Suppr超能文献

隐匿性破裂:表现为下呼吸道感染的血流动力学稳定的降主动脉瘤破裂

A Quiet Rupture: Hemodynamically Stable Ruptured Descending Thoracic Aortic Aneurysm Presenting as Lower Respiratory Tract Infection.

作者信息

N K Rohan Krishna, R S Anupama, Dayanand Lekhana

机构信息

Emergency Medicine, Fortis International Hospital, Rajajinagar, Bengaluru, IND.

Emergency Medicine, Fortis International Hospital Rajajinagar, Bengaluru, IND.

出版信息

Cureus. 2025 Jun 4;17(6):e85375. doi: 10.7759/cureus.85375. eCollection 2025 Jun.

Abstract

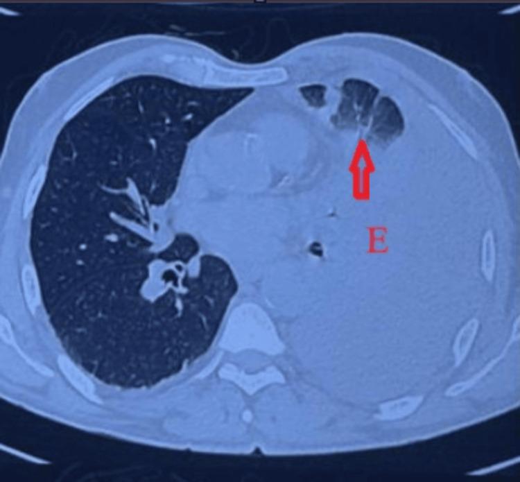
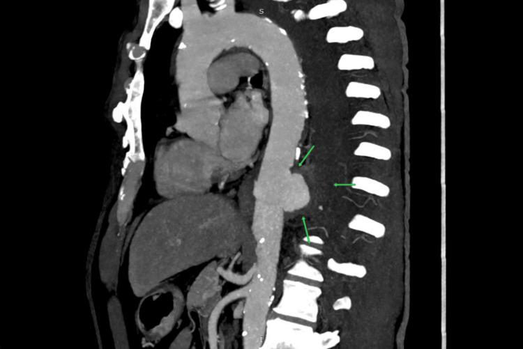
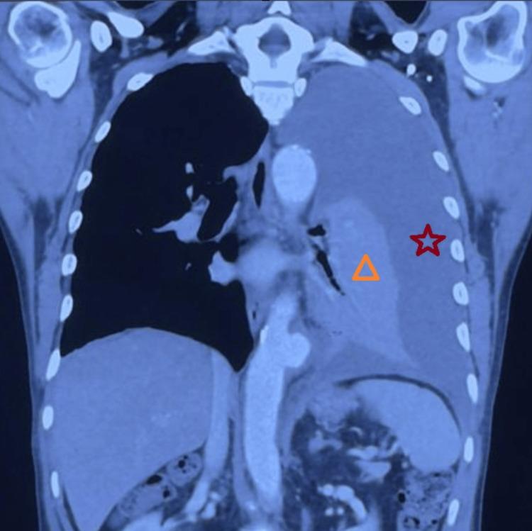
The rupture of a descending thoracic aortic aneurysm (DTAA) is a rare but critical vascular emergency that requires immediate recognition and action. It usually presents as a sharp, severe pain in the chest or back; however, some individuals exhibit non-typical symptoms resembling respiratory infections, leading to misdiagnosis and delays in definitive treatment. A 63-year-old male with a history of hypertension and smoking presented with left-sided chest pain to another hospital, where he was diagnosed with unstable angina based on clinical suspicion and managed conservatively with anti-anginal medication. Over the next three days, the patient developed a persistent cough, low-grade fever, and pleuritic pain, prompting referral to our hospital, where a lower respiratory tract infection (LRTI) was considered. On arrival, he was hemodynamically stable with a systolic BP of 100 mmHg and was managed with intravenous fluids, antibiotics, and nebulizers. Chest X-ray revealed moderate left pleural effusion with tracheal deviation, and thoracic ultrasound confirmed internal echoes suggestive of hemorrhagic content. Diagnostic thoracentesis yielded hemorrhagic fluid, prompting high-resolution computed tomography (HRCT), which showed a partially thrombosed 54 mm × 49 mm saccular aneurysm of the descending thoracic aorta with left lung collapse. Despite the rupture, the patient remained hemodynamically stable, suggestive of a contained event. A subsequent computed tomography angiogram (CTA) confirmed rupture into the pleural space and was the imaging modality that established the final diagnosis. The patient underwent thoracic endovascular aortic repair (TEVAR) using a 30 mm × 30 mm × 120 mm Ankura graft, selected for its conformability and effective sealing profile in emergencies. Postoperative recovery was uneventful. A CT aortogram on day three confirmed complete exclusion of the aneurysm with no endoleak, and a follow-up chest X-ray at two weeks showed full resolution of the hemothorax. This case illustrates the diagnostic challenge posed by atypical ruptured DTAA presentations and reinforces the importance of early CTA in unexplained pleural effusions, even in stable patients. Structured post-TEVAR surveillance remains critical to ensure long-term outcomes.

摘要

降主动脉瘤(DTAA)破裂是一种罕见但危急的血管急症,需要立即识别并采取行动。其通常表现为胸部或背部突发剧痛;然而,一些患者会出现类似呼吸道感染的非典型症状,导致误诊及确定性治疗延误。一名63岁男性,有高血压和吸烟史,因左侧胸痛前往另一家医院就诊,基于临床怀疑被诊断为不稳定型心绞痛,并接受抗心绞痛药物保守治疗。在接下来的三天里,患者出现持续咳嗽、低热和胸膜炎性疼痛,遂转诊至我院,当时考虑为下呼吸道感染(LRTI)。入院时,他血流动力学稳定,收缩压为100 mmHg,接受了静脉输液、抗生素和雾化治疗。胸部X线显示左侧中等量胸腔积液伴气管偏移,胸部超声证实内部回声提示为血性成分。诊断性胸腔穿刺抽出了血性液体,促使进行高分辨率计算机断层扫描(HRCT),结果显示降主动脉有一个54 mm×49 mm的部分血栓形成的囊状动脉瘤,伴左肺萎陷。尽管已经破裂,但患者血流动力学仍保持稳定,提示为局限性事件。随后的计算机断层血管造影(CTA)证实动脉瘤破裂进入胸腔,这一成像方式确立了最终诊断。患者接受了胸主动脉腔内修复术(TEVAR),使用了一枚30 mm×30 mm×120 mm的安珂拉移植物,选择该移植物是因其顺应性好且在紧急情况下具有有效的密封性能。术后恢复顺利。术后第三天的CT主动脉造影证实动脉瘤完全被隔绝,无内漏,术后两周的胸部X线随访显示血胸完全吸收。该病例说明了非典型破裂DTAA表现所带来的诊断挑战,并强调了早期CTA在不明原因胸腔积液中的重要性,即使是在病情稳定的患者中。TEVAR术后的结构化监测对于确保长期疗效仍然至关重要。

https://cdn.ncbi.nlm.nih.gov/pmc/blobs/4508/12227835/070a37edeb7b/cureus-0017-00000085375-i01.jpg

文献AI研究员

20分钟写一篇综述,助力文献阅读效率提升50倍。

立即体验

用中文搜PubMed

大模型驱动的PubMed中文搜索引擎

马上搜索

文档翻译

学术文献翻译模型,支持多种主流文档格式。

立即体验