Qiao Ya-Nan, Chen Wei-Cheng, Chen Yu-Ling, Xiang Jie, Ke Yu-Fan, Cao Li, Li Lei, Cao Jing, Zhao Rui, Zhao Jian-Yuan
Institute for Developmental and Regenerative Cardiovascular Medicine, MOE-Shanghai Key Laboratory of Children's Environmental Health, Xinhua Hospital, Shanghai Jiao Tong University School of Medicine, Shanghai, China; Beijing Municipal Key Laboratory of Child Development and Nutriomics, Capital Institute of Pediatrics, Beijing, China.
National Health Commission (NHC) Key Laboratory of Neonatal Diseases, School of Life Sciences, Children's Hospital of Fudan University, Obstetrics and Gynecology Hospital of Fudan University, Fudan University, Shanghai, China.
JACC Basic Transl Sci. 2025 Jun 24;10(7):101311. doi: 10.1016/j.jacbts.2025.05.006.
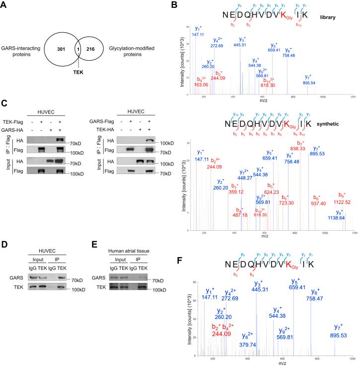
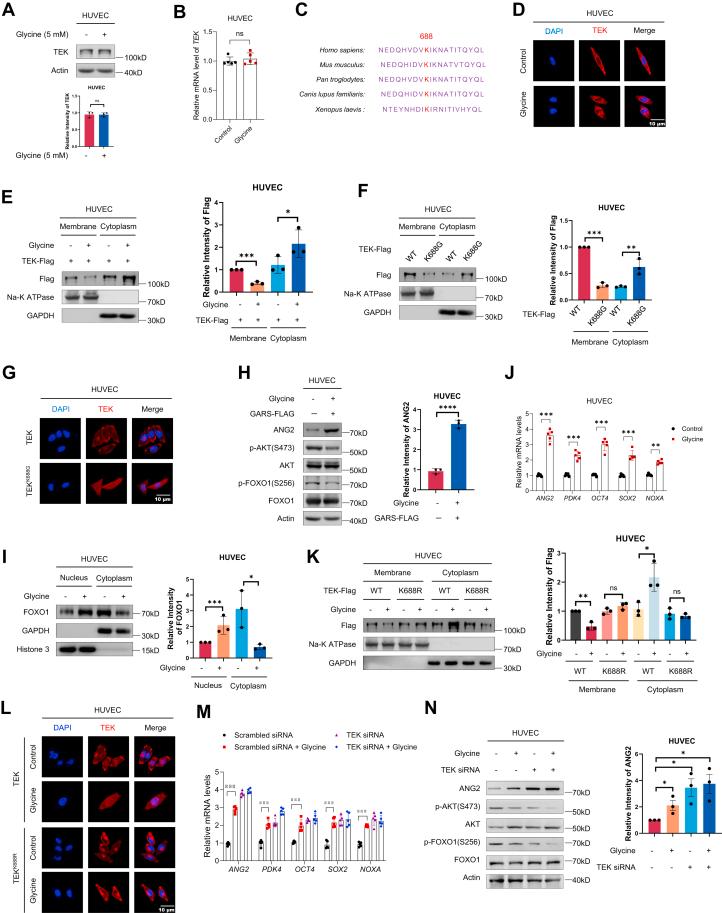
Amino acid imbalance is linked to increased congenital heart disease risk. Here, we found women carrying rs2545801 C/C genotypes exhibited increased glycine levels and increased risk for atrial septal defects (ASDs) in their offspring. Elevated maternal glycine levels during the first trimester were correlated with a higher ASD risk in the offspring. Additionally, feeding pregnant mice with high-glycine chow increased ASD risk in their offspring. Mechanistically, elevated maternal glycine led to increased lysine-glycylation of lysine-688 within the TEK receptor tyrosine kinase and inhibited TEK-PI3K-AKT/FOXO1 signaling in cardiac endothelial cells. These findings indicate that lysine-glycylation exerts teratogenic effects and may be a target for ASD intervention.
氨基酸失衡与先天性心脏病风险增加有关。在此,我们发现携带rs2545801 C/C基因型的女性其甘氨酸水平升高,且后代患房间隔缺损(ASD)的风险增加。孕早期母体甘氨酸水平升高与后代患ASD的风险较高相关。此外,用高甘氨酸饲料喂养怀孕小鼠会增加其后代患ASD的风险。从机制上讲,母体甘氨酸水平升高导致TEK受体酪氨酸激酶内赖氨酸688位点的赖氨酸甘酰化增加,并抑制心脏内皮细胞中的TEK-PI3K-AKT/FOXO1信号传导。这些发现表明赖氨酸甘酰化具有致畸作用,可能是ASD干预的一个靶点。