilitating GP3 degradation through the proteasomal pathway. Meanwhile, we found that 90K induces the expression of type I interferon (IFN) and inflammatory cytokines by activating NF-κB and IRF3. Overall, our findings suggest that 90K plays a negative role in PRRSV replication by inducing PRRSV-GP3 degradation and activating innate immune responses.

摘要

猪繁殖与呼吸综合征病毒(PRRSV)严重影响全球养猪业,且现有疫苗不足以有效预防PRRSV。鉴定抑制PRRSV感染的宿主因子可能为抗病毒治疗提供潜在靶点。半乳糖凝集素3结合蛋白(LGALS3BP),也称为90K,是一种多功能蛋白,在病毒感染中发挥重要作用,但其在PRRSV感染中的作用尚不清楚。在本研究中,我们发现90K的表达在PRRSV感染期间增加。此外,90K通过限制病毒RNA合成和病毒组装来抑制PRRSV复制。进一步研究表明,90K可与多种PRRSV结构蛋白相互作用,如GP2、GP3和GP5。此外,90K靶向GP3中的K217进行K48连接的泛素化,通过蛋白酶体途径促进GP3降解。同时,我们发现90K通过激活NF-κB和IRF3诱导I型干扰素(IFN)和炎性细胞因子的表达。总体而言,我们的研究结果表明,90K通过诱导PRRSV-GP3降解和激活先天免疫反应,在PRRSV复制中发挥负向作用。

https://cdn.ncbi.nlm.nih.gov/pmc/blobs/2f76/12180180/d886aff775c4/13567_2025_1556_Fig1_HTML.jpg

文献AI研究员

20分钟写一篇综述,助力文献阅读效率提升50倍。

立即体验

用中文搜PubMed

大模型驱动的PubMed中文搜索引擎

马上搜索

文档翻译

学术文献翻译模型,支持多种主流文档格式。

立即体验